EFR3A Antibody - BSA Free

Images

 
Orthogonal Strategies: Immunohistochemistry-Paraffin: EFR3A Antibody [NBP1-81539] - Staining in human cerebral cortex and pancreas tissues using anti-EFR3A antibody. Corresponding EFR3A RNA-seq data are presented ...read more
Independent Antibodies: Immunohistochemistry-Paraffin: EFR3A Antibody [NBP1-81539] - Staining of human cerebral cortex, kidney, lymph node and testis using Anti-EFR3A antibody NBP1-81539 (A) shows similar protein ...read more
Western Blot: EFR3A Antibody [NBP1-81539] - Analysis in mouse cell line NIH-3T3 and rat cell line NBT-II.
Immunohistochemistry-Paraffin: EFR3A Antibody [NBP1-81539] - Staining of human cerebral cortex using Anti-EFR3A antibody NBP1-81539.
Western Blot: EFR3A Antibody [NBP1-81539] - Analysis in human cell line HDLM-2.
Immunohistochemistry-Paraffin: EFR3A Antibody [NBP1-81539] - Staining of human cerebral cortex shows high expression.
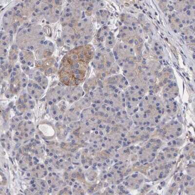
Immunohistochemistry-Paraffin: EFR3A Antibody [NBP1-81539] - Staining of human pancreas shows low expression as expected.
Immunohistochemistry-Paraffin: EFR3A Antibody [NBP1-81539] - Staining of human testis.
Immunohistochemistry-Paraffin: EFR3A Antibody [NBP1-81539] - Staining of human kidney.
Immunohistochemistry-Paraffin: EFR3A Antibody [NBP1-81539] - Staining of human lymph node.

Product Details

Summary
Reactivity Hu, Mu, RtSpecies Glossary
Applications WB, IHC
Clonality
Polyclonal
Host
Rabbit
Conjugate
Unconjugated
Format
BSA Free

Order Details

View Available Formulations
Catalog# & Formulation Size Price

EFR3A Antibody - BSA Free Summary

Description
Novus Biologicals Rabbit EFR3A Antibody - BSA Free (NBP1-81539) is a polyclonal antibody validated for use in IHC and WB. All Novus Biologicals antibodies are covered by our 100% guarantee.
Immunogen
This antibody was developed against Recombinant Protein corresponding to amino acids: LLMVTSGYKAKTIVTALPGSFLDPLLSPSLMEDYELRQLVLEVMHNLMDRHDNRAKLRGIRIIPDVADLKIKREKICRQDTSFMK
Isotype
IgG
Clonality
Polyclonal
Host
Rabbit
Gene
EFR3A
Purity
Immunogen affinity purified
Innovator's Reward
Test in a species/application not listed above to receive a full credit towards a future purchase.

Applications/Dilutions

Dilutions
  • Immunohistochemistry 1:50 - 1:200
  • Immunohistochemistry-Paraffin 1:50-1:200
  • Western Blot 0.04 - 0.4 ug/ml
Application Notes
For IHC-Paraffin, HIER pH 6 retrieval is recommended.
Control Peptide
EFR3A Protein (NBP1-81539PEP)

Packaging, Storage & Formulations

Storage
Store at 4C short term. Aliquot and store at -20C long term. Avoid freeze-thaw cycles.
Buffer
PBS (pH 7.2) and 40% Glycerol
Preservative
0.02% Sodium Azide
Purity
Immunogen affinity purified

Alternate Names for EFR3A Antibody - BSA Free

  • DKFZp781J0562
  • EFR3 homolog A (S. cerevisiae)
  • KIAA0143Protein EFR3-like
  • protein EFR3 homolog A

Limitations

This product is for research use only and is not approved for use in humans or in clinical diagnosis. Primary Antibodies are guaranteed for 1 year from date of receipt.

Publications for EFR3A Antibody (NBP1-81539) (0)

There are no publications for EFR3A Antibody (NBP1-81539).
By submitting your publication information earn gift cards and discounts for future purchases.

Reviews for EFR3A Antibody (NBP1-81539) (0)

There are no reviews for EFR3A Antibody (NBP1-81539). By submitting a review you will receive an Amazon e-Gift Card or Novus Product Discount.
  • Review with no image -- $10/€7/£6/$10 CAD/¥70 Yuan/¥1110 Yen
  • Review with an image -- $25/€18/£15/$25 CAD/¥150 Yuan/¥2500 Yen

Product General Protocols

Find general support by application which include: protocols, troubleshooting, illustrated assays, videos and webinars.

Video Protocols

WB Video Protocol

FAQs for EFR3A Antibody (NBP1-81539) (0)

There are no specific FAQs related to this product. Read our general customer & technical service FAQs.

Customers Who Bought This Also Bought

Contact Information

Product PDFs

Calculators

Concentration Calculator

The concentration calculator allows you to quickly calculate the volume, mass or concentration of your vial. Simply enter your mass, volume, or concentration values for your reagent and the calculator will determine the rest.

=
÷

Review this Product

Be the first to review our EFR3A Antibody - BSA Free and receive a gift card or discount.

Bioinformatics

Gene Symbol EFR3A