KIAA2026 Antibody - BSA Free

Images

 
Immunocytochemistry/ Immunofluorescence: KIAA2026 Antibody [NBP1-93977] - Immunofluorescent staining of human cell line A-431 shows localization to cytosol & vesicles.
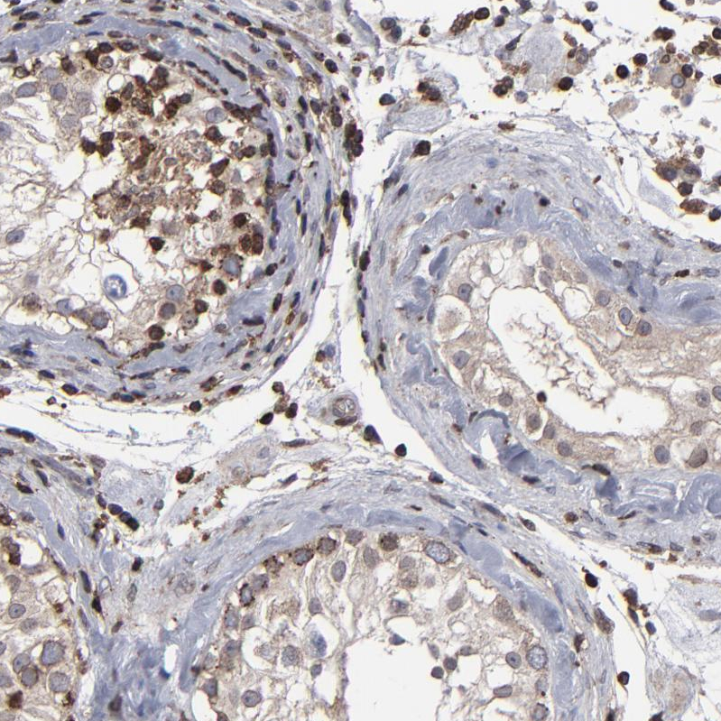
Immunohistochemistry-Paraffin: KIAA2026 Antibody [NBP1-93977] - Staining of human colon shows strong cytoplasmic positivity in glandular cells.
Staining of human testis shows strong cytoplasmic-nuclear positivity in cells in seminiferous ducts.
Staining of human cerebral cortex shows moderate cytoplasmic-membranous positivity in neurons.
Staining of human tonsil shows strong cytoplasmic-membranous positivity in germinal center cells and non-germinal center cells.
Staining of human colon shows moderate cytoplasmic positivity in glandular cells.

Product Details

Summary
Reactivity HuSpecies Glossary
Applications ICC/IF, IHC
Clonality
Polyclonal
Host
Rabbit
Conjugate
Unconjugated
Format
BSA Free

Order Details

View Available Formulations
Catalog# & Formulation Size Price

KIAA2026 Antibody - BSA Free Summary

Description
Novus Biologicals Rabbit KIAA2026 Antibody - BSA Free (NBP1-93977) is a polyclonal antibody validated for use in IHC and ICC/IF. All Novus Biologicals antibodies are covered by our 100% guarantee.
Immunogen
This antibody was developed against Recombinant Protein corresponding to amino acids: APGGTTIHTASAPSNVTSLVGSQFSEPCIQQKIVINTSTPLAPGTQIMINGTRFIVPPQGLGAGSHVLLISTNPKYGAPLVLNSGQGIQSTPIDNSAQKITLASNNSLSGQPLQHPLRSPTK
Isotype
IgG
Clonality
Polyclonal
Host
Rabbit
Gene
KIAA2026
Purity
Affinity purified
Innovator's Reward
Test in a species/application not listed above to receive a full credit towards a future purchase.

Applications/Dilutions

Dilutions
  • Immunocytochemistry/ Immunofluorescence 0.25-2 ug/ml
  • Immunohistochemistry 1:20 - 1:50
  • Immunohistochemistry-Paraffin 1:20 - 1:50
Application Notes
For IHC-Paraffin, HIER pH 6 retrieval is recommended. Immunocytochemistry/Immunofluorescence Fixation Permeabilization: Use PFA/Triton X-100.
Control Peptide
KIAA2026 Protein (NBP1-93977PEP)

Packaging, Storage & Formulations

Storage
Store at 4C short term. Aliquot and store at -20C long term. Avoid freeze-thaw cycles.
Buffer
PBS (pH 7.2) and 40% Glycerol
Preservative
0.02% Sodium Azide
Purity
Affinity purified

Alternate Names for KIAA2026 Antibody - BSA Free

  • KIAA2026

Limitations

This product is for research use only and is not approved for use in humans or in clinical diagnosis. Primary Antibodies are guaranteed for 1 year from date of receipt.

Publications for KIAA2026 Antibody (NBP1-93977) (0)

There are no publications for KIAA2026 Antibody (NBP1-93977).
By submitting your publication information earn gift cards and discounts for future purchases.

Reviews for KIAA2026 Antibody (NBP1-93977) (0)

There are no reviews for KIAA2026 Antibody (NBP1-93977). By submitting a review you will receive an Amazon e-Gift Card or Novus Product Discount.
  • Review with no image -- $10/€7/£6/$10 CAD/¥70 Yuan/¥1110 Yen
  • Review with an image -- $25/€18/£15/$25 CAD/¥150 Yuan/¥2500 Yen

Product General Protocols

Find general support by application which include: protocols, troubleshooting, illustrated assays, videos and webinars.

Video Protocols

ICC/IF Video Protocol

FAQs for KIAA2026 Antibody (NBP1-93977). (Showing 1 - 1 of 1 FAQ).

  1. I want to test this antibody for Western blot, but Western blot is not listed as a tested application. Can I try it, or do you have a sample size of this KIAA2026 antibody?
    • NBP1-93977 has not yet been validated for Western blot, however you can still go ahead and test it in Western blot. Unfortunately this products is not available in sample size but if you are interested in testing it for an untested application, such as Western blot, I can recommend you our Innovator's Reward program.

Customers Who Bought This Also Bought

Contact Information

Product PDFs

Calculators

Concentration Calculator

The concentration calculator allows you to quickly calculate the volume, mass or concentration of your vial. Simply enter your mass, volume, or concentration values for your reagent and the calculator will determine the rest.

=
÷

Review this Product

Be the first to review our KIAA2026 Antibody - BSA Free and receive a gift card or discount.

Bioinformatics

Gene Symbol KIAA2026