CCDC114 Antibody - BSA Free

Images

 
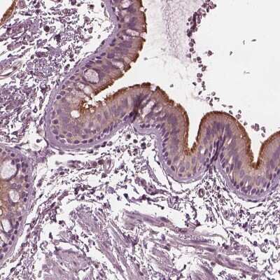
Immunohistochemistry-Paraffin: CCDC114 Antibody [NBP1-93863] - Staining of human fallopian tube shows strong positivity in cilia in glandular cells.
Immunohistochemistry-Paraffin: CCDC114 Antibody [NBP1-93863] - Staining of human bronchus shows strong positivity in cilia in respiratory epithelial cells.
Immunohistochemistry-Paraffin: CCDC114 Antibody [NBP1-93863] - Staining of human cerebral cortex shows no positivity in neurons as expected.
The ODAD1 mutation (c.71-2A > C; c.598-2A > C) led to the absence of wild-type ODAD1 and the defects of the outer dynein arm in ciliary axonemes and caused a decrease in ciliary beat frequency. (A) Diagram of ODAD1 ...read more

Product Details

Summary
Reactivity Hu, MuSpecies Glossary
Applications WB, ICC/IF, IHC, IP
Clonality
Polyclonal
Host
Rabbit
Conjugate
Unconjugated
Format
BSA Free

Order Details

View Available Formulations
Catalog# & Formulation Size Price

CCDC114 Antibody - BSA Free Summary

Description
Novus Biologicals Rabbit CCDC114 Antibody - BSA Free (NBP1-93863) is a polyclonal antibody validated for use in IHC, WB, ICC/IF and IP. Anti-CCDC114 Antibody: Cited in 3 publications. All Novus Biologicals antibodies are covered by our 100% guarantee.
Immunogen
This antibody was developed against Recombinant Protein corresponding to amino acids: SKDDQHLLQEQQQKVLQQRMDKVHSEAERLEARFQDVRGQLEKLKADIQLLFTKAHCDSSMIDDLLGVKTSMGDRDMGLFLSLIEKRLVE
Isotype
IgG
Clonality
Polyclonal
Host
Rabbit
Gene
ODAD1
Purity
Affinity purified
Innovator's Reward
Test in a species/application not listed above to receive a full credit towards a future purchase.

Applications/Dilutions

Dilutions
  • Immunocytochemistry/ Immunofluorescence Reactivity reported in (PMID: 25192045)
  • Immunohistochemistry 1:5000 - 1:10000
  • Immunohistochemistry-Paraffin 1:5000 - 1:10000
  • Immunoprecipitation Reactivity reported in (PMID: 25192045)
  • Western Blot Reactivity reported in (PMID: 25192045)
Application Notes
For IHC-Paraffin, HIER pH 6 retrieval is recommended.
Control Peptide
CCDC114 Protein (NBP1-93863PEP)
Publications
Read Publications using
NBP1-93863 in the following applications:

  • 1 publication
  • IP
    1 publication
  • WB
    1 publication

Reactivity Notes

Mouse reactivity reported in (PMID: 25192045).

Packaging, Storage & Formulations

Storage
Store at 4C short term. Aliquot and store at -20C long term. Avoid freeze-thaw cycles.
Buffer
PBS (pH 7.2) and 40% Glycerol
Preservative
0.02% Sodium Azide
Purity
Affinity purified

Alternate Names for CCDC114 Antibody - BSA Free

  • coiled-coil domain containing 114
  • FLJ32926

Limitations

This product is for research use only and is not approved for use in humans or in clinical diagnosis. Primary Antibodies are guaranteed for 1 year from date of receipt.

Publications for CCDC114 Antibody (NBP1-93863)(3)

Reviews for CCDC114 Antibody (NBP1-93863) (0)

There are no reviews for CCDC114 Antibody (NBP1-93863). By submitting a review you will receive an Amazon e-Gift Card or Novus Product Discount.
  • Review with no image -- $10/€7/£6/$10 CAD/¥70 Yuan/¥1110 Yen
  • Review with an image -- $25/€18/£15/$25 CAD/¥150 Yuan/¥2500 Yen

Product General Protocols

Find general support by application which include: protocols, troubleshooting, illustrated assays, videos and webinars.

Video Protocols

WB Video Protocol
ICC/IF Video Protocol

FAQs for CCDC114 Antibody (NBP1-93863) (0)

There are no specific FAQs related to this product. Read our general customer & technical service FAQs.

Customers Who Bought This Also Bought

Contact Information

Product PDFs

Calculators

Concentration Calculator

The concentration calculator allows you to quickly calculate the volume, mass or concentration of your vial. Simply enter your mass, volume, or concentration values for your reagent and the calculator will determine the rest.

=
÷

Review this Product

Be the first to review our CCDC114 Antibody - BSA Free and receive a gift card or discount.

Bioinformatics

Gene Symbol ODAD1