CCDC181 Antibody - BSA Free

Images

 
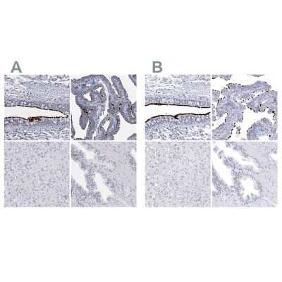
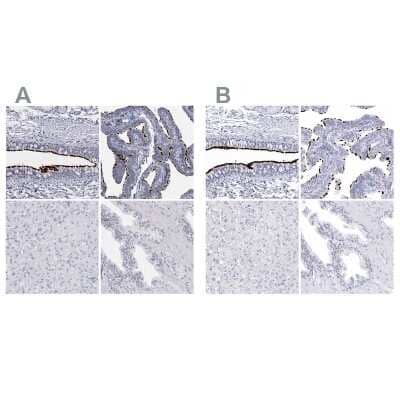
Independent Antibodies: Immunohistochemistry-Paraffin: CCDC181 Antibody [NBP1-93901] - Staining of human bronchus, fallopian tube, liver and prostate using Anti-CCDC181 antibody NBP1-93901 (A) shows similar ...read more
Western Blot: CCDC181 Antibody [NBP1-93901] - Lane 1: NIH-3T3 cell lysate (Mouse embryonic fibroblast cells). Lane 2: NBT-II cell lysate (Rat Wistar bladder tumor cells).
Immunohistochemistry-Paraffin: CCDC181 Antibody [NBP1-93901] - Staining of human bronchus shows strong positivity in respiratory epithelial cells.
Immunohistochemistry-Paraffin: CCDC181 Antibody [NBP1-93901] - Staining of human Fallopian tube shows strong positivity in cilia in glandular cells.
Immunohistochemistry-Paraffin: CCDC181 Antibody [NBP1-93901] - Staining of human liver shows no positivity in hepatocytes as expected.
Immunohistochemistry-Paraffin: CCDC181 Antibody [NBP1-93901] - Staining of human prostate shows no positivity in glandular cells as expected.
Orthogonal Strategies: Analysis in human fallopian tube and prostate tissues using NBP1-93901 antibody. Corresponding CCDC181 RNA-seq data are presented for the same tissues.
Lane 1: NIH-3T3 cell lysate (Mouse embryonic fibroblast cells)Lane 2: NBT-II cell lysate (Rat Wistar bladder tumour cells)
Lane 1: Marker [kDa] 230, 130, 95, 72, 56, 36, 28, 17, 11Lane 2: Human cell line RT-4Lane 3: Human cell line U-251MG sp

Product Details

Summary
Reactivity Hu, MuSpecies Glossary
Applications WB, IHC
Clonality
Polyclonal
Host
Rabbit
Conjugate
Unconjugated
Format
BSA Free

Order Details

View Available Formulations
Catalog# & Formulation Size Price

CCDC181 Antibody - BSA Free Summary

Description
Novus Biologicals Rabbit CCDC181 Antibody - BSA Free (NBP1-93901) is a polyclonal antibody validated for use in IHC and WB. Anti-CCDC181 Antibody: Cited in 1 publication. All Novus Biologicals antibodies are covered by our 100% guarantee.
Immunogen
This antibody was developed against Recombinant Protein corresponding to amino acids: KSNHRTQSAHISPVTSTYCLSPRQKELQKQLEEKREKLKREEERRKIEEEKEKKRENDIVFKAWLQKKREQVLEMRRIQRAK
Isotype
IgG
Clonality
Polyclonal
Host
Rabbit
Gene
CCDC181
Purity
Affinity purified
Innovator's Reward
Test in a species/application not listed above to receive a full credit towards a future purchase.

Applications/Dilutions

Dilutions
  • Immunohistochemistry 1:500 - 1:1000
  • Immunohistochemistry-Paraffin 1:500 - 1:1000
  • Western Blot 0.04-0.4 ug/ml
Application Notes
For IHC-Paraffin, HIER pH 6 retrieval is recommended.
Control Peptide
CCDC181 Recombinant Protein Antigen (NBP1-93901PEP)
Publications
Read Publication using NBP1-93901.

Reactivity Notes

Immunogen displays the following percentage of sequence identity for non-tested species: Rat (82%).

Packaging, Storage & Formulations

Storage
Store at 4C short term. Aliquot and store at -20C long term. Avoid freeze-thaw cycles.
Buffer
PBS (pH 7.2) and 40% Glycerol
Preservative
0.02% Sodium Azide
Purity
Affinity purified

Alternate Names for CCDC181 Antibody - BSA Free

  • C1orf114
  • chromosome 1 open reading frame 114
  • RP1-206D15.2

Limitations

This product is for research use only and is not approved for use in humans or in clinical diagnosis. Primary Antibodies are guaranteed for 1 year from date of receipt.

Publications for CCDC181 Antibody (NBP1-93901)(1)

Reviews for CCDC181 Antibody (NBP1-93901) (0)

There are no reviews for CCDC181 Antibody (NBP1-93901). By submitting a review you will receive an Amazon e-Gift Card or Novus Product Discount.
  • Review with no image -- $10/€7/£6/$10 CAD/¥70 Yuan/¥1110 Yen
  • Review with an image -- $25/€18/£15/$25 CAD/¥150 Yuan/¥2500 Yen

Product General Protocols

Find general support by application which include: protocols, troubleshooting, illustrated assays, videos and webinars.

Video Protocols

WB Video Protocol

FAQs for CCDC181 Antibody (NBP1-93901) (0)

There are no specific FAQs related to this product. Read our general customer & technical service FAQs.

Customers Who Bought This Also Bought

Contact Information

Product PDFs

Calculators

Concentration Calculator

The concentration calculator allows you to quickly calculate the volume, mass or concentration of your vial. Simply enter your mass, volume, or concentration values for your reagent and the calculator will determine the rest.

=
÷

Review this Product

Be the first to review our CCDC181 Antibody - BSA Free and receive a gift card or discount.

Bioinformatics

Gene Symbol CCDC181