CFAP54 Antibody - BSA Free

Images

 
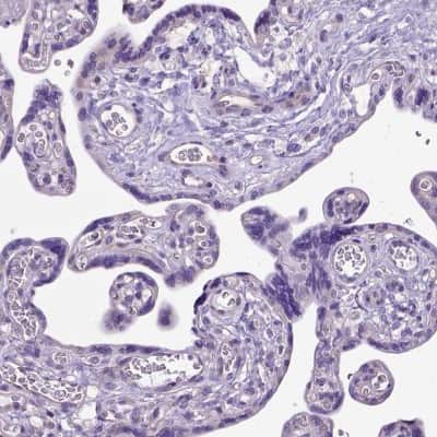
Orthogonal Strategies: Immunohistochemistry-Paraffin: CFAP54 Antibody [NBP1-90737] - Staining in human fallopian tube and placenta tissues using anti-CFAP54 antibody. Corresponding CFAP54 RNA-seq data are ...read more
Immunocytochemistry/ Immunofluorescence: CFAP54 Antibody [NBP1-90737] - Staining of human cell line U-2 OS shows localization to cytosol & microtubules.
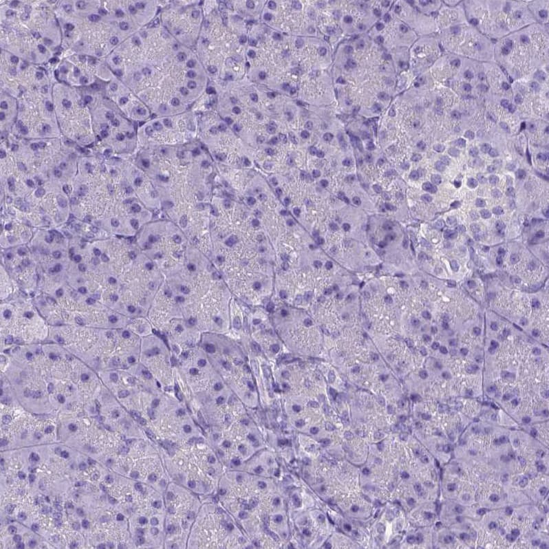
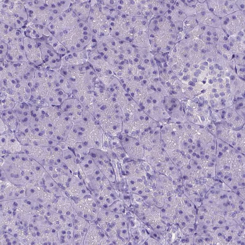
Immunohistochemistry-Paraffin: CFAP54 Antibody [NBP1-90737] - Staining of human pancreas shows no positivity in exocrine glandular cells as expected.
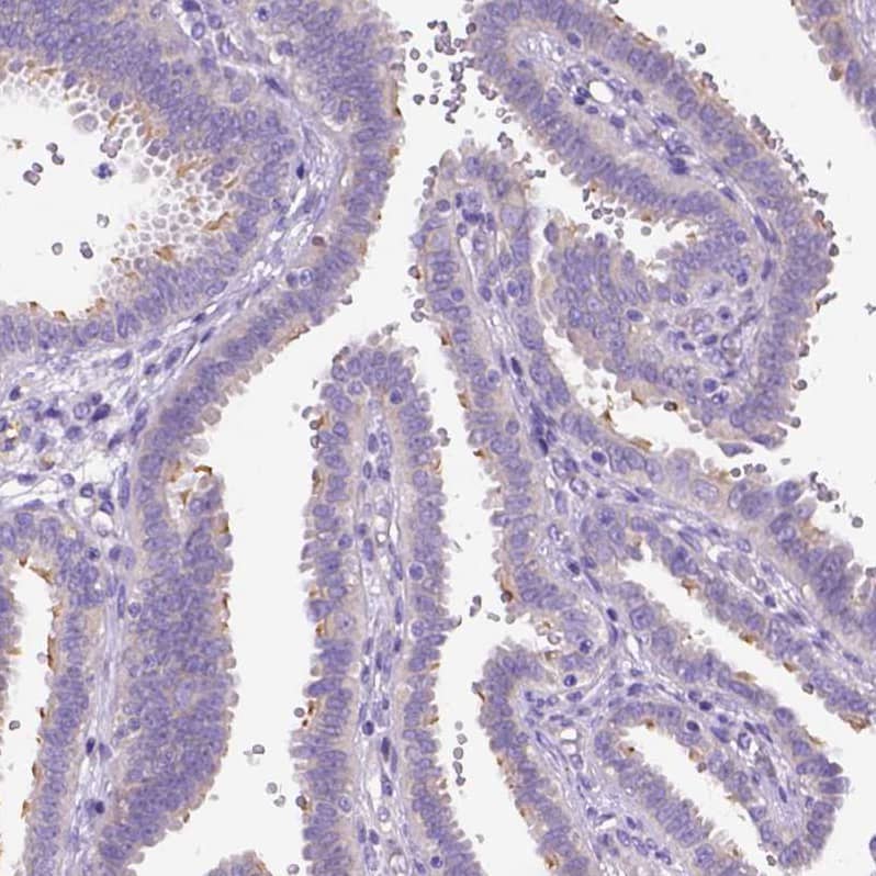
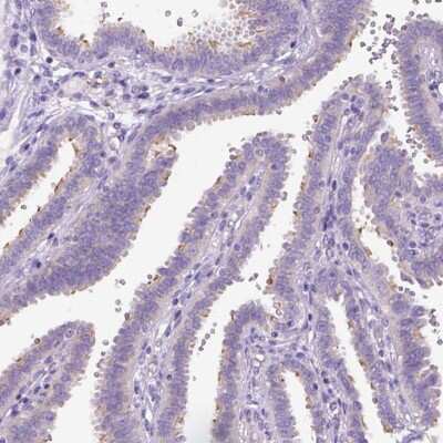
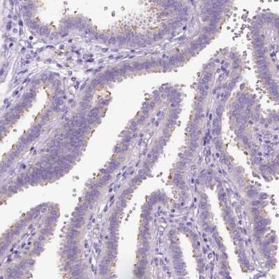
Immunohistochemistry-Paraffin: CFAP54 Antibody [NBP1-90737] - Staining of human fallopian tube shows moderate positivity in cilia of glandular cells.
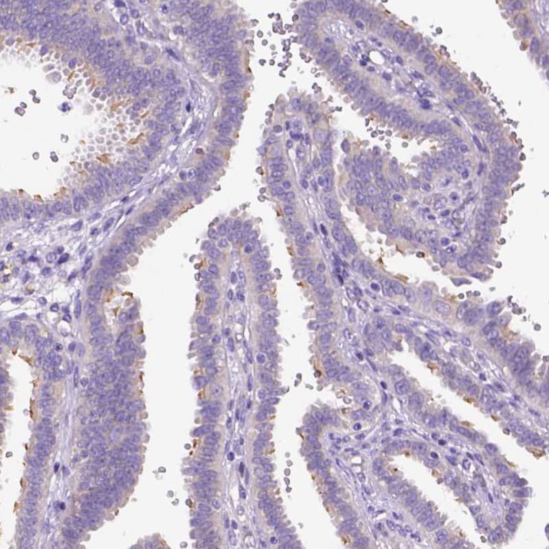
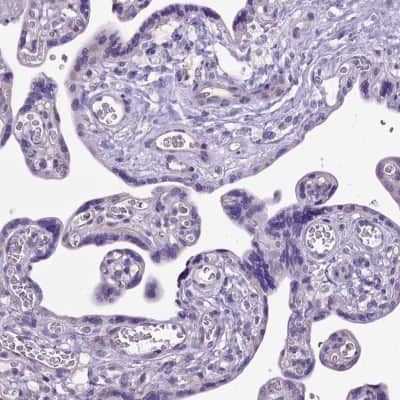
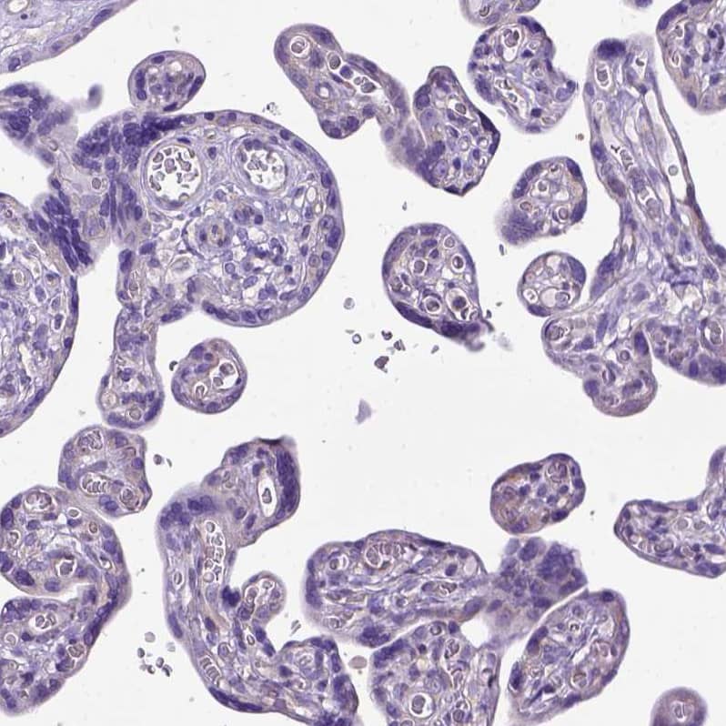
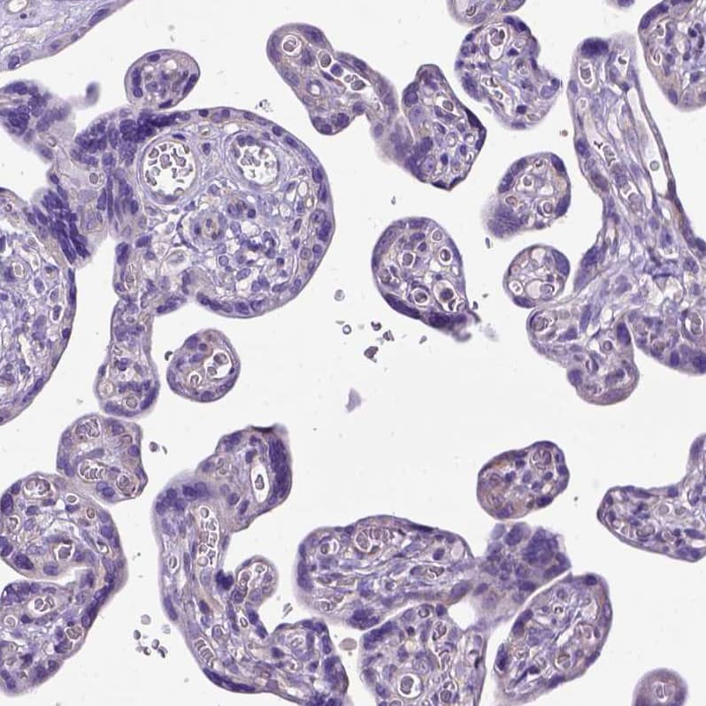
Immunohistochemistry-Paraffin: CFAP54 Antibody [NBP1-90737] - Staining of human placenta shows low expression as expected.
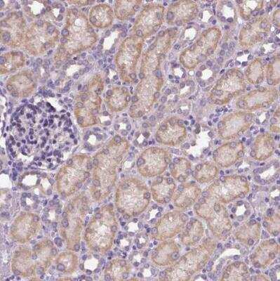
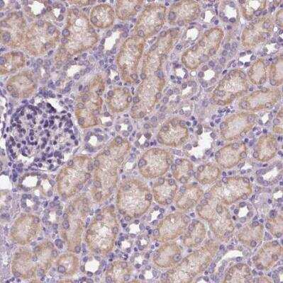
Immunohistochemistry-Paraffin: CFAP54 Antibody [NBP1-90737] - Staining of human kidney shows moderate cytoplasmic positivity in cells in tubules.
Staining of human kidney shows moderate cytoplasmic positivity in cells in tubules.
Staining of human pancreas shows no positivity in exocrine glandular cells as expected.
Staining of human placenta shows no positivity in trophoblastic cells as expected.
Orthogonal Strategies: Analysis in human fallopian tube and placenta tissues using NBP1-90737 antibody. Corresponding CFAP54 RNA-seq data are presented for the same tissues.
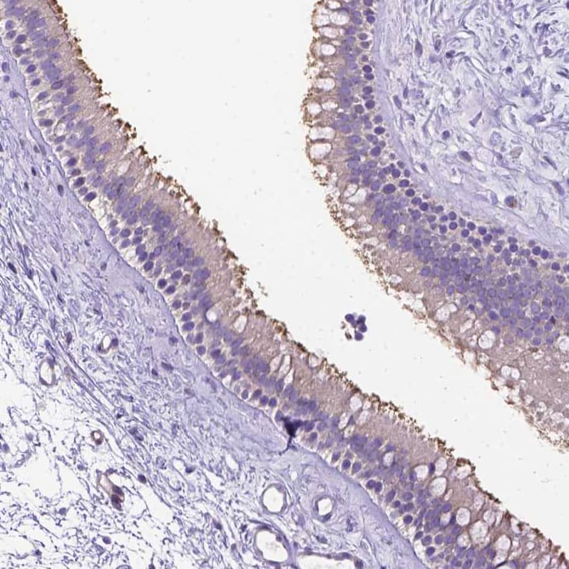
Staining of human nasopharynx shows strong positivity in cilia in glandular cells.
Staining of human fallopian tube shows moderate positivity in cilia in glandular cells.

Product Details

Summary
Reactivity HuSpecies Glossary
Applications ICC/IF, IHC
Clonality
Polyclonal
Host
Rabbit
Conjugate
Unconjugated
Format
BSA Free
Validated by:
       

Orthogonal Strategies

 

Order Details

View Available Formulations
Catalog# & Formulation Size Price

CFAP54 Antibody - BSA Free Summary

Description
Novus Biologicals Rabbit CFAP54 Antibody - BSA Free (NBP1-90737) is a polyclonal antibody validated for use in IHC and ICC/IF. All Novus Biologicals antibodies are covered by our 100% guarantee.
Immunogen
This antibody was developed against Recombinant Protein corresponding to amino acids: CQMKEYKLALLQCYGRYLQQFNTNFDENKVDVTQFKATFFPKGFKDKTAGLTFHALSGKNMCNYQLVCDSDENLKNKESVVQCLHILSSLRLIMQVA
Isotype
IgG
Clonality
Polyclonal
Host
Rabbit
Gene
C12ORF55
Purity
Affinity purified
Innovator's Reward
Test in a species/application not listed above to receive a full credit towards a future purchase.

Applications/Dilutions

Dilutions
  • Immunocytochemistry/ Immunofluorescence 0.25-2 ug/ml
  • Immunohistochemistry 1:200 - 1:500
  • Immunohistochemistry-Paraffin 1:200 - 1:500
Application Notes
For IHC-Paraffin, HIER pH 6 retrieval is recommended. ICC/IF, Fixation Permeabilization: Use PFA/Triton X-100.
Control Peptide
CFAP54 Recombinant Protein Antigen (NBP1-90737PEP)

Packaging, Storage & Formulations

Storage
Store at 4C short term. Aliquot and store at -20C long term. Avoid freeze-thaw cycles.
Buffer
PBS (pH 7.2) and 40% Glycerol
Preservative
0.02% Sodium Azide
Purity
Affinity purified

Alternate Names for CFAP54 Antibody - BSA Free

  • chromosome 12 open reading frame 55
  • FLJ31514
  • FLJ34470

Limitations

This product is for research use only and is not approved for use in humans or in clinical diagnosis. Primary Antibodies are guaranteed for 1 year from date of receipt.

Publications for CFAP54 Antibody (NBP1-90737) (0)

There are no publications for CFAP54 Antibody (NBP1-90737).
By submitting your publication information earn gift cards and discounts for future purchases.

Reviews for CFAP54 Antibody (NBP1-90737) (0)

There are no reviews for CFAP54 Antibody (NBP1-90737). By submitting a review you will receive an Amazon e-Gift Card or Novus Product Discount.
  • Review with no image -- $10/€7/£6/$10 CAD/¥70 Yuan/¥1110 Yen
  • Review with an image -- $25/€18/£15/$25 CAD/¥150 Yuan/¥2500 Yen

Product General Protocols

Find general support by application which include: protocols, troubleshooting, illustrated assays, videos and webinars.

Video Protocols

ICC/IF Video Protocol

FAQs for CFAP54 Antibody (NBP1-90737) (0)

There are no specific FAQs related to this product. Read our general customer & technical service FAQs.

Customers Who Bought This Also Bought

Contact Information

Product PDFs

Calculators

Concentration Calculator

The concentration calculator allows you to quickly calculate the volume, mass or concentration of your vial. Simply enter your mass, volume, or concentration values for your reagent and the calculator will determine the rest.

=
÷

Review this Product

Be the first to review our CFAP54 Antibody - BSA Free and receive a gift card or discount.

Bioinformatics

Gene Symbol C12ORF55