FAM155A Antibody - BSA Free

Images

 
Orthogonal Strategies: Immunohistochemistry-Paraffin: FAM155A Antibody [NBP1-90982] -Analysis in human cerebral cortex and skeletal muscle tissues using NBP1-90982 antibody. Corresponding FAM155A RNA-seq data are ...read more
Western Blot: FAM155A Antibody [NBP1-90982] - Lane 1: Marker [kDa] 250, 130, 100, 70, 55, 35, 25, 15, 10. Lane 2: Cerebral Cortex
Immunohistochemistry-Paraffin: FAM155A Antibody [NBP1-90982] - Staining of human cerebral cortex shows high expression.
Immunohistochemistry-Paraffin: FAM155A Antibody [NBP1-90982] - Staining of human small intestine shows moderate membranous positivity in glandular cells.
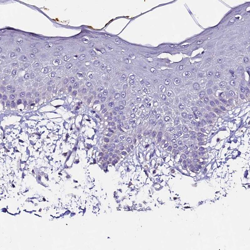
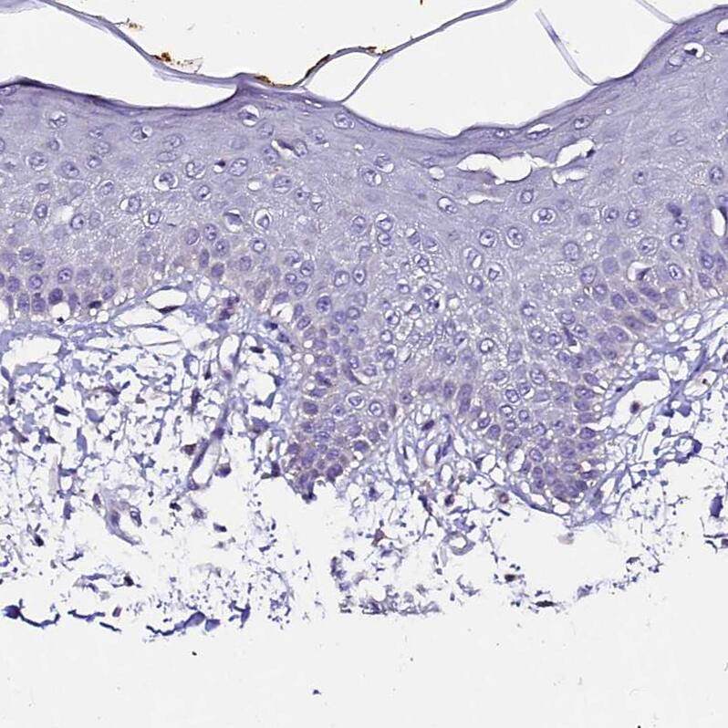
Immunohistochemistry-Paraffin: FAM155A Antibody [NBP1-90982] -Staining of human skin shows no positivity in squamous epithelial cells as expected.
Immunohistochemistry-Paraffin: FAM155A Antibody [NBP1-90982] -Staining of human skeletal muscle shows no positivity in myocytes as expected.
Staining of human skin shows no positivity in squamous epithelial cells as expected.
Lane 1: Marker [kDa] 250, 130, 100, 70, 55, 35, 25, 15, 10Lane 2: Human Cerebral Cortex tissue
Staining of human cerebral cortex shows strong cytoplasmic/ cytoplasmic membranous positivity in neuropil.
Orthogonal Strategies: Analysis in human cerebral cortex and skeletal muscle tissues using NBP1-90982 antibody. Corresponding FAM155A RNA-seq data are presented for the same tissues.

Product Details

Summary
Reactivity HuSpecies Glossary
Applications WB, IHC
Clonality
Polyclonal
Host
Rabbit
Conjugate
Unconjugated
Format
BSA Free
Validated by:
       

Orthogonal Strategies

 

Order Details

View Available Formulations
Catalog# & Formulation Size Price

FAM155A Antibody - BSA Free Summary

Description
Novus Biologicals Rabbit FAM155A Antibody - BSA Free (NBP1-90982) is a polyclonal antibody validated for use in IHC and WB. All Novus Biologicals antibodies are covered by our 100% guarantee.
Immunogen
This antibody was developed against Recombinant Protein corresponding to amino acids: GNRGKDDRGKALFLGNSAKPVWRLETCYPQGASSGQCFTVENADAVCARNWSRGAAGGDGQEVRSKHPTPL
Isotype
IgG
Clonality
Polyclonal
Host
Rabbit
Gene
NALF1
Purity
Immunogen affinity purified
Innovator's Reward
Test in a species/application not listed above to receive a full credit towards a future purchase.

Applications/Dilutions

Dilutions
  • Immunohistochemistry 1:50 - 1:200
  • Immunohistochemistry-Paraffin 1:50 - 1:200
  • Western Blot 0.04-0.4 ug/ml
Application Notes
For IHC-Paraffin, HIER pH 6 retrieval is recommended.
Control Peptide
FAM155A Protein (NBP1-90982PEP)

Reactivity Notes

Immunogen displays the following percentage of sequence identity for non-tested species: Mouse (82%), Rat (82%)

Packaging, Storage & Formulations

Storage
Store at 4C short term. Aliquot and store at -20C long term. Avoid freeze-thaw cycles.
Buffer
PBS (pH 7.2) and 40% Glycerol
Preservative
0.02% Sodium Azide
Purity
Immunogen affinity purified

Alternate Names for FAM155A Antibody - BSA Free

  • family with sequence similarity 155, member A

Limitations

This product is for research use only and is not approved for use in humans or in clinical diagnosis. Primary Antibodies are guaranteed for 1 year from date of receipt.

Publications for FAM155A Antibody (NBP1-90982) (0)

There are no publications for FAM155A Antibody (NBP1-90982).
By submitting your publication information earn gift cards and discounts for future purchases.

Reviews for FAM155A Antibody (NBP1-90982) (0)

There are no reviews for FAM155A Antibody (NBP1-90982). By submitting a review you will receive an Amazon e-Gift Card or Novus Product Discount.
  • Review with no image -- $10/€7/£6/$10 CAD/¥70 Yuan/¥1110 Yen
  • Review with an image -- $25/€18/£15/$25 CAD/¥150 Yuan/¥2500 Yen

Product General Protocols

Find general support by application which include: protocols, troubleshooting, illustrated assays, videos and webinars.

Video Protocols

WB Video Protocol

FAQs for FAM155A Antibody (NBP1-90982) (0)

There are no specific FAQs related to this product. Read our general customer & technical service FAQs.

Customers Who Bought This Also Bought

Contact Information

Product PDFs

Calculators

Concentration Calculator

The concentration calculator allows you to quickly calculate the volume, mass or concentration of your vial. Simply enter your mass, volume, or concentration values for your reagent and the calculator will determine the rest.

=
÷

Review this Product

Be the first to review our FAM155A Antibody - BSA Free and receive a gift card or discount.

Bioinformatics

Gene Symbol NALF1