DDX24 Antibody

Images

 
Independent Antibodies: Western Blot: DDX24 Antibody [NB100-2226] - Detection of Human DDX24 on HeLa whole cell lystate using NB100-2226. DDX24 was also immunoprecipitated by rabbit anti-DDX24 antibody NB100-2225 ...read more
Immunohistochemistry-Paraffin: DDX24 Antibody [NB100-2226] - Section of human ovarian carcinoma. Antibody: Affinity purified rabbit anti-DDX24 used at a dilution of 1:200 ( 1ug/ml). Detection: DAB
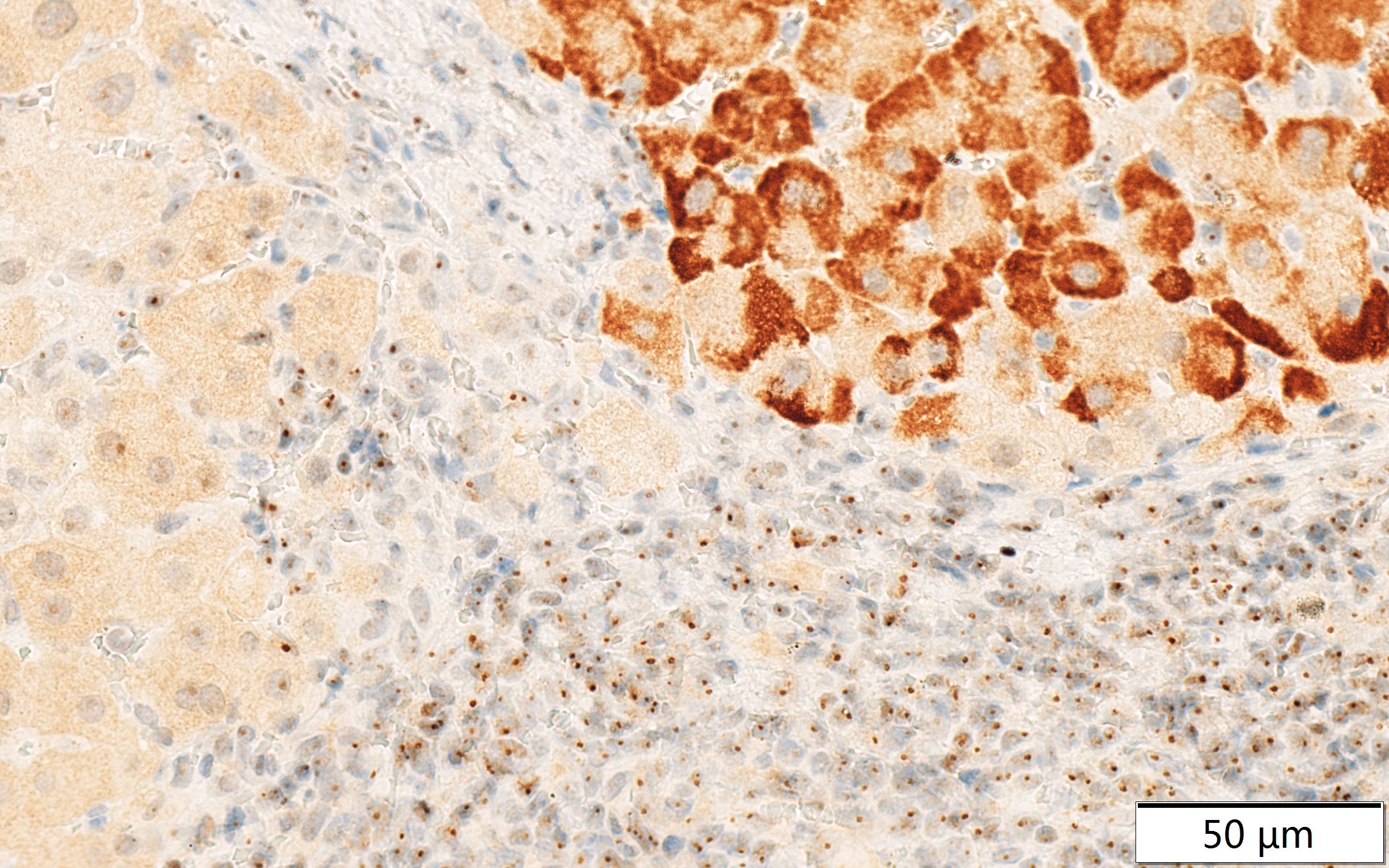
Immunohistochemistry-Paraffin: DDX24 Antibody [NB100-2226] - Staining of paraffin embedded human liver tissue with at a dilution of 1:100, detected using HRP/DAB detection system, counterstained with hematoxylin. ...read more

Product Details

Summary
Reactivity Hu, Pm-OrSpecies Glossary
Applications WB, IHC, IP
Clonality
Polyclonal
Host
Rabbit
Conjugate
Unconjugated
Concentration
0.2 mg/ml

Order Details

DDX24 Antibody Summary

Description
Novus Biologicals Rabbit DDX24 Antibody (NB100-2226) is a polyclonal antibody validated for use in IHC, WB and IP. Anti-DDX24 Antibody: Cited in 1 publication. All Novus Biologicals antibodies are covered by our 100% guarantee.
Immunogen
The immunogen recognized by this antibody maps to a region between residue 800 and the C-terminus (residue 859) of human DEAD (Asp-Glu-Ala-Asp) box polypeptide 24 using the numbering given in entry NP_065147.1 (GeneID 57062).
Predicted Species
Orangutan (100%). Backed by our 100% Guarantee.
Isotype
IgG
Clonality
Polyclonal
Host
Rabbit
Gene
DDX24
Purity
Immunogen affinity purified
Innovator's Reward
Test in a species/application not listed above to receive a full credit towards a future purchase.

Applications/Dilutions

Dilutions
  • Immunohistochemistry 1:100 - 1:500
  • Immunohistochemistry-Paraffin 1:100-1:500
  • Immunoprecipitation 2-5 ug/mg lysate
  • Western Blot 1:2000-1:10000
Application Notes
Epitope retrieval with citrate buffer pH6.0 is recommended for FFPE tissue sections. DDX24 antibody validated for IHC-P from a verified customer review.
Control
DDX24 Overexpression Lysate
Reviewed Applications
Read 1 Review rated 4
using
NB100-2226 in the following applications:

Publications
Read Publication using NB100-2226.

Packaging, Storage & Formulations

Storage
Store at 4C. Do not freeze.
Buffer
TBS and 0.1% BSA
Preservative
0.09% Sodium Azide
Concentration
0.2 mg/ml
Purity
Immunogen affinity purified

Alternate Names for DDX24 Antibody

  • ATP-dependent RNA helicase DDX24
  • DEAD (Asp-Glu-Ala-Asp) box polypeptide 24
  • DEAD box protein 24
  • DEAD/H (Asp-Glu-Ala-Asp/His) box polypeptide 24
  • EC 3.6.1
  • EC 3.6.4.13
  • S. cerevisiae CHL1-like helicase

Background

DDX24 is a member of the DEAD box family of proteins that possesses several conserved motifs which include the highly conserved DEAD (Asp-Glu-Ala-Asp) amino acid sequence motif. The major activity of DEAD box proteins is to function as ATP-dependent RNA helicases. As helicases, DEAD proteins play an important role in all aspects of RNA metabolism and function which include pre-mRNA splicing, RNA synthesis, RNA degradation, RNA export, RNA translation, RNA secondary structure formation, ribosome biogenesis, and the assembly of RNP complexes. The specific function of DDX24 has not been elucidated. Alternate names for DDX24 include ATP-dependent RNA helicase DDX24, and DEAD box protein 24.

Limitations

This product is for research use only and is not approved for use in humans or in clinical diagnosis. Primary Antibodies are guaranteed for 1 year from date of receipt.

Publications for DDX24 Antibody (NB100-2226)(1)

Review for DDX24 Antibody (NB100-2226) (1) 41

Average Rating: 4
(Based on 1 review)
We have 1 review tested in 1 species: Human.

Reviews using NB100-2226:
Filter by Applications
 IHC-P
(1)
All Applications
Filter by Species
Human
(1)
All Species
Images Ratings Applications Species Date Details
Immunohistochemistry-Paraffin DDX24 NB100-2226
Enlarge
4
reviewed by:
Haopei Zhang
 IHC-P Human 02/21/2019
View

Summary

ApplicationImmunohistochemistry-Paraffin
Sample TestedLiver
SpeciesHuman
LotA1

Comments

CommentsEpitope retrieval: HIER with Tris/EDTA (pH=9.0) buffer using pressure cooker for 20 mins.
Primary antibody: Diluted using TBS with 5% BSA at 1/100, incubate at 4°C overnight.
Detection system: HRP/DAB

Product General Protocols

Find general support by application which include: protocols, troubleshooting, illustrated assays, videos and webinars.

Video Protocols

WB Video Protocol

FAQs for DDX24 Antibody (NB100-2226) (0)

There are no specific FAQs related to this product. Read our general customer & technical service FAQs.

Control Lysate(s)

Secondary Antibodies

 

Isotype Controls

Additional DDX24 Products

Research Areas for DDX24 Antibody (NB100-2226)

Find related products by research area.

Blogs on DDX24

There are no specific blogs for DDX24, but you can read our latest blog posts.

Customers Who Bought This Also Bought

Contact Information

Product PDFs

Calculators

Concentration Calculator

The concentration calculator allows you to quickly calculate the volume, mass or concentration of your vial. Simply enter your mass, volume, or concentration values for your reagent and the calculator will determine the rest.

=
÷

Recent Reviews

4
5
0
4
1
3
0
2
0
1
0

Haopei Zhang
02/21/2019
Application:  IHC-P
Species: Human

Bioinformatics

Gene Symbol DDX24
Entrez
Uniprot