C12orf73 Antibody - BSA Free

Images

 
C12orf73-Antibody-Immunocytochemistry-Immunofluorescence-NBP1-90536-img0010.jpg
Immunocytochemistry/ Immunofluorescence: C12orf73 Antibody [NBP1-90536] - Staining of human cell line U-2 OS shows localization to mitochondria & centrosome. Antibody staining is shown in green.
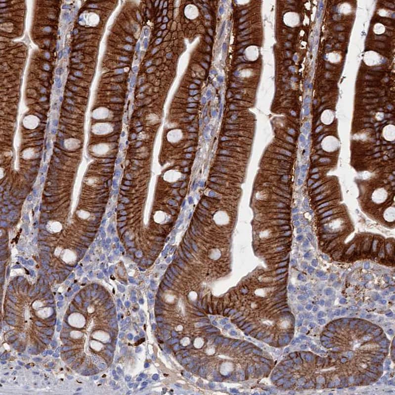
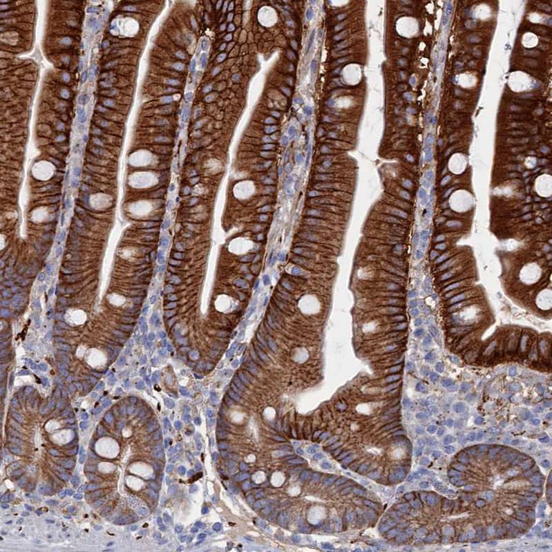
Staining of human gastrointestinal shows moderate to strong cytoplasmic positivity in glandular cells.
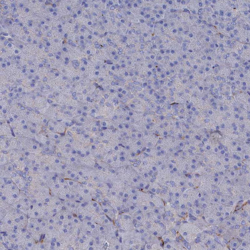
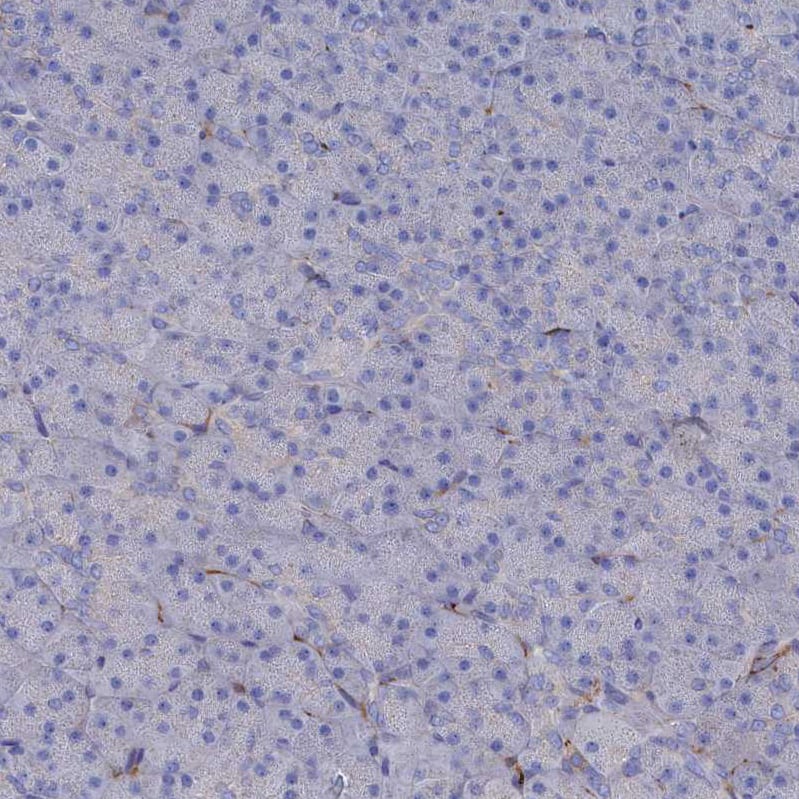
Staining of human pancreas shows no positivity in exocrine glandular cells as expected.
Staining of human cerebral cortex shows strong positivity in neuropil.
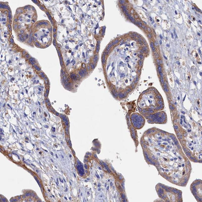
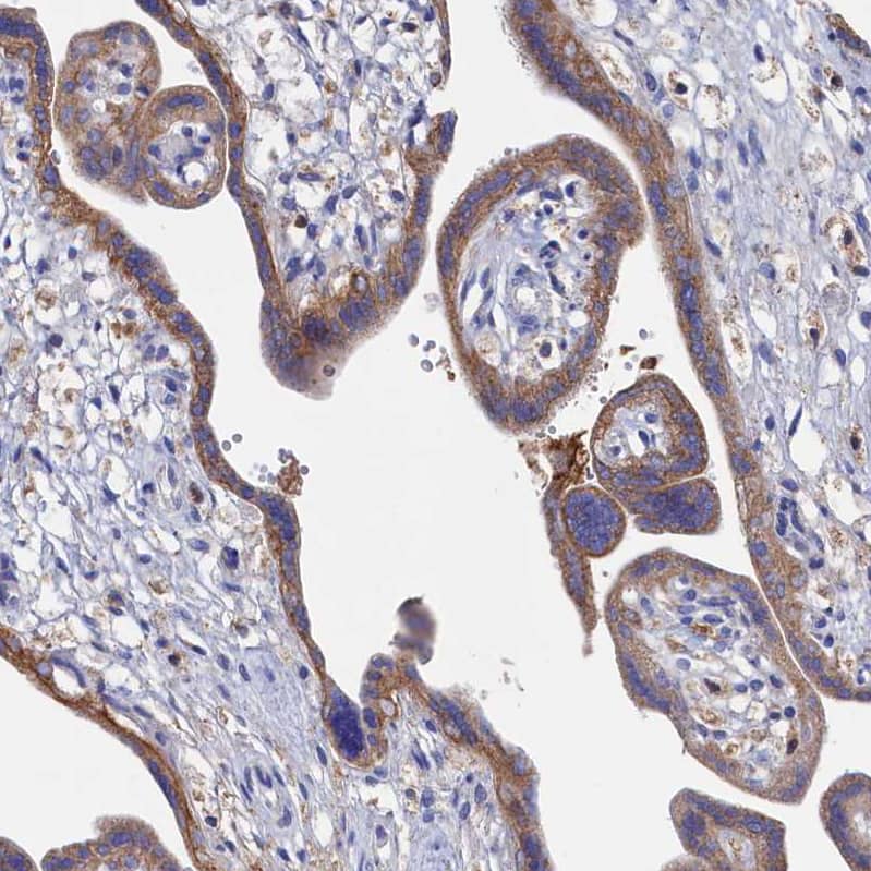
Staining of human placenta shows moderate cytoplasmic positivity in trophoblastic cells.
C12orf73-Antibody-Western-Blot-NBP1-90536-img0014.jpg
C12orf73-Antibody-Western-Blot-NBP1-90536-img0013.jpg
Genetic Strategies: C12orf73-Antibody-Knockdown-Validated-NBP1-90536-img0011.jpg
Genetic Strategies: C12orf73-Antibody-Knockout-Validated-NBP1-90536-img0012.jpg

Product Details

Summary
Reactivity Hu, ZeSpecies Glossary
Applications WB, ICC/IF, IHC, KO, Mycoplasma
Clonality
Polyclonal
Host
Rabbit
Conjugate
Unconjugated
Format
BSA Free
Validated by:
     

Genetic Strategies

   

Order Details

View Available Formulations
Catalog# & Formulation Size Price

C12orf73 Antibody - BSA Free Summary

Description
Novus Biologicals Knockout (KO) Validated Rabbit C12orf73 Antibody - BSA Free (NBP1-90536) is a polyclonal antibody validated for use in IHC, WB and ICC/IF. Anti-C12orf73 Antibody: Cited in 2 publications. All Novus Biologicals antibodies are covered by our 100% guarantee.
Immunogen
This antibody was developed against Recombinant Protein corresponding to amino acids: AEVVHRYYRPDLTIPEIPPKRGELKTELLGLKERKHKPQVSQQEEL
Isotype
IgG
Clonality
Polyclonal
Host
Rabbit
Gene
C12ORF73
Purity
Immunogen affinity purified
Innovator's Reward
Test in a species/application not listed above to receive a full credit towards a future purchase.

Applications/Dilutions

Dilutions
  • Immunocytochemistry/ Immunofluorescence 0.25-2 ug/ml
  • Immunohistochemistry 1:200 - 1:500
  • Immunohistochemistry-Paraffin 1:200-1:500
  • Knockdown Validated
  • Knockout Validated
  • Western Blot Reported in scientific literature (PMID:32161263)
Application Notes
For IHC-Paraffin, HIER pH 6 retrieval is recommended. ICC/IF Fixation Permeabilization: Use PFA/Triton X-100.
Control Peptide
C12orf73 Recombinant Protein Antigen (NBP1-90536PEP)
Publications
Read Publications using
NBP1-90536 in the following applications:

Reactivity Notes

Immunogen displays the following percentage of sequence identity for non-tested species: Mouse (80%). Zebrafish reactivity reported in (PMID: 32161263).

Packaging, Storage & Formulations

Storage
Store at 4C short term. Aliquot and store at -20C long term. Avoid freeze-thaw cycles.
Buffer
PBS (pH 7.2) and 40% Glycerol
Preservative
0.02% Sodium Azide
Purity
Immunogen affinity purified

Alternate Names for C12orf73 Antibody - BSA Free

  • BR
  • BRAWNIN
  • chromosome 12 open reading frame 73
  • FLJ13975
  • protein BRAWNIN
  • uncharacterized protein C12orf73

Limitations

This product is for research use only and is not approved for use in humans or in clinical diagnosis. Primary Antibodies are guaranteed for 1 year from date of receipt.

Publications for C12orf73 Antibody (NBP1-90536)(2)

We have publications tested in 1 confirmed species: Zebrafish.

We have publications tested in 2 applications: ICC/IF, WB.


Filter By Application
ICC/IF
(1)
WB
(1)
All Applications
Filter By Species
Zebrafish
(1)
All Species

Reviews for C12orf73 Antibody (NBP1-90536) (0)

There are no reviews for C12orf73 Antibody (NBP1-90536). By submitting a review you will receive an Amazon e-Gift Card or Novus Product Discount.
  • Review with no image -- $10/€7/£6/$10 CAD/¥70 Yuan/¥1110 Yen
  • Review with an image -- $25/€18/£15/$25 CAD/¥150 Yuan/¥2500 Yen

Product General Protocols

Find general support by application which include: protocols, troubleshooting, illustrated assays, videos and webinars.

Video Protocols

WB Video Protocol
ICC/IF Video Protocol

FAQs for C12orf73 Antibody (NBP1-90536) (0)

There are no specific FAQs related to this product. Read our general customer & technical service FAQs.

Customers Who Bought This Also Bought

Contact Information

Product PDFs

Calculators

Concentration Calculator

The concentration calculator allows you to quickly calculate the volume, mass or concentration of your vial. Simply enter your mass, volume, or concentration values for your reagent and the calculator will determine the rest.

=
÷

Review this Product

Be the first to review our C12orf73 Antibody - BSA Free and receive a gift card or discount.

Bioinformatics

Gene Symbol C12ORF73