EFCAB1 Antibody - BSA Free

Images

 
Western Blot: EFCAB1 Antibody [NBP1-82313] - Analysis in control (vector only transfected HEK293T lysate) and EFCAB1 over-expression lysate (Co-expressed with a C-terminal myc-DDK tag (3.1 kDa) in mammalian HEK293T ...read more
Orthogonal Strategies: Immunohistochemistry-Paraffin: EFCAB1 Antibody [NBP1-82313] - Staining in human fallopian tube and tonsil tissues . Corresponding EFCAB1 RNA-seq data are presented for the same tissues.
Immunohistochemistry-Paraffin: EFCAB1 Antibody [NBP1-82313] - Staining of human endometrium shows strong positivity in cilia.
Immunohistochemistry-Paraffin: EFCAB1 Antibody [NBP1-82313] - Staining of human fallopian tube shows strong positivity in cilia.
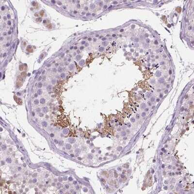
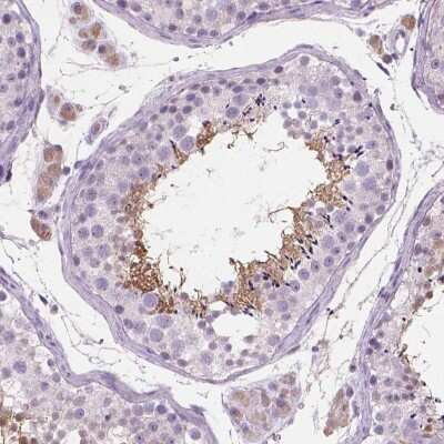
Immunohistochemistry-Paraffin: EFCAB1 Antibody [NBP1-82313] - Staining of human testis shows moderate cytoplasmic positivity in spermatids and sperm.
Immunohistochemistry-Paraffin: EFCAB1 Antibody [NBP1-82313] - Staining of human tonsil shows no positivity in lymphoid cells as expected.

Product Details

Summary
Reactivity Hu, Mu, RtSpecies Glossary
Applications WB, IHC
Clonality
Polyclonal
Host
Rabbit
Conjugate
Unconjugated
Format
BSA Free
Validated by:
       

Orthogonal Strategies

 

Order Details

View Available Formulations
Catalog# & Formulation Size Price

EFCAB1 Antibody - BSA Free Summary

Description
Novus Biologicals Rabbit EFCAB1 Antibody - BSA Free (NBP1-82313) is a polyclonal antibody validated for use in IHC and WB. All Novus Biologicals antibodies are covered by our 100% guarantee.
Immunogen
This antibody was developed against Recombinant Protein corresponding to amino acids: YCFEVFDLNGDGFISKEEMFHMLKNSLLKQPSEEDPDEGIKDLVEITLKKMDHDHDGKLSFADYELAVREETLLLEAFGPCLPDPKSQMEFEAQVFKDPN
Predicted Species
Mouse (97%), Rat (97%). Backed by our 100% Guarantee.
Isotype
IgG
Clonality
Polyclonal
Host
Rabbit
Gene
EFCAB1
Purity
Affinity purified
Innovator's Reward
Test in a species/application not listed above to receive a full credit towards a future purchase.

Applications/Dilutions

Dilutions
  • Immunohistochemistry 1:20 - 1:50
  • Immunohistochemistry-Paraffin 1:20 - 1:50
  • Western Blot 0.04-0.4 ug/ml
Application Notes
For IHC-Paraffin, HIER pH 6 retrieval is recommended.
Control Peptide
EFCAB1 Protein (NBP1-82313PEP)

Packaging, Storage & Formulations

Storage
Store at 4C short term. Aliquot and store at -20C long term. Avoid freeze-thaw cycles.
Buffer
PBS (pH 7.2) and 40% Glycerol
Preservative
0.02% Sodium Azide
Purity
Affinity purified

Alternate Names for EFCAB1 Antibody - BSA Free

  • EF-hand calcium binding domain 1
  • EF-hand calcium-binding domain-containing protein 1
  • FLJ11767

Limitations

This product is for research use only and is not approved for use in humans or in clinical diagnosis. Primary Antibodies are guaranteed for 1 year from date of receipt.

Publications for EFCAB1 Antibody (NBP1-82313) (0)

There are no publications for EFCAB1 Antibody (NBP1-82313).
By submitting your publication information earn gift cards and discounts for future purchases.

Reviews for EFCAB1 Antibody (NBP1-82313) (0)

There are no reviews for EFCAB1 Antibody (NBP1-82313). By submitting a review you will receive an Amazon e-Gift Card or Novus Product Discount.
  • Review with no image -- $10/€7/£6/$10 CAD/¥70 Yuan/¥1110 Yen
  • Review with an image -- $25/€18/£15/$25 CAD/¥150 Yuan/¥2500 Yen

Product General Protocols

Find general support by application which include: protocols, troubleshooting, illustrated assays, videos and webinars.

Video Protocols

WB Video Protocol

FAQs for EFCAB1 Antibody (NBP1-82313) (0)

There are no specific FAQs related to this product. Read our general customer & technical service FAQs.

Customers Who Bought This Also Bought

Contact Information

Product PDFs

Calculators

Concentration Calculator

The concentration calculator allows you to quickly calculate the volume, mass or concentration of your vial. Simply enter your mass, volume, or concentration values for your reagent and the calculator will determine the rest.

=
÷

Review this Product

Be the first to review our EFCAB1 Antibody - BSA Free and receive a gift card or discount.

Bioinformatics

Gene Symbol EFCAB1