Skip to main content
Support: 1-888-506-6887
Items in Cart (
0
)
[X]
Quick Order
Account
COVID-19 Research Tools
Antibodies
Primary Antibodies
Conjugated Antibodies
Sample Size Antibodies
KO Validated Antibodies
Recombinant Antibodies
Antibody Sampler Packs
Antibody Pairs
Secondary Antibodies
Isotype Control Antibodies
Proteins and Peptides
Peptides & Proteins
Blocking Peptides
Biologically Active Proteins
Lysates and Cell Lines
Lysates
Stem Cell Lines
Kits
Antibody Labeling Kits
ChIP Kits
ELISA Kits
Flow Cytometry Kits
Activators and Inhibitors
Inhibitors
Activators
Support Products
Exosome Isolation
Flow Cytometry Beads
IHC Tissue Slides
IHC Microarrays
Western Blot Gels & Buffers
Western Blot Membranes
All Support Products
Bulk and Custom
Products
Our Protocols
Resources
Protocols
Video Protocols
Troubleshooting Guides
Posters and Literature
Handbooks and Guides
Calculators
FAQs
Blogs
Diseases
Whitepapers
Webinars
Tools
Spectra Viewer
Flow Cytometry Panel Builder
Application
ELISA
Flow Cytometry
Mass Cytometry (CyTOF)
ICC
IHC
Western Blotting
Interviews
Faculty
Postdoc
Resources
View Pathways
By Research Area
Apoptosis
Autophagy
Cancer
Cell Biology
Cellular Markers
Epigenetics
Epitope Tags
Exosomes Research
Hypoxia
Immunology
Microbiology
Neuroscience
Stem Cells
By Pathway
AKT
Apoptosis
Autophagy
ERK1/2/5 Pathway
Hedgehog
Hippo
JNK Pathway
mTOR
Necroptosis
NFKB Signaling
p38 Signaling
TGF Beta
TLR
Research Areas
Get Rewards
Customer Care
100% Guarantee
Risk Free Testing
Novus Rewards Program
Publication Rewards Program
Scholarship
Travel Grants
Customer Care
Novus Careers
About us
Careers
Collaborations
Events
Novus Story
Our Team
Philanthropy
Press Releases
Why choose Novus
About Us
Contact Us
Customer Service
Distributors
Technical Support
Contact
Home
» Uroplakin Ib Products
Uroplakin Ib Products
Uroplakin Ib Antibodies (19)
Uroplakin Ib Proteins (3)
Antibodies
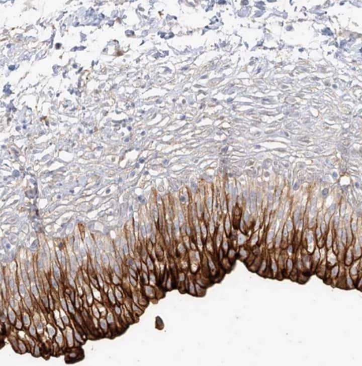
Uroplakin Ib Antibody - BSA F ...
Uroplakin Ib Antibody - BSA Free
NBP1-80656
(1 Review)
(2 Publications)
Species:
Hu, Mu
Applications:
WB, IHC
Host:
Rabbit Polyclonal
Formulations
Formulation
Catalog #
Availability
Price
BSA Free
NBP1-80656-25ul
Uroplakin Ib Antibody - BSA F ...
Uroplakin Ib Antibody - BSA Free
NBP1-80657
(2 Publications)
Species:
Hu, Mu
Applications:
IHC
Host:
Rabbit Polyclonal
Formulations
Formulation
Catalog #
Availability
Price
BSA Free
NBP1-80657-25ul
Uroplakin Ib Antibody - BSA F ...
Uroplakin Ib Antibody - BSA Free
NBP2-81768
(1 Publication)
Species:
Hu, Mu, Rt, Bv
Applications:
WB, ELISA, ICC/IF, IHC
Host:
Rabbit Polyclonal
Conjugates
Conjugate
Catalog #
Availability
Size
Price
Alexa Fluor 350
NBP2-81768AF350
Alexa Fluor 405
NBP2-81768AF405
Alexa Fluor 488
NBP2-81768AF488
Alexa Fluor 532
NBP2-81768AF532
Alexa Fluor 594
NBP2-81768AF594
Alexa Fluor 647
NBP2-81768AF647
Alexa Fluor 700
NBP2-81768AF700
Alexa Fluor 750
NBP2-81768AF750
Alexa Fluor Plus 405
NBP2-81768AFP405
Alexa Fluor Plus 488
NBP2-81768AFP488
Alexa Fluor Plus 555
NBP2-81768AFP555
Alexa Fluor Plus 594
NBP2-81768AFP594
Alexa Fluor Plus 647
NBP2-81768AFP647
Alexa Fluor Plus 680
NBP2-81768AFP680
Allophycocyanin
NBP2-81768APC
Biotin
NBP2-81768B
CoraFluor 1
NBP2-81768CL1
DyLight 350
NBP2-81768UV
DyLight 405
NBP2-81768V
DyLight 488
NBP2-81768G
DyLight 550
NBP2-81768R
DyLight 594
NBP2-81768DL594
DyLight 650
NBP2-81768C
DyLight 680
NBP2-81768FR
DyLight 755
NBP2-81768IR
FITC
NBP2-81768F
HRP
NBP2-81768H
Janelia Fluor 525
NBP2-81768JF525
Janelia Fluor 549
NBP2-81768JF549
Janelia Fluor 646
NBP2-81768JF646
Janelia Fluor 669
NBP2-81768JF669
PE
NBP2-81768PE
PerCP
NBP2-81768PCP
mFluor Violet 450 SE
NBP2-81768MFV450
mFluor Violet 500 SE
NBP2-81768MFV500
mFluor Violet 610 SE
NBP2-81768MFV610
Read More
Read More
Read More
We have 19 Uroplakin Ib Antibodies
Proteins
Recombinant Human Uroplakin I ...
Recombinant Human Uroplakin Ib GST...
H00007348-Q01
Species:
Hu
Applications:
WB, ELISA, MA, AP
Uroplakin Ib Recombinant Prot ...
Uroplakin Ib Recombinant Protein A...
NBP1-80656PEP
Species:
Hu
Applications:
AC
Uroplakin Ib Recombinant Prot ...
Uroplakin Ib Recombinant Protein A...
NBP1-80657PEP
Species:
Hu
Applications:
AC
Read More
Read More
Read More
We have 3 Uroplakin Ib Proteins
Description
UPK1B - uroplakin 1B
Bioinformatics
Entrez
7348
Human
Uniprot
NP_008883
Human
Product By Gene ID
7348
Alternate Names
Tetraspanin-20
tetraspanin-20
tspan-20
Tspan-20
TSPAN20tetraspan
UP1b
UPIB
UPIb
UPK1
uroplakin 1B
Uroplakin Ib
uroplakin-1b
Need help?
×
How can we help you?
Close
Start Chat