GPR82 Antibody

Images

 
Immunohistochemistry-Paraffin: GPR82 Antibody [NLS2706] - Anti-GPR82 antibody IHC of human Lung, Adenocarcinoma. Immunohistochemistry of formalin-fixed, paraffin-embedded tissue after heat-induced antigen retrieval.
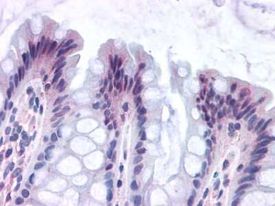
Immunohistochemistry-Paraffin: GPR82 Antibody [NLS2706] - Analysis of anti-GPR82 antibody with human colon.

Product Details

Summary
Product Discontinued
View other related GPR82 Primary Antibodies

Order Details


    • Catalog Number
      NLS2706
    • Availability
      Product Discontinued

    Can't find what you are looking for? Use our Antibody Concierge Service & we will help you locate your antibody!

    Or feel free to contact us for alternative products.

GPR82 Antibody Summary

Immunogen
Synthetic 15 amino acid peptide from 2nd cytoplasmic domain of human GPR82.
Localization
Cell Membrane
Specificity
Human GPR82. BLAST analysis of the peptide immunogen showed no homology with other human proteins.
Predicted Species
Monkey (93%). Backed by our 100% Guarantee.
Isotype
IgG
Clonality
Polyclonal
Host
Rabbit
Gene
GPR82
Purity
Immunogen affinity purified
Innovator's Reward
Test in a species/application not listed above to receive a full credit towards a future purchase.

Applications/Dilutions

Dilutions
  • Immunohistochemistry
  • Immunohistochemistry-Paraffin 1:10-1:500

Reactivity Notes

Predicted cross-reactivity based on sequence identity: Gorilla (100%), Gibbon (100%), Marmoset (87%), Elephant (87%), Panda (87%), Canine (87%), Bovine (87%), Rabbit (87%), Porcine (87%), Equine (80%).

Packaging, Storage & Formulations

Storage
Store at 4C short term. Aliquot and store at -20C long term. Avoid freeze-thaw cycles.
Buffer
PBS
Preservative
0.1% Sodium Azide
Concentration
1.0 mg/ml
Purity
Immunogen affinity purified

Alternate Names for GPR82 Antibody

  • G protein-coupled receptor 82
  • GPR82
  • probable G-protein coupled receptor 82

Background

The G protein-coupled receptor GPR82 is a Orphan-A GPCR with an unknown ligand.

Limitations

This product is for research use only and is not approved for use in humans or in clinical diagnosis. Primary Antibodies are guaranteed for 1 year from date of receipt.

Customers Who Viewed This Item Also Viewed...

NLS1922
Species: Hu
Applications: IHC,  IHC-P
NLS1584
Species: Bt, Bv, Ca, Eq, Ha, Hu, Pm, Po, Pm, Rb
Applications: IHC,  IHC-P, WB
NLS418
Species: Hu
Applications: IHC,  IHC-P
MAB8449
Species: Hu
Applications: CyTOF-ready, Flow
NBP2-13721
Species: Hu
Applications: IHC,  IHC-P
H00005696-M01
Species: Hu
Applications: ELISA, ICC/IF, IHC,  IHC-P, IP, WB
MAB194
Species: Hu, Mu
Applications: CyTOF-ready, Flow, ICC, WB
NLS380
Species: Hu
Applications: IHC,  IHC-P
NLS6747
Species: Hu
Applications: IHC,  IHC-P
NLS2095
Species: Hu, Mu
Applications: ICC/IF, IHC,  IHC-P, WB
NBP1-03363
Species: Ch, Hu, Mu, Rt
Applications: ICC/IF, IHC, IHC-Fr,  IHC-P, Simple Western, WB
NLS426
Species: Hu, Mu
Applications: ICC/IF, IHC,  IHC-P
MAB7495
Species: Hu
Applications: CyTOF-ready, Flow, WB
NLS2307
Species: Hu
Applications: IHC,  IHC-P
MAB8458
Species: Hu
Applications: CyTOF-ready, Flow, ICC
NBP2-24488
Species: Hu, Pm
Applications: IHC,  IHC-P, WB

Publications for GPR82 Antibody (NLS2706) (0)

There are no publications for GPR82 Antibody (NLS2706).
By submitting your publication information earn gift cards and discounts for future purchases.

Reviews for GPR82 Antibody (NLS2706) (0)

There are no reviews for GPR82 Antibody (NLS2706). By submitting a review you will receive an Amazon e-Gift Card or Novus Product Discount.
  • Review with no image -- $10/€7/£6/$10 CAD/¥70 Yuan/¥1110 Yen
  • Review with an image -- $25/€18/£15/$25 CAD/¥150 Yuan/¥2500 Yen

Product General Protocols

View specific protocols for GPR82 Antibody (NLS2706): Find general support by application which include: protocols, troubleshooting, illustrated assays, videos and webinars.

FAQs for GPR82 Antibody (NLS2706) (0)

There are no specific FAQs related to this product. Read our general customer & technical service FAQs.

Secondary Antibodies

 

Isotype Controls

Additional GPR82 Products

Research Areas for GPR82 Antibody (NLS2706)

Find related products by research area.

Blogs on GPR82

There are no specific blogs for GPR82, but you can read our latest blog posts.

Contact Information

Product PDFs

Calculators

Concentration Calculator

The concentration calculator allows you to quickly calculate the volume, mass or concentration of your vial. Simply enter your mass, volume, or concentration values for your reagent and the calculator will determine the rest.

=
÷

Review this Product

Be the first to review our GPR82 Antibody and receive a gift card or discount.

Bioinformatics

Gene Symbol GPR82
Entrez
Uniprot