SMAGP Antibody

Images

 
Western blot shows lysates of human lung tissue, PC-3 human prostate cancer cell line, HT-29 human colon adenocarcinoma cell line, and MCF-7 human breast cancer cell line. PVDF membrane was probed with 1 µg/mL of Goat ...read more
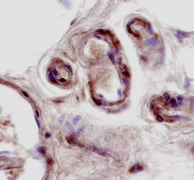
SMAGP was detected in immersion fixed paraffin-embedded sections of human colon using 15 µg/mL Goat Anti-Human SMAGP Antigen Affinity-purified Polyclonal Antibody (Catalog # AF3959) overnight at 4 °C. Tissue ...read more

Product Details

Summary
Reactivity HuSpecies Glossary
Applications WB, IHC
Clonality
Polyclonal
Host
Goat
Conjugate
Unconjugated
Concentration
LYOPH

Order Details

SMAGP Antibody Summary

Immunogen
E. coli-derived recombinant human SMAGP
Thr2-Thr34, Phe56-Ile97
Accession # Q0VAQ4
Specificity
Detects human SMAGP in direct ELISAs and Western blots. In direct ELISAs and Western blots, approximately 40% cross-reactivity with recombinant rat SMAGP is observed.
Source
N/A
Isotype
IgG
Clonality
Polyclonal
Host
Goat
Gene
SMAGP
Purity Statement
Antigen Affinity-purified
Innovator's Reward
Test in a species/application not listed above to receive a full credit towards a future purchase.

Applications/Dilutions

Dilutions
  • Immunohistochemistry 5-15 ug/mL
  • Western Blot 1 ug/mL

Packaging, Storage & Formulations

Storage
Use a manual defrost freezer and avoid repeated freeze-thaw cycles.
  • 12 months from date of receipt, -20 to -70 °C as supplied.
  • 1 month, 2 to 8 °C under sterile conditions after reconstitution.
  • 6 months, -20 to -70 °C under sterile conditions after reconstitution.
Buffer
Lyophilized from a 0.2 μm filtered solution in PBS with Trehalose. *Small pack size (SP) is supplied either lyophilized or as a 0.2 µm filtered solution in PBS.
Preservative
No Preservative
Concentration
LYOPH
Reconstitution Instructions
Reconstitute at 0.2 mg/mL in sterile PBS.

Notes

This product is produced by and ships from R&D Systems, Inc., a Bio-Techne brand.

Alternate Names for SMAGP Antibody

  • hSMAGP
  • LOC57228
  • MGC149453
  • MGC149454
  • SMAGP
  • small cell adhesion glycoprotein
  • small cell transmembrane and glycosylated protein
  • Small transmembrane and glycosylated protein
  • small trans-membrane and glycosylated protein

Background

SMAGP (small transmembrane and glycosylated protein) is a 25 kDa member of the SMAGP family of proteins. It is expressed on breast, colon and biliary duct epithelium, and likely plays a role in cell-cell adhesion. Human SMAGP is an O-glycosylated, 97 amino acid (aa) type III transmembrane glycoprotein that contains a signal sequenceless N-terminal extracellular region (aa 1-34) plus a 39 aa C-terminal cytoplasmic domain. Over the intra- and extracellular regions combined, human SMAGP is 76% aa identical to mouse SMAGP.

Limitations

This product is for research use only and is not approved for use in humans or in clinical diagnosis. Primary Antibodies are guaranteed for 1 year from date of receipt.

Customers Who Viewed This Item Also Viewed...

2308-VN
Species: Hu
Applications: BA
H00002035-M01
Species: Hu
Applications: ELISA, ICC/IF, IHC,  IHC-P, S-ELISA, WB
NBP2-00594
Species: Hu, Mu, Rt
Applications: Flow, IHC,  IHC-P, WB
AF3959
Species: Hu
Applications: WB, IHC

Publications for SMAGP Antibody (AF3959) (0)

There are no publications for SMAGP Antibody (AF3959).
By submitting your publication information earn gift cards and discounts for future purchases.

Reviews for SMAGP Antibody (AF3959) (0)

There are no reviews for SMAGP Antibody (AF3959). By submitting a review you will receive an Amazon e-Gift Card or Novus Product Discount.
  • Review with no image -- $10/€7/£6/$10 CAD/¥70 Yuan/¥1110 Yen
  • Review with an image -- $25/€18/£15/$25 CAD/¥150 Yuan/¥2500 Yen

Product General Protocols

Find general support by application which include: protocols, troubleshooting, illustrated assays, videos and webinars.

Video Protocols

WB Video Protocol

FAQs for SMAGP Antibody (AF3959) (0)

There are no specific FAQs related to this product. Read our general customer & technical service FAQs.

Customers Who Bought This Also Bought

Contact Information

Product PDFs

Calculators

Concentration Calculator

The concentration calculator allows you to quickly calculate the volume, mass or concentration of your vial. Simply enter your mass, volume, or concentration values for your reagent and the calculator will determine the rest.

=
÷

Review this Product

Be the first to review our SMAGP Antibody and receive a gift card or discount.

Bioinformatics

Gene Symbol SMAGP
Uniprot