Ells1 Antibody - BSA Free

Images

 
Immunocytochemistry/ Immunofluorescence: Ells1 Antibody [NBP1-90477] - Staining of human cell line A-431 shows localization to cytosol. Antibody staining is shown in green.
Orthogonal Strategies: Analysis in human cerebral cortex and liver tissues using NBP1-90477 antibody. Corresponding MTURN RNA-seq data are presented for the same tissues.
Staining of human cerebral cortex shows moderate cytoplasmic positivity in glial cells.
Immunohistochemistry-Paraffin: Ells1 Antibody [NBP1-90477] -Staining of human liver shows no cytoplasmic positivity in hepatocytes as expected.
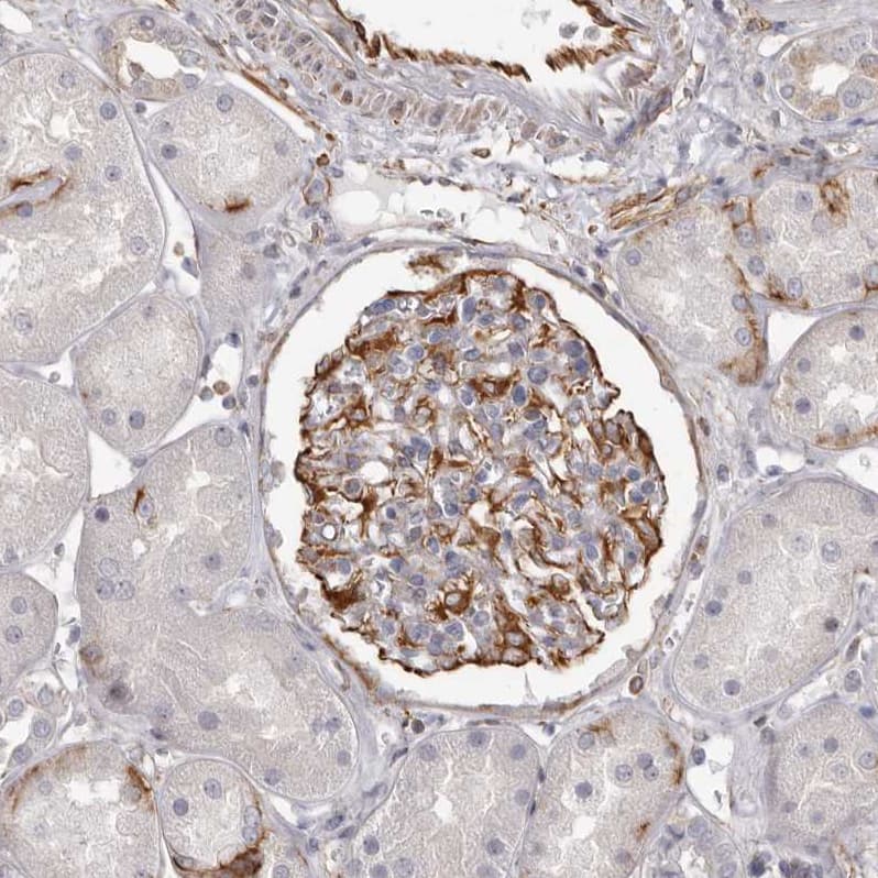
Staining of human kidney shows strong cytoplasmic positivity in cells in glomeruli.
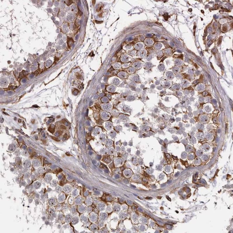
Staining of human testis shows strong cytoplasmic positivity in cells in seminiferous ducts.
Staining of human cerebellum shows strong positivity in neuronal processes in cells in molecular layer.

Product Details

Summary
Reactivity Hu, Mu, RtSpecies Glossary
Applications ICC/IF, IHC
Clonality
Polyclonal
Host
Rabbit
Conjugate
Unconjugated
Format
BSA Free
Validated by:
       

Orthogonal Strategies

 

Order Details

View Available Formulations
Catalog# & Formulation Size Price

Ells1 Antibody - BSA Free Summary

Description
Novus Biologicals Rabbit Ells1 Antibody - BSA Free (NBP1-90477) is a polyclonal antibody validated for use in IHC and ICC/IF. Anti-Ells1 Antibody: Cited in 1 publication. All Novus Biologicals antibodies are covered by our 100% guarantee.
Immunogen
This antibody was developed against Recombinant Protein corresponding to amino acids: MDFQQLADVAEKWCSNTPFELIATEETERRMDFYADPGVSFYVLCPDNGCGDN
Predicted Species
Mouse (94%), Rat (94%). Backed by our 100% Guarantee.
Isotype
IgG
Clonality
Polyclonal
Host
Rabbit
Gene
MTURN
Purity
Immunogen affinity purified
Innovator's Reward
Test in a species/application not listed above to receive a full credit towards a future purchase.

Applications/Dilutions

Dilutions
  • Immunocytochemistry/ Immunofluorescence 0.25-2 ug/ml
  • Immunohistochemistry 1:1000 - 1:2500
  • Immunohistochemistry-Paraffin 1:1000 - 1:2500
Application Notes
For IHC-Paraffin, HIER pH 6 retrieval is recommended. ICC/IF Fixation Permeabilization: Use PFA/Triton X-100.
Control Peptide
Ells1 Protein (NBP1-90477PEP)
Publications
Read Publication using NBP1-90477.

Packaging, Storage & Formulations

Storage
Store at 4C short term. Aliquot and store at -20C long term. Avoid freeze-thaw cycles.
Buffer
PBS (pH 7.2) and 40% Glycerol
Preservative
0.02% Sodium Azide
Purity
Immunogen affinity purified

Alternate Names for Ells1 Antibody - BSA Free

  • C7orf41
  • chromosome 7 open reading frame 41
  • Ells1
  • FLJ25903
  • hypothetical protein LOC222166

Limitations

This product is for research use only and is not approved for use in humans or in clinical diagnosis. Primary Antibodies are guaranteed for 1 year from date of receipt.

Publications for Ells1 Antibody (NBP1-90477)(1)

Reviews for Ells1 Antibody (NBP1-90477) (0)

There are no reviews for Ells1 Antibody (NBP1-90477). By submitting a review you will receive an Amazon e-Gift Card or Novus Product Discount.
  • Review with no image -- $10/€7/£6/$10 CAD/¥70 Yuan/¥1110 Yen
  • Review with an image -- $25/€18/£15/$25 CAD/¥150 Yuan/¥2500 Yen

Product General Protocols

Find general support by application which include: protocols, troubleshooting, illustrated assays, videos and webinars.

Video Protocols

ICC/IF Video Protocol

FAQs for Ells1 Antibody (NBP1-90477) (0)

There are no specific FAQs related to this product. Read our general customer & technical service FAQs.

Customers Who Bought This Also Bought

Contact Information

Product PDFs

Calculators

Concentration Calculator

The concentration calculator allows you to quickly calculate the volume, mass or concentration of your vial. Simply enter your mass, volume, or concentration values for your reagent and the calculator will determine the rest.

=
÷

Review this Product

Be the first to review our Ells1 Antibody - BSA Free and receive a gift card or discount.

Bioinformatics

Gene Symbol MTURN