PRAMEF20 Antibody - BSA Free

Images

 
Western Blot: PRAMEF20 Antibody [NBP3-05595] - Western blot analysis of extracts of various cell lines, using PRAMEF20 antibody (NBP3-05595) at 1:1000 dilution. Secondary antibody: HRP Goat Anti-Rabbit IgG (H+L) at ...read more
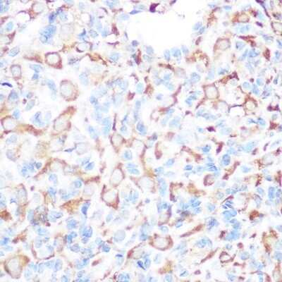
Immunohistochemistry-Paraffin: PRAMEF20 Antibody [NBP3-05595] - Immunohistochemistry of paraffin-embedded rat ovary using PRAMEF20 Rabbit pAb (NBP3-05595) at dilution of 1:100 (40x lens).
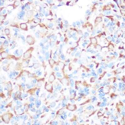
Immunohistochemistry-Paraffin: PRAMEF20 Antibody [NBP3-05595] - Immunohistochemistry of paraffin-embedded mouse ovary using PRAMEF20 Rabbit pAb (NBP3-05595) at dilution of 1:100 (40x lens).

Product Details

Summary
Reactivity Hu, Mu, RtSpecies Glossary
Applications WB, IHC
Clonality
Polyclonal
Host
Rabbit
Conjugate
Unconjugated
Format
BSA Free

Order Details

View Available Formulations
Catalog# & Formulation Size Price

PRAMEF20 Antibody - BSA Free Summary

Immunogen
Recombinant fusion protein containing a sequence corresponding to amino acids 67-274 of mouse PRAMEF20 (NP_001108549.1). GALKKRTPYLETQLQVVLEEVDKLLIQEVHPREYKLEVLDLRSVGQNYLNVWPGAMDDWLPKTTQTDPCCSKTVMTQPLKVLVDLQLNNRGQSRLFSYLVQWSDRRKGLLQLYCNKLQIWSPSQQNYRKLSQKVNLDYVETLGLHSSCSPSFLLNFAPYLRQMRNLRKLALSNIREEHIISPEKRRCIITRFTLQILKLESLQKLHLD
Isotype
IgG
Clonality
Polyclonal
Host
Rabbit
Gene
PRAMEF20
Purity
Affinity purified
Innovator's Reward
Test in a species/application not listed above to receive a full credit towards a future purchase.

Applications/Dilutions

Dilutions
  • Immunohistochemistry 1:50 - 1:200
  • Immunohistochemistry-Paraffin
  • Western Blot 1:500-1:2000
Theoretical MW
55 kDa.
Disclaimer note: The observed molecular weight of the protein may vary from the listed predicted molecular weight due to post translational modifications, post translation cleavages, relative charges, and other experimental factors.

Packaging, Storage & Formulations

Storage
Store at -20C. Avoid freeze-thaw cycles.
Buffer
PBS (pH 7.3), 50% glycerol
Preservative
0.02% Sodium Azide
Purity
Affinity purified

Alternate Names for PRAMEF20 Antibody - BSA Free

  • PRAME family member 20
  • PRAME family member 20/21
  • PRAME family member 21
  • PRAMEF21

Limitations

This product is for research use only and is not approved for use in humans or in clinical diagnosis. Primary Antibodies are guaranteed for 1 year from date of receipt.

Publications for PRAMEF20 Antibody (NBP3-05595) (0)

There are no publications for PRAMEF20 Antibody (NBP3-05595).
By submitting your publication information earn gift cards and discounts for future purchases.

Reviews for PRAMEF20 Antibody (NBP3-05595) (0)

There are no reviews for PRAMEF20 Antibody (NBP3-05595). By submitting a review you will receive an Amazon e-Gift Card or Novus Product Discount.
  • Review with no image -- $10/€7/£6/$10 CAD/¥70 Yuan/¥1110 Yen
  • Review with an image -- $25/€18/£15/$25 CAD/¥150 Yuan/¥2500 Yen

Product General Protocols

Find general support by application which include: protocols, troubleshooting, illustrated assays, videos and webinars.

Video Protocols

WB Video Protocol

FAQs for PRAMEF20 Antibody (NBP3-05595) (0)

There are no specific FAQs related to this product. Read our general customer & technical service FAQs.

Customers Who Bought This Also Bought

Contact Information

Product PDFs

Calculators

Concentration Calculator

The concentration calculator allows you to quickly calculate the volume, mass or concentration of your vial. Simply enter your mass, volume, or concentration values for your reagent and the calculator will determine the rest.

=
÷

Review this Product

Be the first to review our PRAMEF20 Antibody - BSA Free and receive a gift card or discount.

Bioinformatics

Gene Symbol PRAMEF20