Bromodeoxyuridine/BrdU Antibody (BU20a) - Azide and BSA Free

Images

 
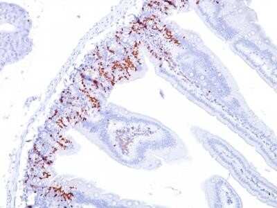
Immunohistochemistry-Paraffin: Bromodeoxyuridine/BrdU Antibody (BU20a) - Azide and BSA Free [NBP2-34567] - Formalin-fixed, paraffin-embedded Mouse Small Intestine stained with BrdU Monoclonal Antibody (BU20a).

Product Details

Summary
Reactivity All-NASpecies Glossary
Applications Flow, ICC/IF, IHC, CyTOF-ready
Clone
BU20a
Clonality
Monoclonal
Host
Mouse
Conjugate
Unconjugated
Format
Azide and BSA Free
Concentration
1.0 mg/ml

Order Details

Bromodeoxyuridine/BrdU Antibody (BU20a) - Azide and BSA Free Summary

Description
1.0 mg/ml of antibody purified from Bioreactor Concentrate by Protein A/G. Prepared in 10mM PBS WITHOUT BSA & azide. Also available at 200 ug/ml WITH BSA & azide (NBP2-32922).

Antibody with azide - store at 2 to 8C. Antibody without azide - store at -20 to -80C.
Immunogen
Bromodeoxyuridine/BrdU conjugated to KLH
Localization
Nuclear
Marker
Proliferation Marker
Specificity
It reacts with Bromodeoxyuridine (BrdU) in single stranded DNA (produced by partial denaturation of double stranded DNA), BrdU coupled to a protein carrier, as well as free BrdU. BrdU is a thymidine analog, incorporated into cell nuclei during DNA synthesis prior to mitosis. Antibody to BrdU is helpful in detecting S-phase cells, providing useful information on the aggressiveness of tumors.
Isotype
IgG1 Kappa
Clonality
Monoclonal
Host
Mouse
Purity
Protein A or G purified
Innovator's Reward
Test in a species/application not listed above to receive a full credit towards a future purchase.

Applications/Dilutions

Dilutions
  • CyTOF-ready
  • Flow Cytometry 0.5-1ug/million cells
  • Immunocytochemistry/ Immunofluorescence 0.5-1ug/mlimmunohistochemistry-Paraffin 0.5-1ug/ml
  • Immunohistochemistry
  • Immunohistochemistry-Paraffin 0.5-1ug/ml
Application Notes
Immunohistochemistry (Formalin-fixed): 1-2ug/ml for 30 minutes at RT. For staining of formalin-fixed tissues, incubate sections in 4N HCl for 30 minutes at RT followed by digestion with trypsin at 1mg/ml PBS, 10 min at 37C.
Optimal dilution for a specific application should be determined.

Packaging, Storage & Formulations

Storage
Store at -20 to -80C. Avoid freeze-thaw cycles.
Buffer
10 mM PBS
Preservative
No Preservative
Concentration
1.0 mg/ml
Purity
Protein A or G purified

Alternate Names for Bromodeoxyuridine/BrdU Antibody (BU20a) - Azide and BSA Free

  • 5-bromo-2-deoxyuridine
  • BrdU
  • Bromodeoxyuridine
  • BUdr

Background

Bromodeoxyuridine (BrdU) is a synthetic nucleoside analogue of thymidine which can be incorporated into DNA in proliferating cells. During mitosis, BrdU may be incorporated into the newly synthezised DNA of S-phase cells, and can therefore provide an estimate for the fraction of cells in S-phase. Labeling cells with BrdU and then screening with BrdU antibodies has become a powerful tool to study the cytokinetics of normal and neoplastic cells. In vivo, BrdU is considered a potential carcinogen, as its incorporation into DNA may cause mutations.

Limitations

This product is for research use only and is not approved for use in humans or in clinical diagnosis. Primary Antibodies are guaranteed for 1 year from date of receipt.

Publications for Bromodeoxyuridine/BrdU Antibody (NBP2-34567) (0)

There are no publications for Bromodeoxyuridine/BrdU Antibody (NBP2-34567).
By submitting your publication information earn gift cards and discounts for future purchases.

Reviews for Bromodeoxyuridine/BrdU Antibody (NBP2-34567) (0)

There are no reviews for Bromodeoxyuridine/BrdU Antibody (NBP2-34567). By submitting a review you will receive an Amazon e-Gift Card or Novus Product Discount.
  • Review with no image -- $10/€7/£6/$10 CAD/¥70 Yuan/¥1110 Yen
  • Review with an image -- $25/€18/£15/$25 CAD/¥150 Yuan/¥2500 Yen

Product General Protocols

Find general support by application which include: protocols, troubleshooting, illustrated assays, videos and webinars.

Video Protocols

ICC/IF Video Protocol

FAQs for Bromodeoxyuridine/BrdU Antibody (NBP2-34567). (Showing 1 - 1 of 1 FAQ).

  1. I have been using your BrdU antibody for some time now and saw that you have discontinued it. I was wondering if you had any alternative antibodies that would also work? it is antibody NB500-169 lot# 1706-5
    • We recommend this product: NB500-235​

Secondary Antibodies

 

Isotype Controls

Additional Bromodeoxyuridine/BrdU Products

Research Areas for Bromodeoxyuridine/BrdU Antibody (NBP2-34567)

Find related products by research area.

Blogs on Bromodeoxyuridine/BrdU.

Developmental regulator Daam2 promotes glial cell tumors by degrading Von Hippel-Lindau protein
By Jamshed Arslan Pharm.D. Glioblastoma is an aggressive type of cancer that forms from the star-shaped glial cells of the central nervous system, called astrocytes. Intriguingly, several genes linked to glioblasto...  Read full blog post.

BrDU (Bromodeoxyuridine)
The thymidine synthetic nucleoside analogue bromodeoxyuridine (BrdU) has a long, colorful history of repeated use in molecular and cytokinetic studies, as detailed in reviews by Vanderlaan and Dolbeare (1,2).  Because BrDU is only incorporated in...  Read full blog post.

Customers Who Bought This Also Bought

Contact Information

Product PDFs

Calculators

Concentration Calculator

The concentration calculator allows you to quickly calculate the volume, mass or concentration of your vial. Simply enter your mass, volume, or concentration values for your reagent and the calculator will determine the rest.

=
÷

Review this Product

Be the first to review our Bromodeoxyuridine/BrdU Antibody (BU20a) - Azide and BSA Free and receive a gift card or discount.