ZNF177 Products

Antibodies
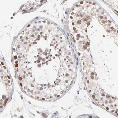
ZNF177 Antibody - Azide and B ...
ZNF177 Antibody - Azide and BSA Free
NBP3-05074
Species: Hu, Mu, Rt
Applications: ICC/IF, IHC
Host: Rabbit Polyclonal
Formulation Catalog # Availability Price  
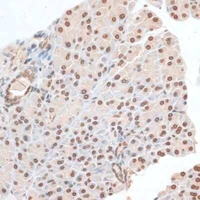
ZNF177 Antibody - BSA Free
ZNF177 Antibody - BSA Free
NBP1-86523
Species: Hu
Applications: IHC
Host: Rabbit Polyclonal
Formulation Catalog # Availability Price  
ZNF177 Antibody - BSA Free
ZNF177 Antibody - BSA Free
NBP2-20965
Species: Hu, Bv, RM
Applications: WB
Host: Rabbit Polyclonal
Lysates
ZNF177 Overexpression Lysate
ZNF177 Overexpression Lysate
NBL1-18071
Species: Hu
Applications: WB
Proteins
Recombinant Human ZNF177 GST ...
Recombinant Human ZNF177 GST (N-Te...
H00007730-P01
Species: Hu
Applications: WB, ELISA, MA, AP
ZNF177 Recombinant Protein An ...
ZNF177 Recombinant Protein Antigen
NBP1-86523PEP
Species: Hu
Applications: AC

Description

ZNF177 may be involved in transcriptional regulation

Bioinformatics

Entrez Human
Uniprot Human
Human
Human
Product By Gene ID 7730
Alternate Names
  • PIGX
  • zinc finger protein 177