ARL17A Antibody - BSA Free

Images

 
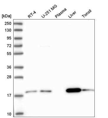
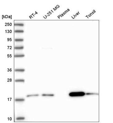
Western Blot: ARL17A Antibody [NBP2-59794] - Analysis in human cell line RT-4, human cell line U-251 MG, human plasma, human liver tissue and human tonsil tissue.
Immunohistochemistry-Paraffin: ARL17A Antibody [NBP2-59794] - Human liver shows strong cytoplasmic and nuclear positivity in hepatocytes.

Product Details

Summary
Reactivity HuSpecies Glossary
Applications WB, IHC
Clonality
Polyclonal
Host
Rabbit
Conjugate
Unconjugated
Format
BSA Free

Order Details

View Available Formulations
Catalog# & Formulation Size Price

ARL17A Antibody - BSA Free Summary

Description
Novus Biologicals Rabbit ARL17A Antibody - BSA Free (NBP2-59794) is a polyclonal antibody validated for use in IHC and WB. All Novus Biologicals antibodies are covered by our 100% guarantee.
Immunogen
This antibody was developed against a recombinant protein corresponding to the amino acid sequence: IRPLWQHFFQNTKGARSPGSTHQGSLASGVLPIKCSHVEFGMWKGGRSH
Isotype
IgG
Clonality
Polyclonal
Host
Rabbit
Gene
ARL17A
Purity
Protein A purified
Innovator's Reward
Test in a species/application not listed above to receive a full credit towards a future purchase.

Applications/Dilutions

Dilutions
  • Immunohistochemistry 1:50 - 1:200
  • Immunohistochemistry-Paraffin 1:50 - 1:200
  • Western Blot 0.04-0.4 ug/ml
Application Notes
For IHC-Paraffin, HIER pH 6 retrieval is recommended.
Control Peptide
ARL17A Recombinant Protein Antigen (NBP2-59794PEP)

Packaging, Storage & Formulations

Storage
Store at 4C short term. Aliquot and store at -20C long term. Avoid freeze-thaw cycles.
Buffer
PBS (pH 7.2) and 40% Glycerol
Preservative
0.02% Sodium Azide
Purity
Protein A purified

Alternate Names for ARL17A Antibody - BSA Free

  • ADP Ribosylation Factor Like GTPase 17A
  • ADP-Ribosylation Factor 1 Pseudogene 2
  • ADP-Ribosylation Factor 7 Variant
  • ADP-Ribosylation Factor 7
  • ADP-Ribosylation Factor Like GTPase 17A
  • ADP-Ribosylation Factor-Like 17 Pseudogene 1
  • ADP-Ribosylation Factor-Like 17-Like
  • ADP-ribosylation factor-like protein 17
  • ARF1P2
  • ARL17A ARL17B
  • ARL17P1

Limitations

This product is for research use only and is not approved for use in humans or in clinical diagnosis. Primary Antibodies are guaranteed for 1 year from date of receipt.

Publications for ARL17A Antibody (NBP2-59794) (0)

There are no publications for ARL17A Antibody (NBP2-59794).
By submitting your publication information earn gift cards and discounts for future purchases.

Reviews for ARL17A Antibody (NBP2-59794) (0)

There are no reviews for ARL17A Antibody (NBP2-59794). By submitting a review you will receive an Amazon e-Gift Card or Novus Product Discount.
  • Review with no image -- $10/€7/£6/$10 CAD/¥70 Yuan/¥1110 Yen
  • Review with an image -- $25/€18/£15/$25 CAD/¥150 Yuan/¥2500 Yen

Product General Protocols

Find general support by application which include: protocols, troubleshooting, illustrated assays, videos and webinars.

Video Protocols

WB Video Protocol

FAQs for ARL17A Antibody (NBP2-59794) (0)

There are no specific FAQs related to this product. Read our general customer & technical service FAQs.

Customers Who Bought This Also Bought

Contact Information

Product PDFs

Calculators

Concentration Calculator

The concentration calculator allows you to quickly calculate the volume, mass or concentration of your vial. Simply enter your mass, volume, or concentration values for your reagent and the calculator will determine the rest.

=
÷

Review this Product

Be the first to review our ARL17A Antibody - BSA Free and receive a gift card or discount.

Bioinformatics

Gene Symbol ARL17A