C5orf51 Antibody - BSA Free

Images

 
Immunocytochemistry/ Immunofluorescence: C5orf51 Antibody [NBP2-32025] - Staining of human cell line A-431 shows localization to nucleoplasm & cytosol.
Immunohistochemistry-Paraffin: C5orf51 Antibody [NBP2-32025] - Positive staining can be observed in the cytoplasm in the mouse liver at 5 days of age. Image submitted by a verified customer review.
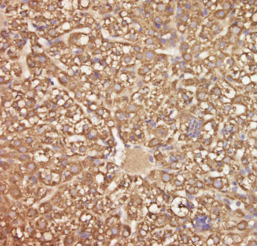
Immunohistochemistry-Paraffin: C5orf51 Antibody [NBP2-32025] - Staining of human liver shows strong cytoplasmic positivity (granular pattern) in hepatocytes.

Product Details

Summary
Reactivity Hu, MuSpecies Glossary
Applications ICC/IF, IHC
Clonality
Polyclonal
Host
Rabbit
Conjugate
Unconjugated
Format
BSA Free

Order Details

View Available Formulations
Catalog# & Formulation Size Price

C5orf51 Antibody - BSA Free Summary

Description
Novus Biologicals Rabbit C5orf51 Antibody - BSA Free (NBP2-32025) is a polyclonal antibody validated for use in IHC and ICC/IF. All Novus Biologicals antibodies are covered by our 100% guarantee.
Immunogen
This antibody was developed against a recombinant protein corresponding to amino acids: IFSDIHLLAMMYSGEMCYWGSKYCADQQPENHEVDTSVSGAGCTTYKEPLDFREVGEKILKKYVSVCEGPLKEQEWNTTNAKQILNFFHHRCN
Isotype
IgG
Clonality
Polyclonal
Host
Rabbit
Gene
C5ORF51
Purity
Immunogen affinity purified
Innovator's Reward
Test in a species/application not listed above to receive a full credit towards a future purchase.

Applications/Dilutions

Dilutions
  • Immunocytochemistry/ Immunofluorescence 0.25-2 ug/ml
  • Immunohistochemistry 1:50 - 1:200
  • Immunohistochemistry-Paraffin 1:50 - 1:200
Application Notes
For IHC-Paraffin, HIER pH 6 retrieval is recommended. ICC/IF Fixation Permeabilization: Use PFA/Triton X-100. C5orf51 antibody validated for IHC-P from a verified customer review.
Control Peptide
C5orf51 Protein (NBP2-32025PEP)
Reviewed Applications
Read 1 Review rated 5
using
NBP2-32025 in the following applications:

Reactivity Notes

Reactivity reported in mouse liver by a verified customer review.

Packaging, Storage & Formulations

Storage
Store at 4C short term. Aliquot and store at -20C long term. Avoid freeze-thaw cycles.
Buffer
PBS (pH 7.2) and 40% Glycerol
Preservative
0.02% Sodium Azide
Purity
Immunogen affinity purified

Alternate Names for C5orf51 Antibody - BSA Free

  • chromosome 5 open reading frame 51
  • hypothetical protein LOC285636
  • LOC285636
  • UPF0600 protein

Limitations

This product is for research use only and is not approved for use in humans or in clinical diagnosis. Primary Antibodies are guaranteed for 1 year from date of receipt.

Publications for C5orf51 Antibody (NBP2-32025) (0)

There are no publications for C5orf51 Antibody (NBP2-32025).
By submitting your publication information earn gift cards and discounts for future purchases.

Review for C5orf51 Antibody (NBP2-32025) (1) 51

Average Rating: 5
(Based on 1 review)
We have 1 review tested in 1 species: Mouse.

Reviews using NBP2-32025:
Filter by Applications
 IHC-P
(1)
All Applications
Filter by Species
Mouse
(1)
All Species
Images Ratings Applications Species Date Details
Immunohistochemistry-Paraffin C5orf51 NBP2-32025
Enlarge
5
reviewed by:
Verified Customer
 IHC-P Mouse 09/22/2017
View

Summary

ApplicationImmunohistochemistry-Paraffin
Sample TestedLiver
SpeciesMouse
LotlotR00318

Product General Protocols

Find general support by application which include: protocols, troubleshooting, illustrated assays, videos and webinars.

Video Protocols

ICC/IF Video Protocol

FAQs for C5orf51 Antibody (NBP2-32025) (0)

There are no specific FAQs related to this product. Read our general customer & technical service FAQs.

Customers Who Bought This Also Bought

Contact Information

Product PDFs

Calculators

Concentration Calculator

The concentration calculator allows you to quickly calculate the volume, mass or concentration of your vial. Simply enter your mass, volume, or concentration values for your reagent and the calculator will determine the rest.

=
÷

Recent Reviews

5
5
1
4
0
3
0
2
0
1
0

Verified Customer
09/22/2017
Application:  IHC-P
Species: Mouse

Bioinformatics

Gene Symbol C5ORF51
Uniprot