GPR149 Antibody

Images

 
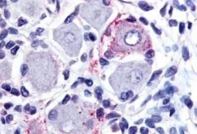
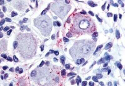
Immunohistochemistry-Paraffin: GPR149 Antibody [NB100-59002] - Staining of human spinal cord, dorsal root ganglion. Immunohistochemistry of formalin-fixed, paraffin-embedded tissue after heat-induced antigen retrieval. ...read more

Product Details

Summary
Product Discontinued
View other related GPR149 Primary Antibodies

Order Details


    • Catalog Number
      NB100-59002
    • Availability
      Product Discontinued

    Can't find what you are looking for? Use our Antibody Concierge Service & we will help you locate your antibody!

    Or feel free to contact us for alternative products.

GPR149 Antibody Summary

Immunogen
Synthetic 16 amino acid peptide from 3rd cytoplasmic domain of human GPR149.
Epitope
3rd cytoplasmic domain of human
Specificity
Human GPR149. BLAST analysis of the peptide immunogen showed no homology with other human proteins.
Predicted Species
Primate (100%). Backed by our 100% Guarantee.
Isotype
IgG
Clonality
Polyclonal
Host
Rabbit
Gene
GPR149
Purity
Immunogen affinity purified
Innovator's Reward
Test in a species/application not listed above to receive a full credit towards a future purchase.

Applications/Dilutions

Dilutions
  • ELISA 1:100 - 1:2000
  • Immunohistochemistry
  • Immunohistochemistry-Paraffin 20 ug/ml

Reactivity Notes

Predicted cross-reactivity based on sequence identity: Gorilla (100%), Gibbon (100%), Monkey (88%), Marmoset (88%), Bat (81%).

Packaging, Storage & Formulations

Storage
Store at 4C short term. Aliquot and store at -20C long term. Avoid freeze-thaw cycles.
Buffer
PBS
Preservative
0.1% Sodium Azide
Concentration
1.0 mg/ml
Purity
Immunogen affinity purified

Alternate Names for GPR149 Antibody

  • G protein-coupled receptor 149
  • G protein-coupled receptor PGR10
  • GPR149
  • G-protein coupled receptor PGR10
  • IEDA
  • PGR10
  • PGR10IEDA
  • probable G-protein coupled receptor 149

Background

GPCR PGR10 belongs to the G-protein coupled receptor 1 family and is an orphan receptor. PGR10 expression has been documented in rat brain and testis and in chick peripheral nervous system.

Limitations

This product is for research use only and is not approved for use in humans or in clinical diagnosis. Primary Antibodies are guaranteed for 1 year from date of receipt.

Customers Who Viewed This Item Also Viewed...

NB100-56511
Species: Hu, Mu
Applications: Flow, ICC/IF, IHC, IHC-Fr,  IHC-P, IP, KD, KO, WB
AF-259-NA
Species: Hu
Applications: ELISA(Cap), ELISA(Det), ELISA(Sta), IHC, Neut, WB
NBP2-36489
Species: Hu
Applications: IHC,  IHC-P, WB
739-G9
Species: Mu
Applications: BA
NBP3-13225
Species: Hu
Applications: ICC/IF, IHC,  IHC-P, WB
NB100-59002
Species: Hu, Pm
Applications: ELISA, IHC

Publications for GPR149 Antibody (NB100-59002) (0)

There are no publications for GPR149 Antibody (NB100-59002).
By submitting your publication information earn gift cards and discounts for future purchases.

Reviews for GPR149 Antibody (NB100-59002) (0)

There are no reviews for GPR149 Antibody (NB100-59002). By submitting a review you will receive an Amazon e-Gift Card or Novus Product Discount.
  • Review with no image -- $10/€7/£6/$10 CAD/¥70 Yuan/¥1110 Yen
  • Review with an image -- $25/€18/£15/$25 CAD/¥150 Yuan/¥2500 Yen

Product General Protocols

Find general support by application which include: protocols, troubleshooting, illustrated assays, videos and webinars.

FAQs for GPR149 Antibody (NB100-59002) (0)

There are no specific FAQs related to this product. Read our general customer & technical service FAQs.

Secondary Antibodies

 

Isotype Controls

Additional GPR149 Products

Research Areas for GPR149 Antibody (NB100-59002)

Find related products by research area.

Blogs on GPR149

There are no specific blogs for GPR149, but you can read our latest blog posts.

Contact Information

Product PDFs

Calculators

Concentration Calculator

The concentration calculator allows you to quickly calculate the volume, mass or concentration of your vial. Simply enter your mass, volume, or concentration values for your reagent and the calculator will determine the rest.

=
÷

Review this Product

Be the first to review our GPR149 Antibody and receive a gift card or discount.

Bioinformatics

Gene Symbol GPR149
Entrez