VGLUT1 Products

Antibodies
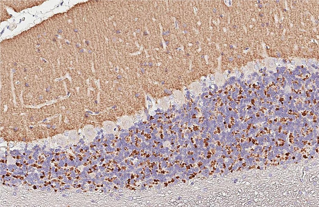
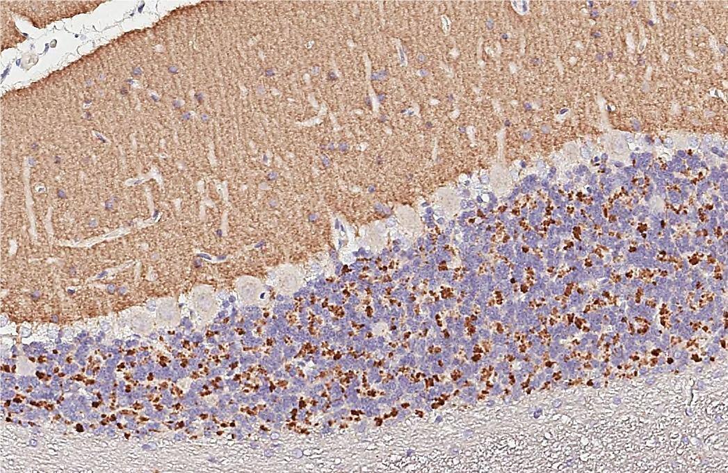
VGLUT1 Antibody - BSA Free
VGLUT1 Antibody - BSA Free
Species: Hu, Mu, Rt, Bv
Applications: WB, ICC/IF, IHC
Host: Rabbit Polyclonal
Proteins
Recombinant Human VGLUT1 GST ...
Recombinant Human VGLUT1 GST (N-Te...
H00057030-P01
Species: Hu
Applications: WB, ELISA, MA, AP
VGLUT1 Recombinant Protein An ...
VGLUT1 Recombinant Protein Antigen
NBP2-46627PEP
Species: Hu
Applications: AC
VGLUT1 Recombinant Protein An ...
VGLUT1 Recombinant Protein Antigen
NBP2-33597PEP
Species: Hu
Applications: AC

Description

VGLUT1 is expressed in a subset of glutamate neurons and transports glutamate into native synaptic vesicles from the brain, exhibiting a conductance for chloride that is blocked by glutamate. Vesicular glutamate transport has a substantially lower apparent affinity than the plasma membrane excitatory amino acid transporters. Glutamate transport by VGLUT1 is saturated with a K(m) of approximately 2 mM, in the same range as transport by synaptic vesicles. Finally, plasma membrane glutamate transporters recognize both aspartate and glutamate as substrates, whereas VGLUT1 does not recognize aspartate.

Bioinformatics

Entrez Rat
Human
Mouse
Uniprot Human
Rat
Human
Product By Gene ID 57030
Alternate Names
  • BNPIbrain-specific Na-dependent inorganic phosphate cotransporter
  • Brain-specific Na(+)-dependent inorganic phosphate cotransporter
  • member 7
  • solute carrier family 17 (sodium-dependent inorganic phosphate cotransporter)
  • Solute carrier family 17 member 7
  • VGluT1
  • VGLUT1vesicular glutamate transporter 1