HEATR7A Antibody - BSA Free

Images

 
Western Blot: HEATR7A Antibody [NBP1-93571] - Lane 1: Marker [kDa] 250, 130, 95, 72, 55, 36, 28, 17, 10. Lane 2: Human cell line RT-4. Lane 3: Human cell line U-251MG sp
Immunohistochemistry-Paraffin: HEATR7A Antibody [NBP1-93571] - Staining of human cerebral cortex shows moderate cytoplasmic positivity in neuronal cells.
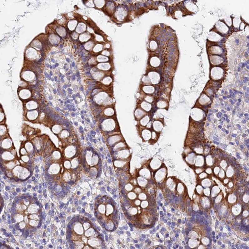
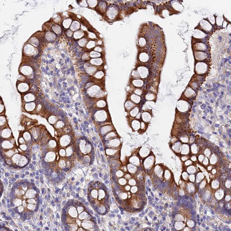
Staining of human small intestine shows strong cytoplasmic positivity in glandular cells.
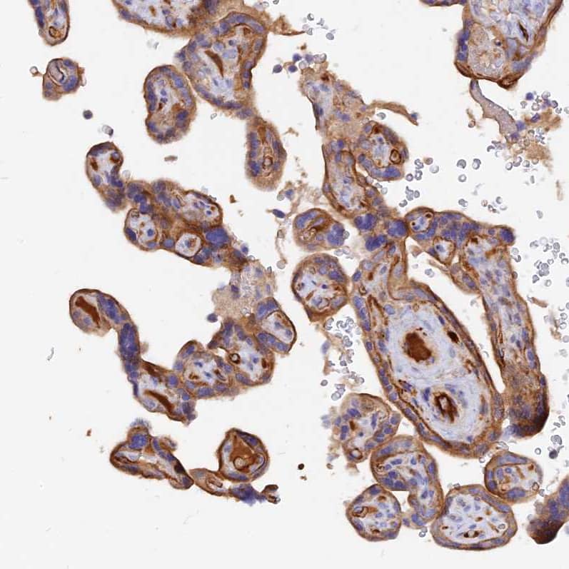
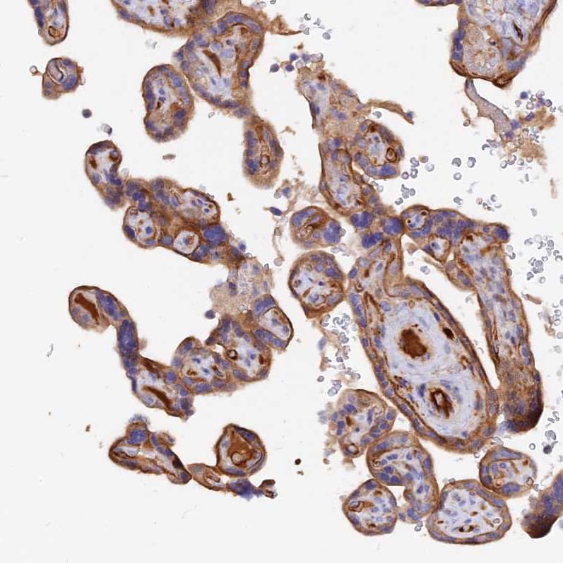
Staining of human placenta shows strong cytoplasmic positivity in trophoblastic cells.
Staining of human cerebral cortex shows strong cytoplasmic positivity in glial cells.
Analysis in human cell line PC-3.
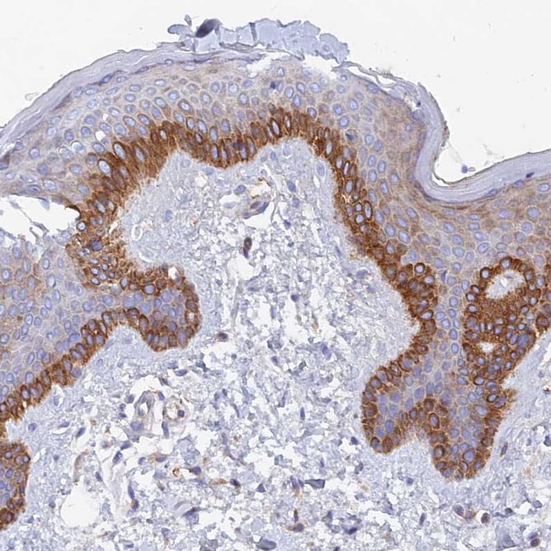
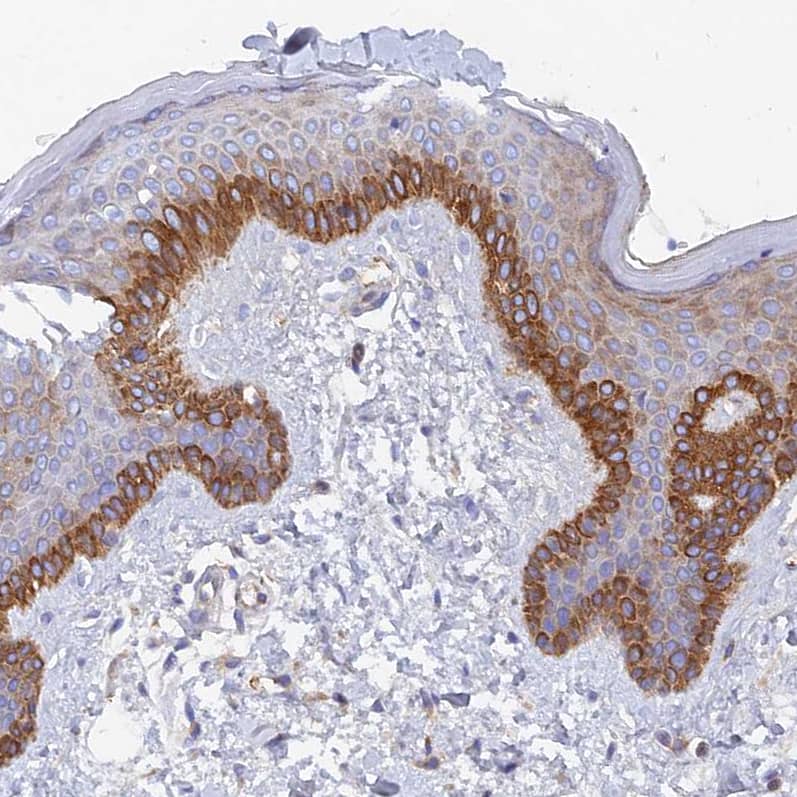
Staining of human skin shows strong cytoplasmic positivity in basal squamous epithelial cells.

Product Details

Summary
Reactivity HuSpecies Glossary
Applications WB, IHC
Clonality
Polyclonal
Host
Rabbit
Conjugate
Unconjugated
Format
BSA Free

Order Details

View Available Formulations
Catalog# & Formulation Size Price

HEATR7A Antibody - BSA Free Summary

Description
Novus Biologicals Rabbit HEATR7A Antibody - BSA Free (NBP1-93571) is a polyclonal antibody validated for use in IHC and WB. All Novus Biologicals antibodies are covered by our 100% guarantee.
Immunogen
This antibody was developed against Recombinant Protein corresponding to amino acids: PGTLPHCAVLHTLASLSVANAFGVVPFLPSVLSSLLPVLGVAKQDTVRVAFCSALQRFSEGALEYLANLDRAPDPTVRKDAFATDIFSAYDVLFHQWLQSREAKLRL
Isotype
IgG
Clonality
Polyclonal
Host
Rabbit
Gene
MROH1
Purity
Immunogen affinity purified
Innovator's Reward
Test in a species/application not listed above to receive a full credit towards a future purchase.

Applications/Dilutions

Dilutions
  • Immunohistochemistry 1:20 - 1:50
  • Immunohistochemistry-Paraffin 1:20 - 1:50
  • Western Blot 0.04-0.4 ug/ml
Application Notes
For IHC-Paraffin, HIER pH 6 retrieval is recommended.
Control Peptide
HEATR7A Recombinant Protein Antigen (NBP1-93571PEP)

Packaging, Storage & Formulations

Storage
Store at 4C short term. Aliquot and store at -20C long term. Avoid freeze-thaw cycles.
Buffer
PBS (pH 7.2) and 40% Glycerol
Preservative
0.02% Sodium Azide
Purity
Immunogen affinity purified

Alternate Names for HEATR7A Antibody - BSA Free

  • HEAT repeat-containing protein 7A-like
  • LOC377711

Limitations

This product is for research use only and is not approved for use in humans or in clinical diagnosis. Primary Antibodies are guaranteed for 1 year from date of receipt.

Publications for HEATR7A Antibody (NBP1-93571) (0)

There are no publications for HEATR7A Antibody (NBP1-93571).
By submitting your publication information earn gift cards and discounts for future purchases.

Reviews for HEATR7A Antibody (NBP1-93571) (0)

There are no reviews for HEATR7A Antibody (NBP1-93571). By submitting a review you will receive an Amazon e-Gift Card or Novus Product Discount.
  • Review with no image -- $10/€7/£6/$10 CAD/¥70 Yuan/¥1110 Yen
  • Review with an image -- $25/€18/£15/$25 CAD/¥150 Yuan/¥2500 Yen

Product General Protocols

Find general support by application which include: protocols, troubleshooting, illustrated assays, videos and webinars.

Video Protocols

WB Video Protocol

FAQs for HEATR7A Antibody (NBP1-93571) (0)

There are no specific FAQs related to this product. Read our general customer & technical service FAQs.

Customers Who Bought This Also Bought

Contact Information

Product PDFs

Calculators

Concentration Calculator

The concentration calculator allows you to quickly calculate the volume, mass or concentration of your vial. Simply enter your mass, volume, or concentration values for your reagent and the calculator will determine the rest.

=
÷

Review this Product

Be the first to review our HEATR7A Antibody - BSA Free and receive a gift card or discount.

Bioinformatics

Gene Symbol MROH1