ECHDC3 Antibody - BSA Free

Images

 
Immunocytochemistry/ Immunofluorescence: ECHDC3 Antibody [NBP1-82159] - Staining of human cell line A-431 shows positivity in nucleus, nucleoli and mitochondria. Antibody stainng is shown in green.
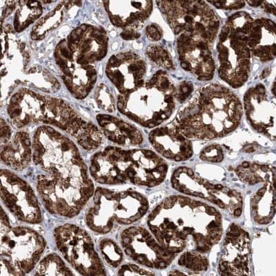
Orthogonal Strategies: Immunohistochemistry-Paraffin: ECHDC3 Antibody [NBP1-82159] - Staining in human kidney and cerebral cortex tissues using anti-ECHDC3 antibody. Corresponding ECHDC3 RNA-seq data are ...read more
Immunohistochemistry-Paraffin: ECHDC3 Antibody [NBP1-82159] - Staining of human cerebral cortex shows low expression as expected.
Immunohistochemistry-Paraffin: ECHDC3 Antibody [NBP1-82159] - Staining of human kidney shows high expression.

Product Details

Summary
Reactivity HuSpecies Glossary
Applications ICC/IF, IHC
Clonality
Polyclonal
Host
Rabbit
Conjugate
Unconjugated
Format
BSA Free
Validated by:
       

Orthogonal Strategies

 

Order Details

View Available Formulations
Catalog# & Formulation Size Price

ECHDC3 Antibody - BSA Free Summary

Description
Novus Biologicals Rabbit ECHDC3 Antibody - BSA Free (NBP1-82159) is a polyclonal antibody validated for use in IHC and ICC/IF. Anti-ECHDC3 Antibody: Cited in 1 publication. All Novus Biologicals antibodies are covered by our 100% guarantee.
Immunogen
This antibody was developed against Recombinant Protein corresponding to amino acids: FTGEPISAQEALLHGLLSKVVPEAELQEETMRIARKIASLSRPVVSLGKATFYKQLPQDLGTAYYLTSQAMVDNLALRDGQEGITAFLQKRKPVWSH
Isotype
IgG
Clonality
Polyclonal
Host
Rabbit
Gene
ECHDC3
Purity
Immunogen affinity purified
Innovator's Reward
Test in a species/application not listed above to receive a full credit towards a future purchase.

Applications/Dilutions

Dilutions
  • Immunocytochemistry/ Immunofluorescence 0.25-2 ug/ml
  • Immunohistochemistry 1:200 - 1:500
  • Immunohistochemistry-Paraffin 1:200 - 1:500
Application Notes
For IHC-Paraffin, HIER pH 6 retrieval is recommended. ICC/IF Fixation Permeabilization: Use PFA/Triton X-100.
Control Peptide
ECHDC3 Protein (NBP1-82159PEP)
Publications
Read Publication using NBP1-82159.

Reactivity Notes

Immunogen displays the following percentage of sequence identity for non-tested species: Mouse (82%), Rat (81%).

Packaging, Storage & Formulations

Storage
Store at 4C short term. Aliquot and store at -20C long term. Avoid freeze-thaw cycles.
Buffer
PBS (pH 7.2) and 40% Glycerol
Preservative
0.02% Sodium Azide
Purity
Immunogen affinity purified

Alternate Names for ECHDC3 Antibody - BSA Free

  • enoyl CoA hydratase domain containing 3
  • enoyl Coenzyme A hydratase domain containing 3
  • FLJ20909
  • mitochondrial

Limitations

This product is for research use only and is not approved for use in humans or in clinical diagnosis. Primary Antibodies are guaranteed for 1 year from date of receipt.

Publications for ECHDC3 Antibody (NBP1-82159)(1)

Reviews for ECHDC3 Antibody (NBP1-82159) (0)

There are no reviews for ECHDC3 Antibody (NBP1-82159). By submitting a review you will receive an Amazon e-Gift Card or Novus Product Discount.
  • Review with no image -- $10/€7/£6/$10 CAD/¥70 Yuan/¥1110 Yen
  • Review with an image -- $25/€18/£15/$25 CAD/¥150 Yuan/¥2500 Yen

Product General Protocols

Find general support by application which include: protocols, troubleshooting, illustrated assays, videos and webinars.

Video Protocols

ICC/IF Video Protocol

FAQs for ECHDC3 Antibody (NBP1-82159) (0)

There are no specific FAQs related to this product. Read our general customer & technical service FAQs.

Customers Who Bought This Also Bought

Contact Information

Product PDFs

Calculators

Concentration Calculator

The concentration calculator allows you to quickly calculate the volume, mass or concentration of your vial. Simply enter your mass, volume, or concentration values for your reagent and the calculator will determine the rest.

=
÷

Review this Product

Be the first to review our ECHDC3 Antibody - BSA Free and receive a gift card or discount.

Bioinformatics

Gene Symbol ECHDC3