CCDC173 Antibody - BSA Free

Images

 
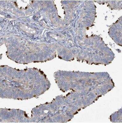
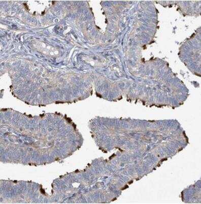
Immunohistochemistry: C2orf77 Antibody [NBP2-30912] - Staining of human fallopian tube shows distinct positivity in cilia.

Product Details

Summary
Reactivity HuSpecies Glossary
Applications IHC
Clonality
Polyclonal
Host
Rabbit
Conjugate
Unconjugated
Format
BSA Free

Order Details

View Available Formulations
Catalog# & Formulation Size Price

CCDC173 Antibody - BSA Free Summary

Description
Novus Biologicals Rabbit CCDC173 Antibody - BSA Free (NBP2-30912) is a polyclonal antibody validated for use in IHC. All Novus Biologicals antibodies are covered by our 100% guarantee.
Immunogen
This antibody was developed against a recombinant protein corresponding to amino acids: MLVRFGRRCGRAKESTEIRNSEEDQVLYLPLLPSKVDLQQVTIIPHDEWKRIQDSLDRLTREAACLRAERKAKKEMHLRSQEVVKHWTNTYAGMKEQTLEAK
Isotype
IgG
Clonality
Polyclonal
Host
Rabbit
Gene
CCDC173
Purity
Immunogen affinity purified
Innovator's Reward
Test in a species/application not listed above to receive a full credit towards a future purchase.

Applications/Dilutions

Dilutions
  • Immunohistochemistry 1:50 - 1:200
  • Immunohistochemistry-Paraffin 1:50 - 1:200
Application Notes
For IHC-Paraffin, HIER pH 6 retrieval is recommended.
Control Peptide
CCDC173 Recombinant Protein Antigen (NBP2-30912PEP)

Packaging, Storage & Formulations

Storage
Store at 4C short term. Aliquot and store at -20C long term. Avoid freeze-thaw cycles.
Buffer
PBS (pH 7.2) and 40% Glycerol
Preservative
0.02% Sodium Azide
Purity
Immunogen affinity purified

Alternate Names for CCDC173 Antibody - BSA Free

  • C2orf77
  • CCDC173
  • Chromosome 2 Open Reading Frame 77
  • Coiled-Coil Domain Containing 173
  • Coiled-Coil Domain-Containing Protein 173
  • Hypothetical LOC129881

Limitations

This product is for research use only and is not approved for use in humans or in clinical diagnosis. Primary Antibodies are guaranteed for 1 year from date of receipt.

Publications for CCDC173 Antibody (NBP2-30912) (0)

There are no publications for CCDC173 Antibody (NBP2-30912).
By submitting your publication information earn gift cards and discounts for future purchases.

Reviews for CCDC173 Antibody (NBP2-30912) (0)

There are no reviews for CCDC173 Antibody (NBP2-30912). By submitting a review you will receive an Amazon e-Gift Card or Novus Product Discount.
  • Review with no image -- $10/€7/£6/$10 CAD/¥70 Yuan/¥1110 Yen
  • Review with an image -- $25/€18/£15/$25 CAD/¥150 Yuan/¥2500 Yen

Product General Protocols

Find general support by application which include: protocols, troubleshooting, illustrated assays, videos and webinars.

FAQs for CCDC173 Antibody (NBP2-30912) (0)

There are no specific FAQs related to this product. Read our general customer & technical service FAQs.

Customers Who Bought This Also Bought

Contact Information

Product PDFs

Calculators

Concentration Calculator

The concentration calculator allows you to quickly calculate the volume, mass or concentration of your vial. Simply enter your mass, volume, or concentration values for your reagent and the calculator will determine the rest.

=
÷

Review this Product

Be the first to review our CCDC173 Antibody - BSA Free and receive a gift card or discount.

Bioinformatics

Gene Symbol CCDC173
Uniprot