ANKRD45 Antibody - BSA Free

Images

 
Western Blot: ANKRD45 Antibody [NBP1-85421] - Analysis in control (vector only transfected HEK293T lysate) and ANKRD45 over-expression lysate (Co-expressed with a C-terminal myc-DDK tag (3.1 kDa) in mammalian HEK293T ...read more
Immunohistochemistry-Paraffin: ANKRD45 Antibody [NBP1-85421] - Staining of human liver.
Western Blot: ANKRD45 Antibody [NBP1-85421] - Lane 1: Marker [kDa] 250, 130, 95, 72, 55, 36, 28, 17, 10. Lane 2: Negative control (vector only transfected HEK293T lysate). Lane 3: Over-expression lysate (Co-expressed ...read more
Immunohistochemistry-Paraffin: ANKRD45 Antibody [NBP1-85421] - Staining of human fallopian tube shows high expression.
Immunohistochemistry-Paraffin: ANKRD45 Antibody [NBP1-85421] - Staining of human prostate shows low expression as expected.
Orthogonal Strategies: Immunohistochemistry-Paraffin: ANKRD45 Antibody [NBP1-85421] - Staining in human fallopian tube and prostate tissues using anti-ANKRD45 antibody. Corresponding ANKRD45 RNA-seq data are ...read more
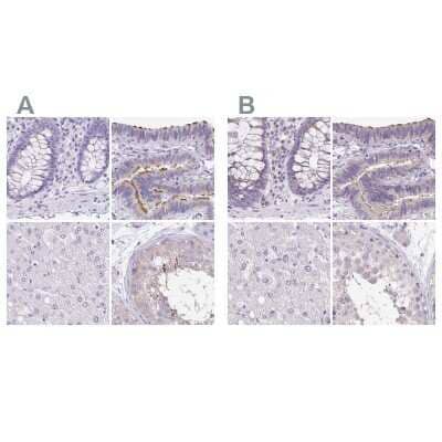
Independent Antibodies: Immunohistochemistry-Paraffin: ANKRD45 Antibody [NBP1-85421] - Staining of human colon, fallopian tube, liver and testis using Anti-ANKRD45 antibody NBP1-85421 (A) shows similar protein ...read more
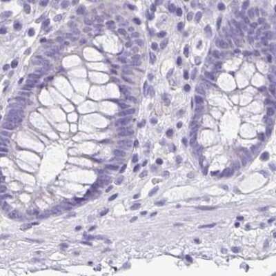
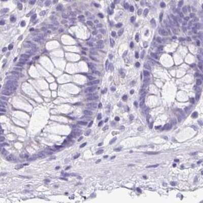
Immunohistochemistry-Paraffin: ANKRD45 Antibody [NBP1-85421] - Staining of human colon.
Immunohistochemistry-Paraffin: ANKRD45 Antibody [NBP1-85421] - Staining of human testis.

Product Details

Summary
Reactivity HuSpecies Glossary
Applications WB, IHC
Clonality
Polyclonal
Host
Rabbit
Conjugate
Unconjugated
Format
BSA Free

Order Details

View Available Formulations
Catalog# & Formulation Size Price

ANKRD45 Antibody - BSA Free Summary

Description
Novus Biologicals Rabbit ANKRD45 Antibody - BSA Free (NBP1-85421) is a polyclonal antibody validated for use in IHC and WB. All Novus Biologicals antibodies are covered by our 100% guarantee.
Immunogen
This antibody was developed against Recombinant Protein corresponding to amino acids: KEDKNTILSACRAKNEWLETHTEASINELFEQRQQLEDIVTPIFTKMTTPCQVKSAKSVTSHDQKRSQDDTSN
Isotype
IgG
Clonality
Polyclonal
Host
Rabbit
Gene
ANKRD45
Purity
Immunogen affinity purified
Innovator's Reward
Test in a species/application not listed above to receive a full credit towards a future purchase.

Applications/Dilutions

Dilutions
  • Immunohistochemistry 1:500 - 1:1000
  • Immunohistochemistry-Paraffin 1:500 - 1:1000
  • Western Blot 0.04-0.4 ug/ml
Application Notes
For IHC-Paraffin, HIER pH 6 retrieval is recommended.
Control Peptide
ANKRD45 Protein (NBP1-85421PEP)

Packaging, Storage & Formulations

Storage
Store at 4C short term. Aliquot and store at -20C long term. Avoid freeze-thaw cycles.
Buffer
PBS (pH 7.2) and 40% Glycerol
Preservative
0.02% Sodium Azide
Purity
Immunogen affinity purified

Alternate Names for ANKRD45 Antibody - BSA Free

  • ankyrin repeat domain 45
  • ankyrin repeat domain-containing protein 45
  • cancer/testis antigen 117
  • CT117
  • FLJ45235
  • MGC161631
  • MGC161633
  • RP3-436N22.4

Limitations

This product is for research use only and is not approved for use in humans or in clinical diagnosis. Primary Antibodies are guaranteed for 1 year from date of receipt.

Publications for ANKRD45 Antibody (NBP1-85421) (0)

There are no publications for ANKRD45 Antibody (NBP1-85421).
By submitting your publication information earn gift cards and discounts for future purchases.

Reviews for ANKRD45 Antibody (NBP1-85421) (0)

There are no reviews for ANKRD45 Antibody (NBP1-85421). By submitting a review you will receive an Amazon e-Gift Card or Novus Product Discount.
  • Review with no image -- $10/€7/£6/$10 CAD/¥70 Yuan/¥1110 Yen
  • Review with an image -- $25/€18/£15/$25 CAD/¥150 Yuan/¥2500 Yen

Product General Protocols

Find general support by application which include: protocols, troubleshooting, illustrated assays, videos and webinars.

Video Protocols

WB Video Protocol

FAQs for ANKRD45 Antibody (NBP1-85421) (0)

There are no specific FAQs related to this product. Read our general customer & technical service FAQs.

Customers Who Bought This Also Bought

Contact Information

Product PDFs

Calculators

Concentration Calculator

The concentration calculator allows you to quickly calculate the volume, mass or concentration of your vial. Simply enter your mass, volume, or concentration values for your reagent and the calculator will determine the rest.

=
÷

Review this Product

Be the first to review our ANKRD45 Antibody - BSA Free and receive a gift card or discount.

Bioinformatics

Gene Symbol ANKRD45
Entrez
Uniprot