Sort By:
page of 1

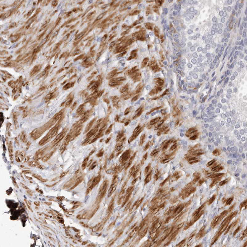
LMOD1 Antibodies

We offer LMOD1 Antibodies for use in common research applications: ELISA, Immunocytochemistry/Immunofluorescence, Immunohistochemistry, Immunohistochemistry-Paraffin, Sandwich ELISA, Western Blot. Each LMOD1 Antibody is fully covered by our Guarantee+, to give you complete peace of mind and the support when you need it. Our LMOD1 Antibodies can be used in a variety of model species: Bovine, Equine, Guinea Pig, Human, Mouse, Porcine, Rabbit, Rat. Use the list below to choose the LMOD1 Antibody which is most appropriate for your research; you can click on each one to view full technical details, images, references, reviews and related products. Choose from our LMOD1 polyclonal antibodies and browse our LMOD1 monoclonal antibody catalog.
Alternate Names for LMOD1 Antibodies
anti-LMOD1 antibody, anti-64 kDa autoantigen 1D antibody, anti-64 kDa autoantigen 1D3,1D antibody, anti-64 kDa autoantigen D1,64kD antibody, anti-D1 antibody, anti-FLJ55689 antibody, anti-leimodin 1 (smooth muscle) antibody, anti-leiomodin 1 (smooth muscle) antibody, anti-Leiomodin, muscle form antibody, anti-leiomodin-1 antibody, anti-SM-LMOD antibody, anti-Smooth muscle leiomodin antibody, anti-thyroid and eye muscle autoantigen D1 (64kD) antibody, anti-Thyroid-associated ophthalmopathy autoantigen antibody
6 Results for "lmod1" in Primary Antibodies
0.1 ml
Hu
Species Glossary
Reactivity: Hu
WB, ICC/IF, IHC
Applications: WB, ICC/IF, IHC
Rabbit Polyclonal
Host: Rabbit Polyclonal
Sample Size Available
Sizes: Sample Size Available
Unconjugated  
         
Validated by:          
Available Formulations
Formulation Catalog # Availability Price  
compare
(select up to 3 products from this page to compare)
0.1 ml
Hu
Species Glossary
Reactivity: Hu
WB, IHC
Applications: WB, IHC
Rabbit Polyclonal
Host: Rabbit Polyclonal
Unconjugated  
         
Validated by:          
compare
(select up to 3 products from this page to compare)
0.1 ml
Hu
Species Glossary
Reactivity: Hu
IHC
Applications: IHC
Rabbit Polyclonal
Host: Rabbit Polyclonal
Sample Size Available
Sizes: Sample Size Available
Unconjugated  
         
Validated by:          
Available Formulations
Formulation Catalog # Availability Price  
compare
(select up to 3 products from this page to compare)
100 ul
Hu
Species Glossary
Reactivity: Hu
WB
Applications: WB
Rabbit Polyclonal
Host: Rabbit Polyclonal
Unconjugated  
compare
(select up to 3 products from this page to compare)
0.1 mg
Hu
Species Glossary
Reactivity: Hu
WB, ELISA
Applications: WB, ELISA
Mouse Monoclonal
Host: Mouse Monoclonal
Unconjugated  
compare
(select up to 3 products from this page to compare)
0.05 mg
Hu
Species Glossary
Reactivity: Hu
WB
Applications: WB
Mouse Polyclonal
Host: Mouse Polyclonal
Unconjugated  
compare
(select up to 3 products from this page to compare)
page of 1