TEX44 Antibody

Images

 
Independent Antibodies: Staining of human cerebral cortex, kidney, lymph node and testis using NBP2-14406 (A) shows similar protein distribution across tissues to independent antibody NBP2-49226 (B).
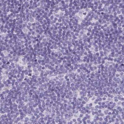
Staining of human lymph node
Staining of human cerebral cortex
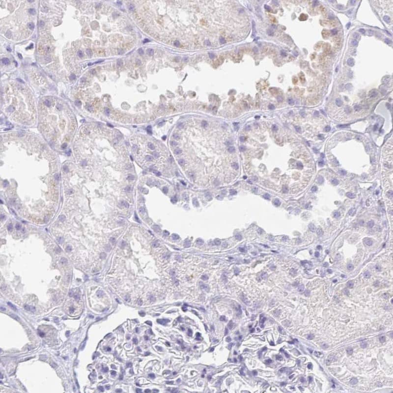
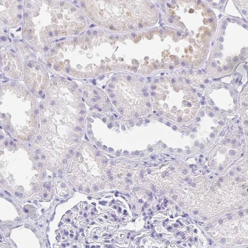
Staining of human kidney shows low expression as expected.
Orthogonal Strategies: Analysis in human testis and kidney tissues. Corresponding TEX44 RNA-seq data are presented for the same tissues.
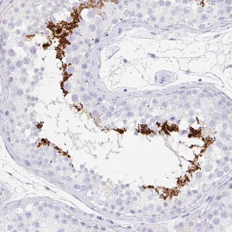
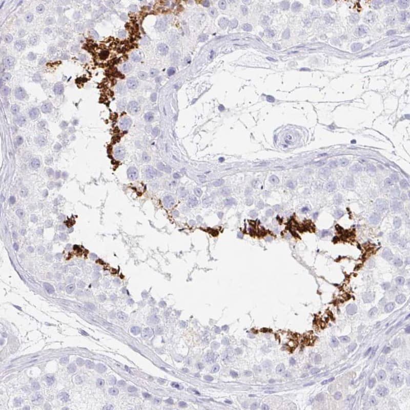
Staining of human testis shows high expression.

Product Details

Summary
Reactivity HuSpecies Glossary
Applications IHC
Clonality
Polyclonal
Host
Rabbit
Conjugate
Unconjugated

Order Details

TEX44 Antibody Summary

Immunogen
This antibody was developed against a recombinant protein corresponding to the amino acids: LGNVDDSRSKDSPAGEPQGQVPLTADVLAVSSSVASTDWQDIDQASFKTATPRAISTSGDKDKSAVVPEHGQKTPRKITPLLPSQNPSPLQVS
Isotype
IgG
Clonality
Polyclonal
Host
Rabbit
Gene
TEX44
Purity
Affinity purified
Innovator's Reward
Test in a species/application not listed above to receive a full credit towards a future purchase.

Applications/Dilutions

Dilutions
  • Immunohistochemistry 1:50 - 1:200
  • Immunohistochemistry-Paraffin 1:50 - 1:200
Application Notes
For IHC-Paraffin, HIER pH 6 retrieval is recommended.
Publications
Read Publication using NBP2-14406.

Reactivity Notes

Reactivity reported in scientific literature (PMID: 24598113)

Packaging, Storage & Formulations

Storage
Store at 4C short term. Aliquot and store at -20C long term. Avoid freeze-thaw cycles.
Buffer
PBS (pH 7.2) and 40% Glycerol
Preservative
0.02% Sodium Azide
Purity
Affinity purified

Alternate Names for TEX44 Antibody

  • C2orf57
  • chromosome 2 open reading frame 57
  • testis-expressed protein 44
  • uncharacterized protein C2orf57

Limitations

This product is for research use only and is not approved for use in humans or in clinical diagnosis. Primary Antibodies are guaranteed for 1 year from date of receipt.

Publications for TEX44 Antibody (NBP2-14406)(1)

Reviews for TEX44 Antibody (NBP2-14406) (0)

There are no reviews for TEX44 Antibody (NBP2-14406). By submitting a review you will receive an Amazon e-Gift Card or Novus Product Discount.
  • Review with no image -- $10/€7/£6/$10 CAD/¥70 Yuan/¥1110 Yen
  • Review with an image -- $25/€18/£15/$25 CAD/¥150 Yuan/¥2500 Yen

Product General Protocols

Find general support by application which include: protocols, troubleshooting, illustrated assays, videos and webinars.

FAQs for TEX44 Antibody (NBP2-14406) (0)

There are no specific FAQs related to this product. Read our general customer & technical service FAQs.

Customers Who Bought This Also Bought

Contact Information

Product PDFs

Calculators

Concentration Calculator

The concentration calculator allows you to quickly calculate the volume, mass or concentration of your vial. Simply enter your mass, volume, or concentration values for your reagent and the calculator will determine the rest.

=
÷

Review this Product

Be the first to review our TEX44 Antibody and receive a gift card or discount.

Bioinformatics

Gene Symbol TEX44