PPTC7 Antibody - BSA Free

Images

 
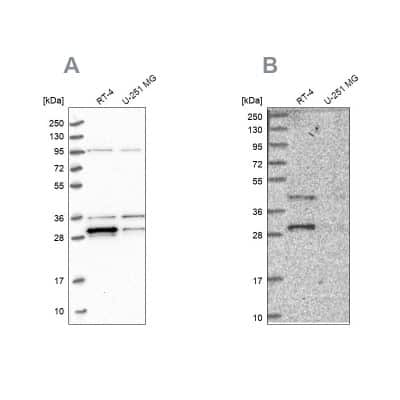
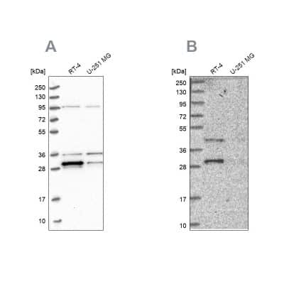
Independent Antibodies: Western Blot: PPTC7 Antibody [NBP1-90654] - Analysis using Anti-PPTC7 antibody NBP1-90654 (A) shows similar pattern to independent antibody NBP1-90653 (B).
Immunocytochemistry/ Immunofluorescence: PPTC7 Antibody [NBP1-90654] - Immunofluorescent staining of human cell line A-431 shows localization to plasma membrane & cytosol.
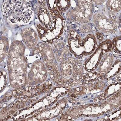
Immunohistochemistry-Paraffin: PPTC7 Antibody [NBP1-90654] - Staining of human kidney shows strong granular cytoplasmic positivity in cells in tubules.
Western Blot: PPTC7 Antibody [NBP1-90654] - Analysis in mouse cell line NIH-3T3 and rat cell line NBT-II.
Immunohistochemistry-Paraffin: PPTC7 Antibody [NBP1-90654] - Staining of human testis shows strong granular cytoplasmic positivity in Leydig cells and cells in seminiferous ducts.
Immunohistochemistry-Paraffin: PPTC7 Antibody [NBP1-90654] - Staining of human rectum shows strong granular cytoplasmic positivity in glandular cells.
Immunohistochemistry-Paraffin: PPTC7 Antibody [NBP1-90654] - Staining of human liver shows moderate granular cytoplasmic positivity in hepatocytes.
Analysis in mouse cell line NIH-3T3 and rat cell line NBT-II.

Product Details

Summary
Reactivity Hu, Mu, RtSpecies Glossary
Applications WB, ICC/IF, IHC
Clonality
Polyclonal
Host
Rabbit
Conjugate
Unconjugated
Format
BSA Free
Validated by:
 

Independent Antibodies

       

Order Details

View Available Formulations
Catalog# & Formulation Size Price

PPTC7 Antibody - BSA Free Summary

Description
Novus Biologicals Knockout (KO) Validated Rabbit PPTC7 Antibody - BSA Free (NBP1-90654) is a polyclonal antibody validated for use in IHC, WB and ICC/IF. Anti-PPTC7 Antibody: Cited in 5 publications. All Novus Biologicals antibodies are covered by our 100% guarantee.
Immunogen
This antibody was developed against Recombinant Protein corresponding to amino acids: ILTTSYCELLQNKVPLLGSSTACIVVLDRTSHRLHTANLGDSGFLVVRGGEVVHRSDEQQHYFNTPFQLSIAPPEAEGVVLSDSPDAADSTSFDVQL
Isotype
IgG
Clonality
Polyclonal
Host
Rabbit
Gene
PPTC7
Purity
Affinity purified
Innovator's Reward
Test in a species/application not listed above to receive a full credit towards a future purchase.

Applications/Dilutions

Dilutions
  • Immunocytochemistry/ Immunofluorescence 0.25-2 ug/ml
  • Immunohistochemistry 1:200 - 1:500
  • Immunohistochemistry-Paraffin 1:200 - 1:500
  • Western Blot 0.04-0.4 ug/ml
Application Notes
For IHC-Paraffin, HIER pH 6 retrieval is recommended. ICC/IF Fixation Permeabilization: Use PFA/Triton X-100.
Control Peptide
PPTC7 Protein (NBP1-90654PEP)
Publications
Read Publications using
NBP1-90654 in the following applications:

  • 1 publication
  • KO
    1 publication
  • WB
    2 publications

Packaging, Storage & Formulations

Storage
Store at 4C short term. Aliquot and store at -20C long term. Avoid freeze-thaw cycles.
Buffer
PBS (pH 7.2) and 40% Glycerol
Preservative
0.02% Sodium Azide
Purity
Affinity purified

Alternate Names for PPTC7 Antibody - BSA Free

  • MGC133072
  • PTC7 protein phosphatase homolog (S. cerevisiae)

Limitations

This product is for research use only and is not approved for use in humans or in clinical diagnosis. Primary Antibodies are guaranteed for 1 year from date of receipt.

Publications for PPTC7 Antibody (NBP1-90654)(5)

We have publications tested in 1 confirmed species: Mouse.

We have publications tested in 3 applications: IHC-P, KO, WB.


Filter By Application
IHC-P
(1)
KO
(1)
WB
(2)
All Applications
Filter By Species
Mouse
(2)
All Species

Reviews for PPTC7 Antibody (NBP1-90654) (0)

There are no reviews for PPTC7 Antibody (NBP1-90654). By submitting a review you will receive an Amazon e-Gift Card or Novus Product Discount.
  • Review with no image -- $10/€7/£6/$10 CAD/¥70 Yuan/¥1110 Yen
  • Review with an image -- $25/€18/£15/$25 CAD/¥150 Yuan/¥2500 Yen

Product General Protocols

Find general support by application which include: protocols, troubleshooting, illustrated assays, videos and webinars.

Video Protocols

WB Video Protocol
ICC/IF Video Protocol

FAQs for PPTC7 Antibody (NBP1-90654) (0)

There are no specific FAQs related to this product. Read our general customer & technical service FAQs.

Customers Who Bought This Also Bought

Contact Information

Product PDFs

Calculators

Concentration Calculator

The concentration calculator allows you to quickly calculate the volume, mass or concentration of your vial. Simply enter your mass, volume, or concentration values for your reagent and the calculator will determine the rest.

=
÷

Review this Product

Be the first to review our PPTC7 Antibody - BSA Free and receive a gift card or discount.

Bioinformatics

Gene Symbol PPTC7