FAM167B Antibody - BSA Free

Images

 
Immunohistochemistry-Paraffin: FAM167B Antibody [NBP1-88321] - Staining of human cerebral cortex shows strong cytoplasmic positivity in neuronal cells.
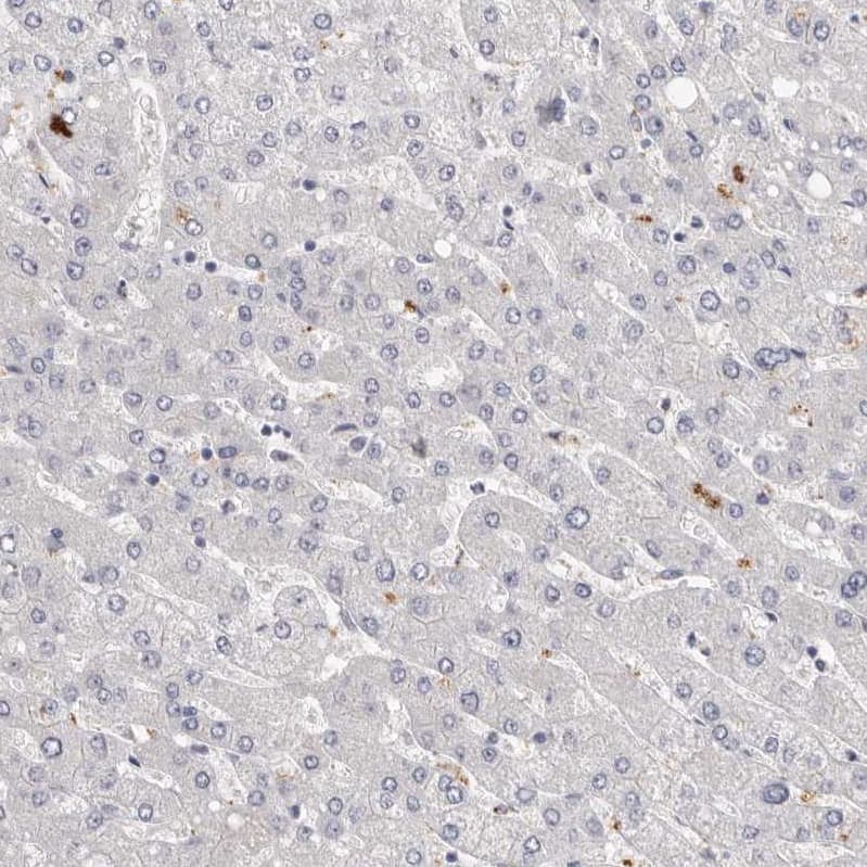
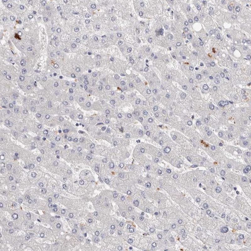
Staining of human liver shows no positivity in hepatocytes as expected.
Staining of human testis shows strong cytoplasmic positivity in cells in seminiferous ducts.
Analysis in control (vector only transfected HEK293T lysate) and FAM167B over-expression lysate (Co-expressed with a C-terminal myc-DDK tag (~3.1 kDa) in mammalian HEK293T cells).
Staining of human cerebellum shows strong cytoplasmic positivity in Purkinje cells.

Product Details

Summary
Reactivity Hu, RtSpecies Glossary
Applications WB, IHC
Clonality
Polyclonal
Host
Rabbit
Conjugate
Unconjugated
Format
BSA Free

Order Details

FAM167B Antibody - BSA Free Summary

Description
Novus Biologicals Rabbit FAM167B Antibody - BSA Free (NBP1-88321) is a polyclonal antibody validated for use in IHC and WB. All Novus Biologicals antibodies are covered by our 100% guarantee.
Immunogen
This antibody was developed against Recombinant Protein corresponding to amino acids: MQAQDRQLAGQLLRLRAQLHRLKMDQACHLHQELLDEAELELELEPGAGLALAPLLRHLGLTRMNISARRFTLC
Predicted Species
Rat (91%). Backed by our 100% Guarantee.
Isotype
IgG
Clonality
Polyclonal
Host
Rabbit
Gene
FAM167B
Purity
Immunogen affinity purified
Innovator's Reward
Test in a species/application not listed above to receive a full credit towards a future purchase.

Applications/Dilutions

Dilutions
  • Immunohistochemistry 1:20 - 1:50
  • Immunohistochemistry-Paraffin 1:20-1:50
  • Western Blot 0.04-0.4 ug/ml
Application Notes
For IHC-Paraffin, HIER pH 6 retrieval is recommended.
Control Peptide
FAM167B Protein (NBP1-88321PEP)

Reactivity Notes

Immunogen displays the following percentage of sequence identity for non-tested species: Mouse (88%)

Packaging, Storage & Formulations

Storage
Store at 4C short term. Aliquot and store at -20C long term. Avoid freeze-thaw cycles.
Buffer
PBS (pH 7.2) and 40% Glycerol
Preservative
0.02% Sodium Azide
Purity
Immunogen affinity purified

Alternate Names for FAM167B Antibody - BSA Free

  • C1orf90
  • chromosome 1 open reading frame 90
  • family with sequence similarity 167, member B
  • hypothetical protein LOC84734
  • MGC10820

Limitations

This product is for research use only and is not approved for use in humans or in clinical diagnosis. Primary Antibodies are guaranteed for 1 year from date of receipt.

Publications for FAM167B Antibody (NBP1-88321) (0)

There are no publications for FAM167B Antibody (NBP1-88321).
By submitting your publication information earn gift cards and discounts for future purchases.

Reviews for FAM167B Antibody (NBP1-88321) (0)

There are no reviews for FAM167B Antibody (NBP1-88321). By submitting a review you will receive an Amazon e-Gift Card or Novus Product Discount.
  • Review with no image -- $10/€7/£6/$10 CAD/¥70 Yuan/¥1110 Yen
  • Review with an image -- $25/€18/£15/$25 CAD/¥150 Yuan/¥2500 Yen

Product General Protocols

Find general support by application which include: protocols, troubleshooting, illustrated assays, videos and webinars.

Video Protocols

WB Video Protocol

FAQs for FAM167B Antibody (NBP1-88321) (0)

There are no specific FAQs related to this product. Read our general customer & technical service FAQs.

Customers Who Bought This Also Bought

Contact Information

Product PDFs

Calculators

Concentration Calculator

The concentration calculator allows you to quickly calculate the volume, mass or concentration of your vial. Simply enter your mass, volume, or concentration values for your reagent and the calculator will determine the rest.

=
÷

Review this Product

Be the first to review our FAM167B Antibody - BSA Free and receive a gift card or discount.

Bioinformatics

Gene Symbol FAM167B