ANKRD31 Antibody - BSA Free

Images

 
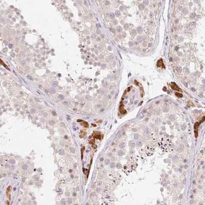
Immunohistochemistry-Paraffin: ANKRD31 Antibody [NBP2-49261] - Staining of human testis shows high expression.
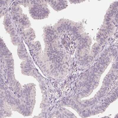
Immunohistochemistry-Paraffin: ANKRD31 Antibody [NBP2-49261] - Staining of human fallopian tube shows low expression as expected.
Orthogonal Strategies: Immunohistochemistry-Paraffin: ANKRD31 Antibody [NBP2-49261] - Staining in human testis and fallopian tube tissues using anti-ANKRD31 antibody. Corresponding ANKRD31 RNA-seq data are ...read more

Product Details

Summary
Reactivity HuSpecies Glossary
Applications IHC
Clonality
Polyclonal
Host
Rabbit
Conjugate
Unconjugated
Format
BSA Free
Validated by:
       

Orthogonal Strategies

 

Order Details

View Available Formulations
Catalog# & Formulation Size Price

ANKRD31 Antibody - BSA Free Summary

Description
Novus Biologicals Rabbit ANKRD31 Antibody - BSA Free (NBP2-49261) is a polyclonal antibody validated for use in IHC. All Novus Biologicals antibodies are covered by our 100% guarantee.
Immunogen
This antibody was developed against a recombinant protein corresponding to amino acids: CLTSAQRSSIDPLDIEDVYQHKKPKFSSKSHIWHVYNENSNRQKLEHVKVNKGSKASLFINKEDVYEYYQKDPKNTKFGKSKHKQSTLDQIYST
Isotype
IgG
Clonality
Polyclonal
Host
Rabbit
Gene
ANKRD31
Purity
Immunogen affinity purified
Innovator's Reward
Test in a species/application not listed above to receive a full credit towards a future purchase.

Applications/Dilutions

Dilutions
  • Immunohistochemistry 1:200 - 1:500
  • Immunohistochemistry-Paraffin 1:200 - 1:500
Application Notes
For IHC-Paraffin, HIER pH 6 retrieval is recommended.
Control Peptide
ANKRD31 Recombinant Protein Antigen (NBP2-49261PEP)

Packaging, Storage & Formulations

Storage
Store at 4C short term. Aliquot and store at -20C long term. Avoid freeze-thaw cycles.
Buffer
PBS (pH 7.2) and 40% Glycerol
Preservative
0.02% Sodium Azide
Purity
Immunogen affinity purified

Alternate Names for ANKRD31 Antibody - BSA Free

  • ankyrin repeat domain 31
  • ankyrin repeat domain-containing protein 31
  • FLJ40191

Limitations

This product is for research use only and is not approved for use in humans or in clinical diagnosis. Primary Antibodies are guaranteed for 1 year from date of receipt.

Publications for ANKRD31 Antibody (NBP2-49261) (0)

There are no publications for ANKRD31 Antibody (NBP2-49261).
By submitting your publication information earn gift cards and discounts for future purchases.

Reviews for ANKRD31 Antibody (NBP2-49261) (0)

There are no reviews for ANKRD31 Antibody (NBP2-49261). By submitting a review you will receive an Amazon e-Gift Card or Novus Product Discount.
  • Review with no image -- $10/€7/£6/$10 CAD/¥70 Yuan/¥1110 Yen
  • Review with an image -- $25/€18/£15/$25 CAD/¥150 Yuan/¥2500 Yen

Product General Protocols

Find general support by application which include: protocols, troubleshooting, illustrated assays, videos and webinars.

FAQs for ANKRD31 Antibody (NBP2-49261) (0)

There are no specific FAQs related to this product. Read our general customer & technical service FAQs.

Customers Who Bought This Also Bought

Contact Information

Product PDFs

Calculators

Concentration Calculator

The concentration calculator allows you to quickly calculate the volume, mass or concentration of your vial. Simply enter your mass, volume, or concentration values for your reagent and the calculator will determine the rest.

=
÷

Review this Product

Be the first to review our ANKRD31 Antibody - BSA Free and receive a gift card or discount.

Bioinformatics

Gene Symbol ANKRD31