FAM21A Antibody - BSA Free

Images

 
Immunocytochemistry/ Immunofluorescence: FAM21A Antibody [NBP2-57472] - Staining of human cell line HeLa shows localization to vesicles.
Immunohistochemistry-Paraffin: FAM21A Antibody [NBP2-57472] -Staining of human rectum shows strong cytoplasmic granular positivity in glandular cells.
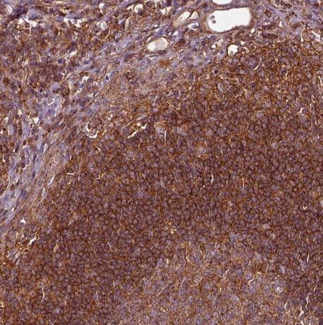
Immunohistochemistry-Paraffin: FAM21A Antibody [NBP2-57472] -Staining of human lymph node shows strong cytoplasmic granular positivity in non-germinal center cells.
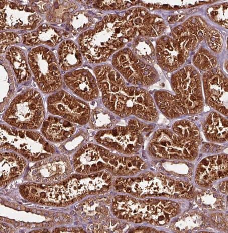
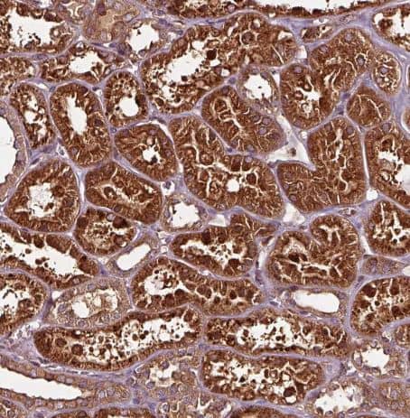
Immunohistochemistry-Paraffin: FAM21A Antibody [NBP2-57472] -Staining of human kidney shows strong cytoplasmic granular positivity in cells in tubules
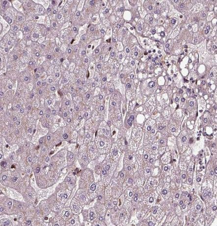
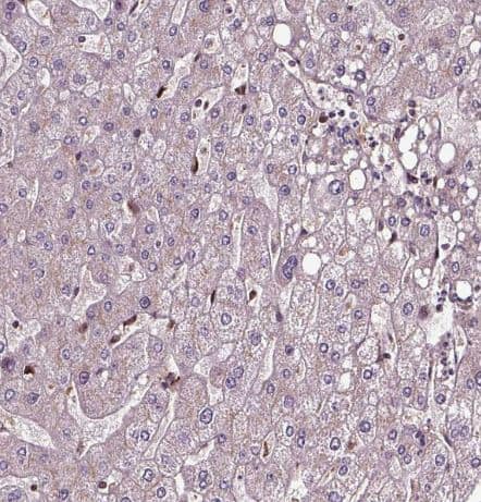
Immunohistochemistry-Paraffin: FAM21A Antibody [NBP2-57472] -Staining of human liver shows very weak positivity in hepatocytes.

Product Details

Summary
Reactivity HuSpecies Glossary
Applications ICC/IF, IHC
Clonality
Polyclonal
Host
Rabbit
Conjugate
Unconjugated
Format
BSA Free

Order Details

View Available Formulations
Catalog# & Formulation Size Price

FAM21A Antibody - BSA Free Summary

Description
Novus Biologicals Rabbit FAM21A Antibody - BSA Free (NBP2-57472) is a polyclonal antibody validated for use in IHC and ICC/IF. All Novus Biologicals antibodies are covered by our 100% guarantee.
Immunogen
This antibody was developed against a recombinant protein corresponding to the following amino acid sequence: SVERTKPKAKIAENPANPPVGGKAKSPMFPALGEASSDDDLFQSAKPKPAKKTNPFPLLEDEDDLFTDQKVKKNE
Isotype
IgG
Clonality
Polyclonal
Host
Rabbit
Gene
WASHC2A
Purity
Affinity purified
Innovator's Reward
Test in a species/application not listed above to receive a full credit towards a future purchase.

Applications/Dilutions

Dilutions
  • Immunocytochemistry/ Immunofluorescence 0.25-2 ug/ml
  • Immunohistochemistry 1:50 - 1:200
  • Immunohistochemistry-Paraffin 1:50 - 1:200
Application Notes
ICC/IF, Fixation Permeabilization: Use PFA/Triton X-100. IHC-P, Retrieval method: HIER pH6.
Control Peptide
FAM21A Recombinant Protein Antigen (NBP2-57472PEP)

Packaging, Storage & Formulations

Storage
Store at 4C short term. Aliquot and store at -20C long term. Avoid freeze-thaw cycles.
Buffer
PBS (pH 7.2) and 40% Glycerol
Preservative
0.02% Sodium Azide
Purity
Affinity purified

Alternate Names for FAM21A Antibody - BSA Free

  • Alternative Protein FAM21B
  • BA56A21.1
  • bA98I6.1
  • FAM21B
  • Family With Sequence Similarity 21 Member A
  • Family With Sequence Similarity 21, Member A
  • Family With Sequence Similarity 21, Member B
  • WASH Complex Subunit FAM21A
  • WASH Complex Subunit FAM21B

Limitations

This product is for research use only and is not approved for use in humans or in clinical diagnosis. Primary Antibodies are guaranteed for 1 year from date of receipt.

Publications for FAM21A Antibody (NBP2-57472) (0)

There are no publications for FAM21A Antibody (NBP2-57472).
By submitting your publication information earn gift cards and discounts for future purchases.

Reviews for FAM21A Antibody (NBP2-57472) (0)

There are no reviews for FAM21A Antibody (NBP2-57472). By submitting a review you will receive an Amazon e-Gift Card or Novus Product Discount.
  • Review with no image -- $10/€7/£6/$10 CAD/¥70 Yuan/¥1110 Yen
  • Review with an image -- $25/€18/£15/$25 CAD/¥150 Yuan/¥2500 Yen

Product General Protocols

Find general support by application which include: protocols, troubleshooting, illustrated assays, videos and webinars.

Video Protocols

ICC/IF Video Protocol

FAQs for FAM21A Antibody (NBP2-57472) (0)

There are no specific FAQs related to this product. Read our general customer & technical service FAQs.

Customers Who Bought This Also Bought

Contact Information

Product PDFs

Calculators

Concentration Calculator

The concentration calculator allows you to quickly calculate the volume, mass or concentration of your vial. Simply enter your mass, volume, or concentration values for your reagent and the calculator will determine the rest.

=
÷

Review this Product

Be the first to review our FAM21A Antibody - BSA Free and receive a gift card or discount.

Bioinformatics

Gene Symbol WASHC2A