C20orf144 Antibody - BSA Free

Images

 
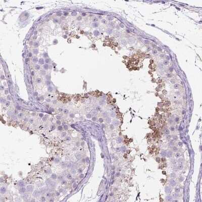
Immunohistochemistry-Paraffin: C20orf144 Antibody [NBP2-14398] - Staining of human testis shows high expression.
Immunohistochemistry: C20orf144 Antibody [NBP2-14398] - Staining of human colon shows strong cytoplasmic and nuclear positivity in glandular cells.
Immunohistochemistry-Paraffin: C20orf144 Antibody [NBP2-14398] - Staining of human endometrium shows low expression as expected.
Orthogonal Strategies: Immunohistochemistry-Paraffin: C20orf144 Antibody [NBP2-14398] - Staining in human testis and endometrium tissues using anti-C20orf144 antibody. Corresponding C20orf144 RNA-seq data are ...read more

Product Details

Summary
Reactivity HuSpecies Glossary
Applications IHC
Clonality
Polyclonal
Host
Rabbit
Conjugate
Unconjugated
Format
BSA Free
Validated by:
       

Orthogonal Strategies

 

Order Details

View Available Formulations
Catalog# & Formulation Size Price

C20orf144 Antibody - BSA Free Summary

Description
Novus Biologicals Rabbit C20orf144 Antibody - BSA Free (NBP2-14398) is a polyclonal antibody validated for use in IHC. All Novus Biologicals antibodies are covered by our 100% guarantee.
Immunogen
This antibody was developed against a recombinant protein corresponding to the amino acids: MGNYSSHKRTKAPKQARKERPADMDKAWWKSFLNHLTRKKPATRIVLILPLDKRQPLANAGQRIDYASGAGLGS
Isotype
IgG
Clonality
Polyclonal
Host
Rabbit
Gene
C20ORF144
Purity
Immunogen affinity purified
Innovator's Reward
Test in a species/application not listed above to receive a full credit towards a future purchase.

Applications/Dilutions

Dilutions
  • Immunohistochemistry 1:500 - 1:1000
  • Immunohistochemistry-Paraffin 1:500 - 1:1000
Application Notes
For IHC-Paraffin, HIER pH 6 retrieval is recommended.
Control Peptide
C20orf144 Protein (NBP2-14398PEP)

Packaging, Storage & Formulations

Storage
Store at 4C short term. Aliquot and store at -20C long term. Avoid freeze-thaw cycles.
Buffer
PBS (pH 7.2) and 40% Glycerol
Preservative
0.02% Sodium Azide
Purity
Immunogen affinity purified

Alternate Names for C20orf144 Antibody - BSA Free

  • chromosome 20 open reading frame 144
  • dJ63M2.6

Limitations

This product is for research use only and is not approved for use in humans or in clinical diagnosis. Primary Antibodies are guaranteed for 1 year from date of receipt.

Publications for C20orf144 Antibody (NBP2-14398) (0)

There are no publications for C20orf144 Antibody (NBP2-14398).
By submitting your publication information earn gift cards and discounts for future purchases.

Reviews for C20orf144 Antibody (NBP2-14398) (0)

There are no reviews for C20orf144 Antibody (NBP2-14398). By submitting a review you will receive an Amazon e-Gift Card or Novus Product Discount.
  • Review with no image -- $10/€7/£6/$10 CAD/¥70 Yuan/¥1110 Yen
  • Review with an image -- $25/€18/£15/$25 CAD/¥150 Yuan/¥2500 Yen

Product General Protocols

Find general support by application which include: protocols, troubleshooting, illustrated assays, videos and webinars.

FAQs for C20orf144 Antibody (NBP2-14398) (0)

There are no specific FAQs related to this product. Read our general customer & technical service FAQs.

Customers Who Bought This Also Bought

Contact Information

Product PDFs

Calculators

Concentration Calculator

The concentration calculator allows you to quickly calculate the volume, mass or concentration of your vial. Simply enter your mass, volume, or concentration values for your reagent and the calculator will determine the rest.

=
÷

Review this Product

Be the first to review our C20orf144 Antibody - BSA Free and receive a gift card or discount.

Bioinformatics

Gene Symbol C20ORF144