Sort By:
page of 1

Ymer Antibodies

We offer Ymer Antibodies for use in common research applications: ELISA, Immunocytochemistry/Immunofluorescence, Immunohistochemistry, Immunohistochemistry-Paraffin, Peptide ELISA, Western Blot. Each Ymer Antibody is fully covered by our Guarantee+, to give you complete peace of mind and the support when you need it. Our Ymer Antibodies can be used in a variety of model species: Bovine, Canine, Equine, Guinea Pig, Human, Mouse, Primate, Rabbit, Rat. Use the list below to choose the Ymer Antibody which is most appropriate for your research; you can click on each one to view full technical details, images, references, reviews and related products. Choose from our Ymer polyclonal antibodies.
Alternate Names for Ymer Antibodies
anti-Ymer antibody, anti-CCDC50 antibody, anti-C3orf6deafness, autosomal dominant 44 antibody, anti-coiled-coil domain containing 50 antibody, anti-coiled-coil domain-containing protein 50 antibody, anti-DFNA44 antibody, anti-Protein Ymer antibody
6 Results for "ymer" in Primary Antibodies
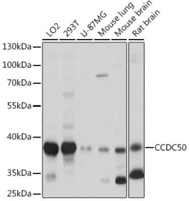
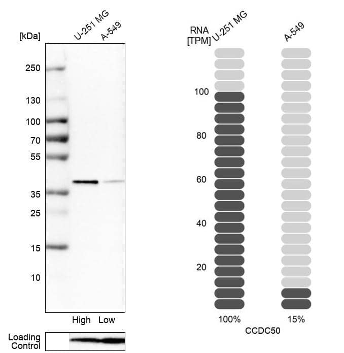
Hu, Mu, Rt
Species Glossary
Reactivity: Hu, Mu, Rt
WB, ICC/IF, IHC
Applications: WB, ICC/IF, IHC
Rabbit Polyclonal
Host: Rabbit Polyclonal
Sample Size Available
Sizes: Sample Size Available
Unconjugated  
         
Validated by:          
Available Formulations
Formulation Catalog # Availability Price  
compare
(select up to 3 products from this page to compare)
0.1 mg
Hu, Pm, Pm, RM
Species Glossary
Reactivity: Hu, Pm, Pm, RM
WB
Applications: WB
Rabbit Polyclonal
Host: Rabbit Polyclonal
IMG-6263A
Alt Catalog# IMG-6263A
Sample Size Available
Sizes: Sample Size Available
Unconjugated  
compare
(select up to 3 products from this page to compare)
100 μg
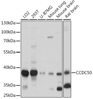
Hu, Mu, Rt
Species Glossary
Reactivity: Hu, Mu, Rt
WB, ELISA, IHC
Applications: WB, ELISA, IHC
Rabbit Polyclonal
Host: Rabbit Polyclonal
Unconjugated  
compare
(select up to 3 products from this page to compare)
Hu, Rt, Bv, Ca
Species Glossary
Reactivity: Hu, Rt, Bv, Ca
ELISA, IHC
Applications: ELISA, IHC
Goat Polyclonal
Host: Goat Polyclonal
Unconjugated  
compare
(select up to 3 products from this page to compare)
100 ul
Hu, Mu, Rt
Species Glossary
Reactivity: Hu, Mu, Rt
WB
Applications: WB
Rabbit Polyclonal
Host: Rabbit Polyclonal
Unconjugated  
Available Formulations
Formulation Catalog # Availability Price  
compare
(select up to 3 products from this page to compare)
100 ul
Hu
Species Glossary
Reactivity: Hu
WB
Applications: WB
Rabbit Polyclonal
Host: Rabbit Polyclonal
Unconjugated  
compare
(select up to 3 products from this page to compare)
page of 1