GPR62 Antibody

Images

 
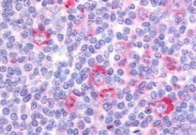
Immunohistochemistry-Paraffin: GPR62 Antibody [NB100-58985] - Analysis of anti-GPR62 antibody with human tonsil at concentration 20 ug/ml.

Product Details

Summary
Product Discontinued
View other related GPR62 Primary Antibodies

Order Details


    • Catalog Number
      NB100-58985
    • Availability
      Product Discontinued

    Can't find what you are looking for? Use our Antibody Concierge Service & we will help you locate your antibody!

    Or feel free to contact us for alternative products.

GPR62 Antibody Summary

Immunogen
Synthetic 16 amino acid peptide from C-terminus of human GPR62.
Epitope
C-terminal domain of human
Specificity
Human GPR62. BLAST analysis of the peptide immunogen showed no homology with other human proteins.
Predicted Species
Primate (94%). Backed by our 100% Guarantee.
Isotype
IgG
Clonality
Polyclonal
Host
Rabbit
Gene
GPR62
Purity
Immunogen affinity purified
Innovator's Reward
Test in a species/application not listed above to receive a full credit towards a future purchase.

Applications/Dilutions

Dilutions
  • ELISA 1:100 - 1:2000
  • Immunohistochemistry
  • Immunohistochemistry-Paraffin 20 ug/ml

Reactivity Notes

Predicted cross-reactivity based on sequence identity: Marmoset (94%), Bovine (81%).

Packaging, Storage & Formulations

Storage
Store at 4C short term. Aliquot and store at -20C long term. Avoid freeze-thaw cycles.
Buffer
PBS
Preservative
0.1% Sodium Azide
Concentration
1.0 mg/ml
Purity
Immunogen affinity purified

Alternate Names for GPR62 Antibody

  • G protein-coupled receptor 62
  • GPCR8
  • GPR62
  • G-protein coupled receptor GPCR8
  • G-protein coupled receptor KPG_005
  • hGPCR8
  • KPG_005
  • MGC26943
  • probable G-protein coupled receptor 62

Background

GPR62 has been reported to be expressed in several brain regions, including basal forebrain, frontal cortex, caudate, putamen, thalamus, and hippocampus. ESTs have been isolated from anaplastic oligodendroglioma and ovarian thecoma fibroma libraries. Mouse and rat brain libraries have also been used to isolate ESTs. G protein-coupled receptors (GPCRs, or GPRs) contain 7 transmembrane domains and transduce extracellular signals through heterotrimeric G proteins.[supplied by OMIM]

Limitations

This product is for research use only and is not approved for use in humans or in clinical diagnosis. Primary Antibodies are guaranteed for 1 year from date of receipt.

Customers Who Viewed This Item Also Viewed...

NLS418
Species: Hu
Applications: IHC,  IHC-P
MAB8458
Species: Hu
Applications: CyTOF-ready, Flow, ICC
MAB194
Species: Hu, Mu
Applications: CyTOF-ready, Flow, ICC, WB
NLS2756
Species: Hu, Pm
Applications: ICC, IHC,  IHC-P
MAB3648
Species: Hu
Applications: CyTOF-ready, Flow, Neut
NLS1017
Species: Bt, Bv, Ca, Eq, Hu, Mu
Applications: IHC,  IHC-P
NBP3-06018
Species: Hu
Applications: ICC/IF, IHC,  IHC-P, WB
NLS2576
Species: Hu, Pm, Rt
Applications: IHC,  IHC-P

Publications for GPR62 Antibody (NB100-58985) (0)

There are no publications for GPR62 Antibody (NB100-58985).
By submitting your publication information earn gift cards and discounts for future purchases.

Reviews for GPR62 Antibody (NB100-58985) (0)

There are no reviews for GPR62 Antibody (NB100-58985). By submitting a review you will receive an Amazon e-Gift Card or Novus Product Discount.
  • Review with no image -- $10/€7/£6/$10 CAD/¥70 Yuan/¥1110 Yen
  • Review with an image -- $25/€18/£15/$25 CAD/¥150 Yuan/¥2500 Yen

Product General Protocols

Find general support by application which include: protocols, troubleshooting, illustrated assays, videos and webinars.

FAQs for GPR62 Antibody (NB100-58985) (0)

There are no specific FAQs related to this product. Read our general customer & technical service FAQs.

Secondary Antibodies

 

Isotype Controls

Additional GPR62 Products

Array NB100-58985

Research Areas for GPR62 Antibody (NB100-58985)

Find related products by research area.

Blogs on GPR62

There are no specific blogs for GPR62, but you can read our latest blog posts.

Contact Information

Product PDFs

Calculators

Concentration Calculator

The concentration calculator allows you to quickly calculate the volume, mass or concentration of your vial. Simply enter your mass, volume, or concentration values for your reagent and the calculator will determine the rest.

=
÷

Review this Product

Be the first to review our GPR62 Antibody and receive a gift card or discount.

Bioinformatics

Gene Symbol GPR62
Entrez