Nucleoli Marker Antibody (NM95) [Biotin]

Images

 
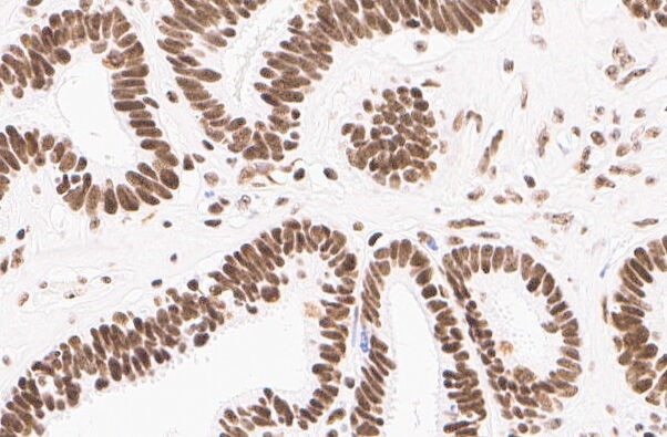
Immunohistochemistry-Paraffin: Nucleoli Marker Antibody (NM95) [Biotin] [NBP2-34695B] - Human ovarian cancer cell line, staining of nucleoli. Antibody at 1:150. Image from verified customer review.
Immunohistochemistry-Paraffin: Mouse Monoclonal Nucleoli Marker Antibody (NM95) [Biotin] [NBP2-34695B] - Nucleoli Marker Antibody (NM95) immunoreactivity in adipose surrounding mouse kidney. The antibody was diluted 1 ...read more

Product Details

Summary
Reactivity Hu, Bv(-), Mu(-), Rt(-)Species Glossary
Applications Flow, ICC/IF, IHC
Clone
NM95
Clonality
Monoclonal
Host
Mouse
Conjugate
Biotin

Order Details

Nucleoli Marker Antibody (NM95) [Biotin] Summary

Description
This conjugate is made on demand. Actual recovery may vary from the stated volume of this product. The volume will be greater than or equal to the unit size stated on the datasheet.
Immunogen
Nuclei of myeloid leukemia biopsy cells
Localization
Nucleoli
Marker
Marker For Human Cells
Specificity
This monoclonal antibody is an excellent marker for human cells in xenographic model research. It reacts specifically with human cells. This monoclonal antibody is part of a new panel of reagents, which recognizes subcellular organelles or compartments of human cells. These markers may be useful in identification of these organelles in cells, tissues, and biochemical preparations. monoclonal antibody NM95 recognizes an antigen associated with the nucleoli in human cells. It can be used to stain the nucleoli in cell or tissue preparations and can be used as a marker of the nucleoli in subcellular fractions. It produces a speckled pattern in the nuclei of cells of normal and malignant cells and may be used to stain the nucleoli of cells in fixed or frozen tissue sections. It can be used with paraformaldehyde fixed frozen tissue or cell preparations and formalin fixed, paraffin-embedded tissue sections.
Isotype
IgG1 Kappa
Clonality
Monoclonal
Host
Mouse
Purity
Protein A or G purified
Innovator's Reward
Test in a species/application not listed above to receive a full credit towards a future purchase.

Applications/Dilutions

Dilutions
  • Flow Cytometry
  • Immunocytochemistry/ Immunofluorescence
  • Immunohistochemistry-Paraffin
Readout System
Reviewed Applications
Read 2 Reviews rated 5
using
NBP2-34695B in the following applications:

Reactivity Notes

Does not react with Mouse, Rat or Bovine.

Packaging, Storage & Formulations

Storage
Store at 4C in the dark.
Buffer
PBS
Preservative
0.05% Sodium Azide
Purity
Protein A or G purified

Limitations

This product is for research use only and is not approved for use in humans or in clinical diagnosis. Primary Antibodies are guaranteed for 1 year from date of receipt.

Publications for Nucleoli Marker Antibody (NBP2-34695B) (0)

There are no publications for Nucleoli Marker Antibody (NBP2-34695B).
By submitting your publication information earn gift cards and discounts for future purchases.

Reviews for Nucleoli Marker Antibody (NBP2-34695B) (2) 52

Average Rating: 5
(Based on 2 reviews)
We have 2 reviews tested in 1 species: Human.

Reviews using NBP2-34695B:
Filter by Applications
 IHC-P
(2)
All Applications
Filter by Species
Human
(2)
All Species
Images Ratings Applications Species Date Details
Immunohistochemistry-Paraffin Nucleoli Marker NBP2-34695B
Enlarge
5
reviewed by:
Verified Customer
 IHC-P Human 03/18/2024
View

Summary

ApplicationImmunohistochemistry-Paraffin
Sample TestedPBMC
SpeciesHuman
LotD158542

Comments

CommentsUsed Target Retrieval Solution preheated to 95 degrees Celsius. Total retrieval time was 20m in a vegetable steamer followed by a 15m cooldown period.
Immunohistochemistry-Paraffin Nucleoli Marker NBP2-34695B
Enlarge
5
reviewed by:
Faye Doherty
 IHC-P Human 07/01/2019
View

Summary

ApplicationImmunohistochemistry-Paraffin
Sample TestedHuman ovarian cancer cell lines
SpeciesHuman
LotMSM2-95PABX181203-060419-B

Comments

CommentsTested in IHC application, turned out excellent without any background noise using 1:150 dilution.

Product General Protocols

Find general support by application which include: protocols, troubleshooting, illustrated assays, videos and webinars.

Video Protocols

ICC/IF Video Protocol

FAQs for Nucleoli Marker Antibody (NBP2-34695B) (0)

There are no specific FAQs related to this product. Read our general customer & technical service FAQs.

Secondary Antibodies

 

Isotype Controls

Additional Nucleoli Marker Products

Array NBP2-34695B

Blogs on Nucleoli Marker

There are no specific blogs for Nucleoli Marker, but you can read our latest blog posts.

Customers Who Bought This Also Bought

Contact Information

Product PDFs

Calculators

Concentration Calculator

The concentration calculator allows you to quickly calculate the volume, mass or concentration of your vial. Simply enter your mass, volume, or concentration values for your reagent and the calculator will determine the rest.

=
÷

Recent Reviews

5
5
2
4
0
3
0
2
0
1
0

Verified Customer
03/18/2024
Application:  IHC-P
Species: Human

Faye Doherty
07/01/2019
Application:  IHC-P
Species: Human