C-Peptide Products

Antibodies
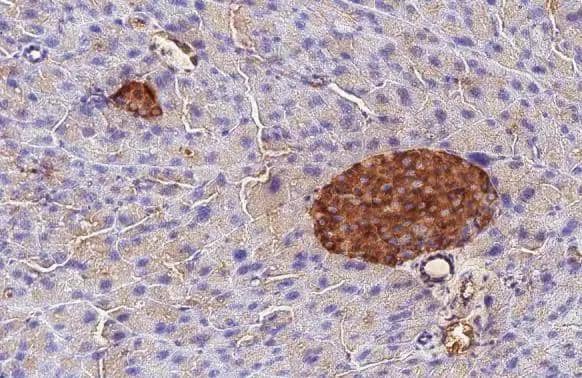
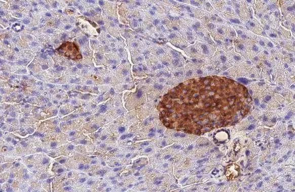
C-Peptide Antibody (HL1159) - ...
C-Peptide Antibody (HL1159) - Azid...
NBP3-25422
Species: Hu, Mu, Rt, Pm
Applications: ELISA, IHC
Host: Rabbit Monoclonal
ELISA Kits
Human C-Peptide Quantikine EL ...
Human C-Peptide Quantikine ELISA Kit
DICP00
Species: Hu
Applications: ELISA
Human C-Peptide DuoSet ELISA, ...
Human C-Peptide DuoSet ELISA, 5 Plate
DY9625-05
Species: Hu
Applications: ELISA
Mouse C-Peptide ELISA Kit (Co ...
Mouse C-Peptide ELISA Kit (Colorim...
NBP2-82124
Species: Mu
Applications: ELISA

Description

C Peptide is part of the molecule of Proinsulin, that consists of three parts: C Peptide and two long strands of amino acids (called the alpha and beta chains) that later become linked together to form the insulin molecule. From every molecule of proinsulin, one molecule of insulin plus one molecule of C Peptide are produced. C peptide is released into the blood stream in equal amounts to insulin. A test of C peptide levels will show how much insulin the body is making. Insulin decreases blood glucose concentration. It increases cell permeability to monosaccharides, amino acids and fatty acids. It accelerates glycolysis, the pentose phosphate cycle, and glycogen synthesis in liver.

Bioinformatics

Entrez Mouse
Rat
Product By Gene ID 3630
Alternate Names
  • C-P
  • C-Peptide
  • IDDM2
  • ILPR
  • Insulin C-Peptide
  • insulin
  • IRDN
  • MODY10
  • Proinsulin C-Peptide
  • proinsulin

Research Areas for C-Peptide

Find related products by research area and learn more about each of the different research areas below.

Diabetes Research