IGSF9B Antibody - BSA Free

Images

 
Immunohistochemistry-Paraffin: IGSF9B Antibody [NBP1-93608] - Staining of human cerebral cortex shows strong cytoplasmic positivity in neurons.
Immunohistochemistry-Paraffin: IGSF9B Antibody [NBP1-93608] - Staining of human skeletal muscle shows strong human skeletal muscle shows strong cytoplasmic positivity in myocytes.
Immunohistochemistry-Paraffin: IGSF9B Antibody [NBP1-93608] - Staining of human rectum shows moderate cytoplasmic positivity in glandular cells.
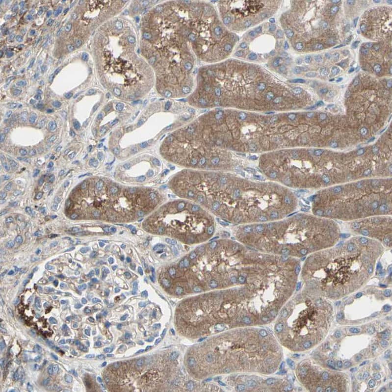
Immunohistochemistry-Paraffin: IGSF9B Antibody [NBP1-93608] - Staining of human kidney shows moderate cytoplasmic positivity in cells in tubules.
Staining of human skeletal muscle shows strong cytoplasmic positivity in myocytes.
Staining of human rectum shows moderate cytoplasmic positivity in glandular cells.
Staining of human kidney shows moderate cytoplasmic positivity in cells in tubules.

Product Details

Summary
Reactivity Hu, Mu, RtSpecies Glossary
Applications IHC
Clonality
Polyclonal
Host
Rabbit
Conjugate
Unconjugated
Format
BSA Free

Order Details

View Available Formulations
Catalog# & Formulation Size Price

IGSF9B Antibody - BSA Free Summary

Description
Novus Biologicals Rabbit IGSF9B Antibody - BSA Free (NBP1-93608) is a polyclonal antibody validated for use in IHC. Anti-IGSF9B Antibody: Cited in 1 publication. All Novus Biologicals antibodies are covered by our 100% guarantee.
Immunogen
This antibody was developed against Recombinant Protein corresponding to amino acids: LEAPLSSGKVSPESIRTLRAPSESSDDQGQPAAKRMLSPTREKELSLYKKTKRAISSKKYSVAKAEAEAEATTPIELISRGPDGRFVMDPAEMEPSLKSRRIEGFPFAEETDMYPEFRQSDEENEDPLVPTSVAALKSQLTPLSSSQE
Predicted Species
Mouse (94%), Rat (94%). Backed by our 100% Guarantee.
Isotype
IgG
Clonality
Polyclonal
Host
Rabbit
Gene
IGSF9B
Purity
Immunogen affinity purified
Innovator's Reward
Test in a species/application not listed above to receive a full credit towards a future purchase.

Applications/Dilutions

Dilutions
  • Immunohistochemistry 1:20 - 1:50
  • Immunohistochemistry-Paraffin 1:20 - 1:50
Application Notes
For IHC-Paraffin, HIER pH 6 retrieval is recommended.
Control Peptide
IGSF9B Protein (NBP1-93608PEP)
Publications
Read Publication using NBP1-93608.

Reactivity Notes

Reactivity reported in scientific literature (PMID: 23751499).

Packaging, Storage & Formulations

Storage
Store at 4C short term. Aliquot and store at -20C long term. Avoid freeze-thaw cycles.
Buffer
PBS (pH 7.2) and 40% Glycerol
Preservative
0.02% Sodium Azide
Purity
Immunogen affinity purified

Alternate Names for IGSF9B Antibody - BSA Free

  • IGSF9B
  • immunoglobulin superfamily, member 9B

Limitations

This product is for research use only and is not approved for use in humans or in clinical diagnosis. Primary Antibodies are guaranteed for 1 year from date of receipt.

Publications for IGSF9B Antibody (NBP1-93608)(1)

Reviews for IGSF9B Antibody (NBP1-93608) (0)

There are no reviews for IGSF9B Antibody (NBP1-93608). By submitting a review you will receive an Amazon e-Gift Card or Novus Product Discount.
  • Review with no image -- $10/€7/£6/$10 CAD/¥70 Yuan/¥1110 Yen
  • Review with an image -- $25/€18/£15/$25 CAD/¥150 Yuan/¥2500 Yen

Product General Protocols

Find general support by application which include: protocols, troubleshooting, illustrated assays, videos and webinars.

FAQs for IGSF9B Antibody (NBP1-93608) (0)

There are no specific FAQs related to this product. Read our general customer & technical service FAQs.

Customers Who Bought This Also Bought

Contact Information

Product PDFs

Calculators

Concentration Calculator

The concentration calculator allows you to quickly calculate the volume, mass or concentration of your vial. Simply enter your mass, volume, or concentration values for your reagent and the calculator will determine the rest.

=
÷

Review this Product

Be the first to review our IGSF9B Antibody - BSA Free and receive a gift card or discount.

Bioinformatics

Gene Symbol IGSF9B