Olfactory Receptor OR2A4 Antibody

Images

 
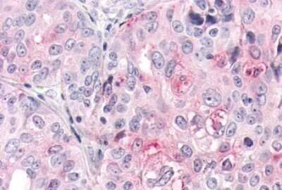
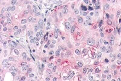
Immunohistochemistry-Paraffin: Olfactory Receptor OR2A4 Antibody [NLS3903] - Anti-OR2A4 antibody IHC of human Ovary, Carcinoma. Immunohistochemistry of formalin-fixed, paraffin-embedded tissue after heat-induced antigen ...read more
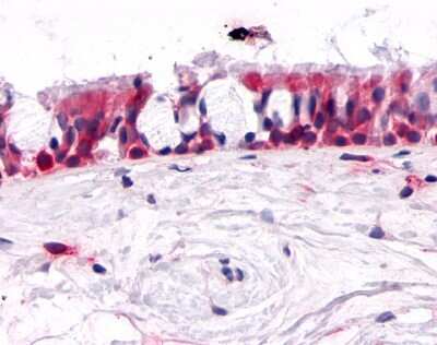
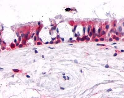
Immunohistochemistry-Paraffin: Olfactory Receptor OR2A4 Antibody [NLS3903] - Analysis of anti-OR2A4 antibody with human nasal mucosa, respiratory epithelium.

Product Details

Summary
Product Discontinued
View other related Olfactory Receptor OR2A4 Primary Antibodies

Order Details


    • Catalog Number
      NLS3903
    • Availability
      Product Discontinued

    Can't find what you are looking for? Use our Antibody Concierge Service & we will help you locate your antibody!

    Or feel free to contact us for alternative products.

Olfactory Receptor OR2A4 Antibody Summary

Immunogen
Synthetic 13 amino acid peptide from 3rd extracellular domain of human Olfactory Receptor OR2A4.
Epitope
3rd extracellular domain
Specificity
Human OR2A4. BLAST analysis of the peptide immunogen showed no homology with other human proteins, except OR2A25 (77%).
Predicted Species
Porcine (92%), Bovine (92%), Hamster (92%), Primate (92%), Equine (92%). Backed by our 100% Guarantee.
Isotype
IgG
Clonality
Polyclonal
Host
Rabbit
Gene
OR2A4
Purity
Immunogen affinity purified
Innovator's Reward
Test in a species/application not listed above to receive a full credit towards a future purchase.

Applications/Dilutions

Dilutions
  • Immunohistochemistry
  • Immunohistochemistry-Paraffin 7 ug/ml

Reactivity Notes

Predicted cross-reactivity based on sequence identity: Marmoset (92%), Mouse (85%), Rat (85%).

Packaging, Storage & Formulations

Storage
Store at 4C short term. Aliquot and store at -20C long term. Avoid freeze-thaw cycles.
Buffer
PBS
Preservative
0.1% Sodium Azide
Concentration
1.0 mg/ml
Purity
Immunogen affinity purified

Alternate Names for Olfactory Receptor OR2A4 Antibody

  • Olfactory receptor 2A10
  • olfactory receptor 2A4
  • Olfactory receptor OR6-37
  • olfactory receptor, family 2, subfamily A, member 10
  • olfactory receptor, family 2, subfamily A, member 4
  • OR2A10

Background

OR2A4, an Olfactory Receptor, is similar to mouse and rat mK7 olfactory receptor. OR2A4 expression has been reported in the mouse nasal olfactory epithelium.

Limitations

This product is for research use only and is not approved for use in humans or in clinical diagnosis. Primary Antibodies are guaranteed for 1 year from date of receipt.

Customers Who Viewed This Item Also Viewed...

NBP1-91941
Species: Hu
Applications: IHC,  IHC-P, WB
NLS418
Species: Hu
Applications: IHC,  IHC-P
NLS1017
Species: Bt, Bv, Ca, Eq, Hu, Mu
Applications: IHC,  IHC-P
MAB8458
Species: Hu
Applications: CyTOF-ready, Flow, ICC
MAB194
Species: Hu, Mu
Applications: CyTOF-ready, Flow, ICC, WB
NLS2576
Species: Hu, Pm, Rt
Applications: IHC,  IHC-P
NLS2756
Species: Hu, Pm
Applications: ICC, IHC,  IHC-P
NLS3903
Species: Hu, Ca, Po, Bv, Eq, Ha, Pm
Applications: IHC

Publications for Olfactory Receptor OR2A4 Antibody (NLS3903) (0)

There are no publications for Olfactory Receptor OR2A4 Antibody (NLS3903).
By submitting your publication information earn gift cards and discounts for future purchases.

Reviews for Olfactory Receptor OR2A4 Antibody (NLS3903) (0)

There are no reviews for Olfactory Receptor OR2A4 Antibody (NLS3903). By submitting a review you will receive an Amazon e-Gift Card or Novus Product Discount.
  • Review with no image -- $10/€7/£6/$10 CAD/¥70 Yuan/¥1110 Yen
  • Review with an image -- $25/€18/£15/$25 CAD/¥150 Yuan/¥2500 Yen

Product General Protocols

View specific protocols for Olfactory Receptor OR2A4 Antibody (NLS3903): Find general support by application which include: protocols, troubleshooting, illustrated assays, videos and webinars.

FAQs for Olfactory Receptor OR2A4 Antibody (NLS3903) (0)

There are no specific FAQs related to this product. Read our general customer & technical service FAQs.

Secondary Antibodies

 

Isotype Controls

Additional Olfactory Receptor OR2A4 Products

Research Areas for Olfactory Receptor OR2A4 Antibody (NLS3903)

Find related products by research area.

Blogs on Olfactory Receptor OR2A4

There are no specific blogs for Olfactory Receptor OR2A4, but you can read our latest blog posts.

Contact Information

Product PDFs

Calculators

Concentration Calculator

The concentration calculator allows you to quickly calculate the volume, mass or concentration of your vial. Simply enter your mass, volume, or concentration values for your reagent and the calculator will determine the rest.

=
÷

Review this Product

Be the first to review our Olfactory Receptor OR2A4 Antibody and receive a gift card or discount.

Bioinformatics

Gene Symbol OR2A4
Entrez