PSME4 Products

Antibodies
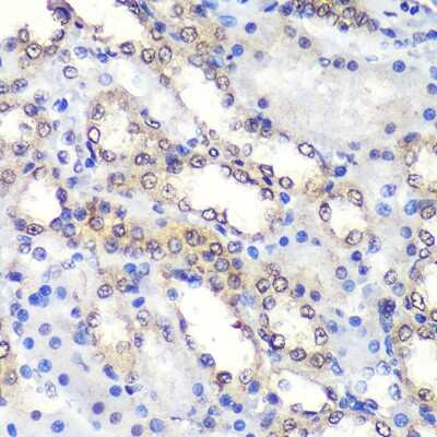
PSME4 Antibody - Azide and BS ...
PSME4 Antibody - Azide and BSA Free
NBP2-94690
Species: Hu, Mu, Rt
Applications: WB, IHC
Host: Rabbit Polyclonal
Formulation Catalog # Availability Price  
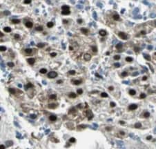
PSME4 Antibody - BSA Free
PSME4 Antibody - BSA Free
NBP3-46861
Species: Hu, Mu, Rt
Applications: WB, ELISA, ICC/IF, IHC, IP
Host: Rabbit Polyclonal
Proteins
PSME4 Recombinant Protein Ant ...
PSME4 Recombinant Protein Antigen
NBP2-32575PEP
Species: Hu
Applications: AC

Description

Proteolytic degradation is critical to the maintenance of appropriate levels of short-lived and regulatory proteins as important and diverse as those involved in cellular metabolism, heat shock and stress response, antigen presentation, modulation of cell surface receptors and ion channels, cell cycle regulation, transcription, and signalling factors. The ubiquitin-proteasome pathway deconstructs most proteins in the eukaryotic cell cytosol and nucleus. Other proteins are degraded via the vacuolar pathway which includes endosomes, lysosomes, and the endoplasmic reticulum. The 26S proteasome is an ATP-dependent, multisubunit (~31), barrel-shaped molecular machine with an apparent molecular weight of ~2.5 MDa. It consists of a 20S proteolytic core complex which is crowned at one or both ends by 19S regulatory subunit complexes. The 19S regulatory subunits recognize ubiquitinated proteins and play an essential role in unfolding and translocating targets into the lumen of the 20S subunit. The PA28/11S REG Activator protein complex functions as a proteolytic activator. PA200 has been identified as a 200 kDa nuclear protein that activates the 26S proteasome complex. Studies have shown that, in human tissues, PA200 mRNA levels are highest in testis, but is also present in liver, spleen, brain, heart, kidney and lung. Evidence suggests that this protein is involved in DNA repair, possibly by recruiting the proteasome to double-strand DNA breaks.

Bioinformatics

Entrez Mouse
Human
Rat
Product By Gene ID 23198
Alternate Names
  • proteasome (prosome, macropain) activator subunit 4

Research Areas for PSME4

Find related products by research area and learn more about each of the different research areas below.

Neuroscience
Ubiquitin Proteasome Pathway