Filter ResultsClear All
clearclear

Protein/Target

clearclearclear

Citation

clearclearclearclear

Modification

clearclearclearclearclear

Has Sample Size

clear

Promotional Item

Sort By:
page of 1

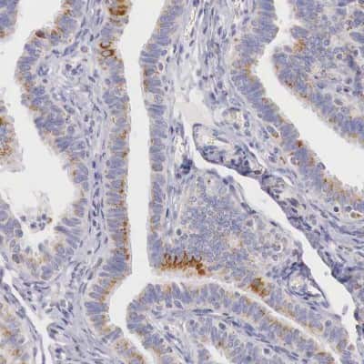
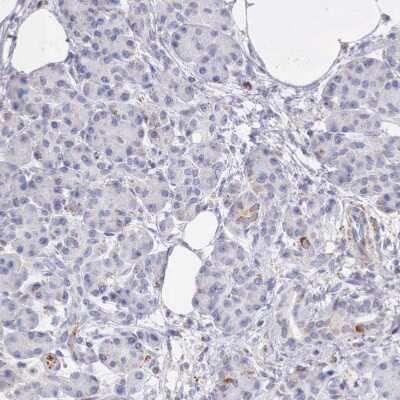
IDH3G Antibodies

We offer IDH3G Antibodies for use in common research applications: ELISA, Immunocytochemistry/Immunofluorescence, Immunohistochemistry, Immunohistochemistry-Paraffin, Peptide ELISA, Sandwich ELISA, Western Blot. Each IDH3G Antibody is fully covered by our Guarantee+, to give you complete peace of mind and the support when you need it. Our IDH3G Antibodies can be used in a variety of model species: Human, Mouse, Rat. Use the list below to choose the IDH3G Antibody which is most appropriate for your research; you can click on each one to view full technical details, images, references, reviews and related products. Choose from our IDH3G polyclonal antibodies and browse our IDH3G monoclonal antibody catalog.
Alternate Names for IDH3G Antibodies
anti-IDH3G antibody, anti-EC 1.1.1 antibody, anti-EC 1.1.1.41 antibody, anti-H-IDHG antibody, anti-IDH-gamma antibody, anti-isocitrate dehydrogenase 3 (NAD+) gamma antibody, anti-isocitrate dehydrogenase, NAD(+)-specific, mitochondrial, gamma subunit antibody, anti-mitochondrial antibody, anti-NAD (H)-specific isocitrate dehydrogenase gamma subunit antibody, anti-NAD+-specific ICDH antibody
8 Results for "idh3g" in Primary Antibodies
Hu, Mu, Rt
Species Glossary
Reactivity: Hu, Mu, Rt
WB, ICC/IF, IHC
Applications: WB, ICC/IF, IHC
Rabbit Polyclonal
Host: Rabbit Polyclonal
Sample Size Available
Sizes: Sample Size Available
Unconjugated  
Available Formulations
Formulation Catalog # Availability Price  
compare
(select up to 3 products from this page to compare)
Hu, Mu, Rt
Species Glossary
Reactivity: Hu, Mu, Rt
WB, ICC/IF, IHC
Applications: WB, ICC/IF, IHC
Rabbit Polyclonal
Host: Rabbit Polyclonal
Sample Size Available
Sizes: Sample Size Available
Unconjugated  
Available Formulations
Formulation Catalog # Availability Price  
compare
(select up to 3 products from this page to compare)
Hu, Mu, Rt, Po, Bv, Ca
Species Glossary
Reactivity: Hu, Mu, Rt, Po, Bv, Ca
WB, ELISA
Applications: WB, ELISA
Goat Polyclonal
Host: Goat Polyclonal
Unconjugated  
compare
(select up to 3 products from this page to compare)
100 μg
Hu, Mu
Species Glossary
Reactivity: Hu, Mu
WB, ELISA, IHC
Applications: WB, ELISA, IHC
Rabbit Polyclonal
Host: Rabbit Polyclonal
Unconjugated  
compare
(select up to 3 products from this page to compare)
100 ul
Hu
Species Glossary
Reactivity: Hu
IHC
Applications: IHC
Rabbit Polyclonal
Host: Rabbit Polyclonal
Sample Size Available
Sizes: Sample Size Available
Unconjugated  
Available Conjugates:
Available Formulations
Formulation Catalog # Availability Price  
compare
(select up to 3 products from this page to compare)
0.1 mg
Hu
Species Glossary
Reactivity: Hu
ELISA
Applications: ELISA
Mouse Monoclonal
Host: Mouse Monoclonal
Unconjugated  
compare
(select up to 3 products from this page to compare)
page of 1