HIST1H2AG Antibody (CL5041) - Azide and BSA Free

Images

 
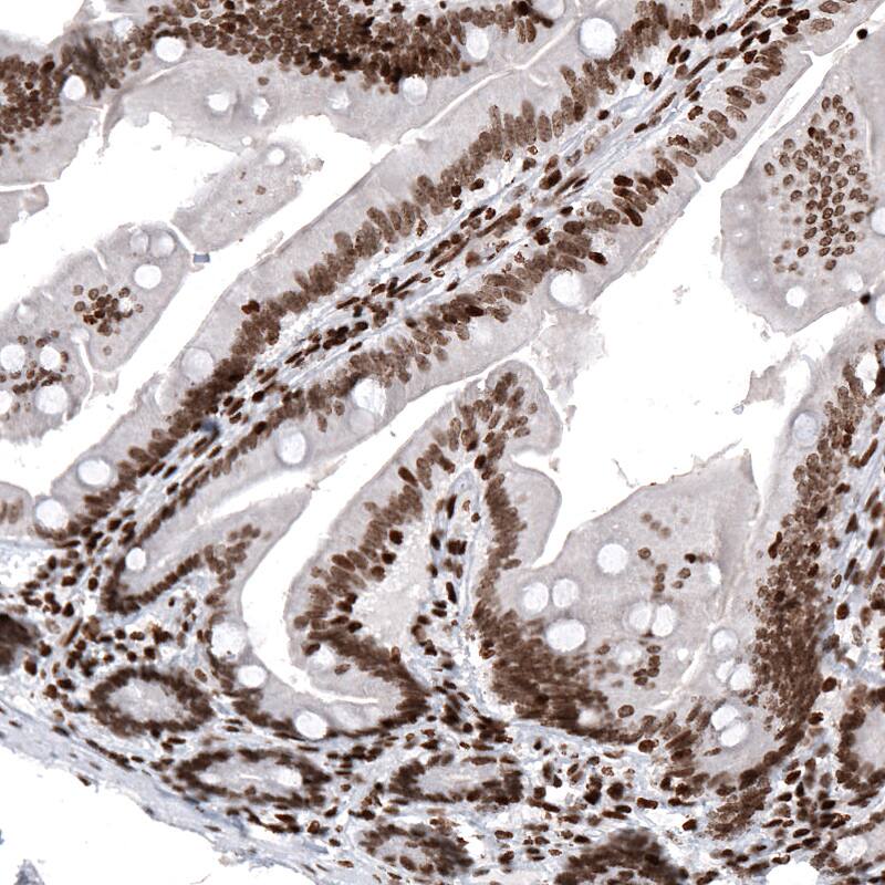
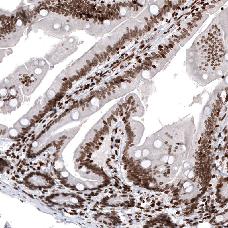
Staining of human duodenum shows strong nuclear immunoreactivity in glandular cells and in cells in lamina propria.
Staining of human cervix shows moderate to strong nuclear positivity in epithelial and connective tissue cells.
Staining of human prostate shows strong nuclear positivity in glandular and smooth muscle cells.
Staining of human tonsil shows moderate to strong nuclear immunoreactivity in lymphoid cells.

Product Details

Summary
Reactivity HuSpecies Glossary
Applications IHC
Clone
CL5041
Clonality
Monoclonal
Host
Mouse
Conjugate
Unconjugated
Format
Azide and BSA Free
Concentration
LYOPH

Order Details

HIST1H2AG Antibody (CL5041) - Azide and BSA Free Summary

Description
Novus Biologicals Mouse HIST1H2AG Antibody (CL5041) - Azide and BSA Free (NBP2-61152) is a monoclonal antibody validated for use in IHC. All Novus Biologicals antibodies are covered by our 100% guarantee.
Immunogen
This antibody was generated using a synthetic peptide of P0C0S8, with the exact immunogen sequence remaining proprietary.
Isotype
IgG1
Clonality
Monoclonal
Host
Mouse
Gene
HIST1H2AG
Purity
Protein A purified
Innovator's Reward
Test in a species/application not listed above to receive a full credit towards a future purchase.

Applications/Dilutions

Dilutions
  • Immunohistochemistry-Paraffin 1:200 - 1:500
Application Notes
For IHC-Paraffin, HIER pH 6 retrieval is recommended.

Packaging, Storage & Formulations

Storage
Store at 4C short term. Aliquot and store at -20C long term. Avoid freeze-thaw cycles.
Buffer
Lyophilized from a 0.2 um filtered solution in PBS with Trehalose
Preservative
No Preservative
Concentration
LYOPH
Purity
Protein A purified
Reconstitution Instructions
Centrifuge the vial of lyophilized antibody at 12,000 x g for 20 seconds. Reconstitute by adding sterile, distilled water to achieve a final antibody concentration of 1mg/ml.

Alternate Names for HIST1H2AG Antibody (CL5041) - Azide and BSA Free

  • H2A histone family, member P
  • H2A.1
  • H2A.1b
  • H2A/p
  • H2AFC
  • H2AFD
  • H2AFI
  • H2AFN
  • H2AFP
  • HIST1H2AI
  • HIST1H2AK
  • HIST1H2AL
  • HIST1H2AM
  • histone 1, H2ag
  • histone cluster 1, H2ag
  • histone H2A type 1
  • Histone H2A/p
  • pH2A/f

Background

HIST1H2AG is 130 amino acids long, weighs approximately 14 kDa, and the gene codes for a part of a group of basic nuclear proteins called histones, which are responsible for nucleosome structure of the chromosomal fiber in eukaryotes. Current studies are being done on several diseases and disorders including riddle syndrome, systemic lupus erythematosus, lupus erythematosus, schizophrenia, and immunodeficiency. HIST1H2AG has also been shown to have interactions with IL33, RYBP, YWHAZ, YWHAQ, and SAP30 in pathways such as the histone modification, signal transduction of Activin A, and systemic lupus erythematosus pathways.

Limitations

This product is for research use only and is not approved for use in humans or in clinical diagnosis. Primary Antibodies are guaranteed for 1 year from date of receipt.

Customers Who Viewed This Item Also Viewed...

NBP3-48615
Species: Hu, Mu, Rt
Applications: ICC/IF, IHC,  IHC-P, WB
NBP3-33534
Species: Hu, Mu, Rt
Applications: ELISA, IHC,  IHC-P, WB
NBP2-07996
Species: Hu
Applications: WB
NBP2-52486
Species: Hu
Applications: CyTOF-ready, ELISA, Flow, ICC/IF, IHC,  IHC-P, WB
NLS3775
Species: Hu, Pm
Applications: ICC/IF, IHC,  IHC-P
NBP1-85351
Species: Hu, Mu, Rt
Applications: ICC/IF, IHC,  IHC-P, WB
NB100-56346
Species: Hu, Mu, Sh
Applications: ELISA, Flow, IHC,  IHC-P, WB
NBP2-06572
Species: Hu
Applications: WB
NBP2-07993
Species: Hu
Applications: WB
NBP2-61153
Species: Hu, Mu, Rt
Applications: IHC,  IHC-P, WB
NBP3-46113
Species: Hu, Mu, Rt
Applications: ELISA, IHC, IP, , WB
AF5215
Species: Hu, Mu
Applications: ICC, WB
NBL1-11570
Species: Hu
Applications: WB
NBP3-44252
Species: Hu
Applications: IHC

Publications for HIST1H2AG Antibody (NBP3-44252) (0)

There are no publications for HIST1H2AG Antibody (NBP3-44252).
By submitting your publication information earn gift cards and discounts for future purchases.

Reviews for HIST1H2AG Antibody (NBP3-44252) (0)

There are no reviews for HIST1H2AG Antibody (NBP3-44252). By submitting a review you will receive an Amazon e-Gift Card or Novus Product Discount.
  • Review with no image -- $10/€7/£6/$10 CAD/¥70 Yuan/¥1110 Yen
  • Review with an image -- $25/€18/£15/$25 CAD/¥150 Yuan/¥2500 Yen

Product General Protocols

Find general support by application which include: protocols, troubleshooting, illustrated assays, videos and webinars.

FAQs for HIST1H2AG Antibody (NBP3-44252) (0)

There are no specific FAQs related to this product. Read our general customer & technical service FAQs.

Customers Who Bought This Also Bought

Contact Information

Product PDFs

Calculators

Concentration Calculator

The concentration calculator allows you to quickly calculate the volume, mass or concentration of your vial. Simply enter your mass, volume, or concentration values for your reagent and the calculator will determine the rest.

=
÷

Review this Product

Be the first to review our HIST1H2AG Antibody (CL5041) - Azide and BSA Free and receive a gift card or discount.

Bioinformatics

Gene Symbol HIST1H2AG