mtTFA Products

Antibodies
mtTFA Antibody - BSA Free
mtTFA Antibody - BSA Free
NBP2-19437
Species: Hu, Mu, Rt, Rb, Pm
Applications: WB, ICC/IF, IHC, IP
Host: Rabbit Polyclonal
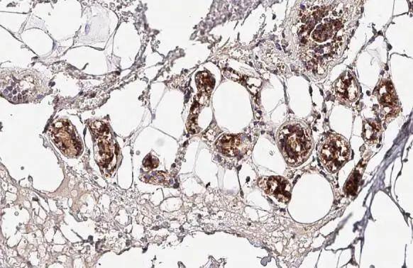
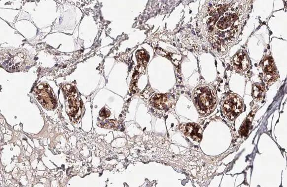
mtTFA Antibody
mtTFA Antibody
Species: Hu, Mu, Rt, Pm
Applications: WB, ICC/IF, IHC, IP
Host: Rabbit Polyclonal
ELISA Kits
Human mtTFA ELISA Kit (Colori ...
Human mtTFA ELISA Kit (Colorimetric)
NBP3-38686
Species: Hu
Applications: ELISA
Human mtTFA - Ready-To-Use E ...
Human mtTFA - Ready-To-Use ELISA ...
NBP3-38685
Species: Hu
Applications: ELISA
Proteins
Recombinant Human mtTFA His P ...
Recombinant Human mtTFA His Protein
NBP1-50977
Species: Hu
Applications: PAGE
mtTFA Recombinant Protein Ant ...
mtTFA Recombinant Protein Antigen
NBP2-56077PEP
Species: Hu
Applications: AC
mtTFA Recombinant Protein Ant ...
mtTFA Recombinant Protein Antigen
NBP1-86959PEP
Species: Hu
Applications: AC

Description

TFAM a mitochondrial transcription factor that is a key activator of mitochondrial transcription as well as a participant in mitochondrial genome replication. Studies in mice have demonstrated that this protein is required to regulate the mitochondrial genome copy number and is essential for embryonic development. A mouse model for Kearns-Sayre syndrome was produced when expression of the gene was eliminated by targeted disruption in heart and muscle cells.

Bioinformatics

Entrez Human
Uniprot Human
Human
Human
Product By Gene ID 7019
Alternate Names
  • mitochondrial transcription factor A
  • MTTF1
  • MtTF1
  • mtTFA
  • TCF-6
  • TCF6L1
  • TCF6L2Mitochondrial transcription factor 1
  • TCF6TCF6L3
  • Transcription factor 6
  • Transcription factor 6-like 2 (mitochondrial transcription factor)
  • Transcription factor 6-like 2
  • transcription factor A, mitochondrial

Research Areas for mtTFA

Find related products by research area and learn more about each of the different research areas below.

Cell Cycle and Replication
Transcription Factors and Regulators