Skip to main content
Support: 1-888-506-6887
Items in Cart (
0
)
[X]
Quick Order
Account
COVID-19 Research Tools
Antibodies
Primary Antibodies
Conjugated Antibodies
Sample Size Antibodies
KO Validated Antibodies
Recombinant Antibodies
Antibody Sampler Packs
Antibody Pairs
Secondary Antibodies
Isotype Control Antibodies
Proteins and Peptides
Peptides & Proteins
Blocking Peptides
Biologically Active Proteins
Lysates and Cell Lines
Lysates
Stem Cell Lines
Kits
Antibody Labeling Kits
ChIP Kits
ELISA Kits
Flow Cytometry Kits
Activators and Inhibitors
Inhibitors
Activators
Support Products
Exosome Isolation
Flow Cytometry Beads
IHC Tissue Slides
IHC Microarrays
Western Blot Gels & Buffers
Western Blot Membranes
All Support Products
Bulk and Custom
Products
Our Protocols
Resources
Protocols
Video Protocols
Troubleshooting Guides
Posters and Literature
Handbooks and Guides
Calculators
FAQs
Blogs
Diseases
Whitepapers
Webinars
Tools
Spectra Viewer
Flow Cytometry Panel Builder
Application
ELISA
Flow Cytometry
Mass Cytometry (CyTOF)
ICC
IHC
Western Blotting
Interviews
Faculty
Postdoc
Resources
View Pathways
By Research Area
Apoptosis
Autophagy
Cancer
Cell Biology
Cellular Markers
Epigenetics
Epitope Tags
Exosomes Research
Hypoxia
Immunology
Microbiology
Neuroscience
Stem Cells
By Pathway
AKT
Apoptosis
Autophagy
ERK1/2/5 Pathway
Hedgehog
Hippo
JNK Pathway
mTOR
Necroptosis
NFKB Signaling
p38 Signaling
TGF Beta
TLR
Research Areas
Get Rewards
Customer Care
100% Guarantee
Risk Free Testing
Novus Rewards Program
Publication Rewards Program
Scholarship
Travel Grants
Customer Care
Novus Careers
About us
Careers
Collaborations
Events
Novus Story
Our Team
Philanthropy
Press Releases
Why choose Novus
About Us
Contact Us
Customer Service
Distributors
Technical Support
Contact
Home
» TET2 Products
TET2 Products
TET2 Antibodies (12)
TET2 Protein (1)
Antibodies
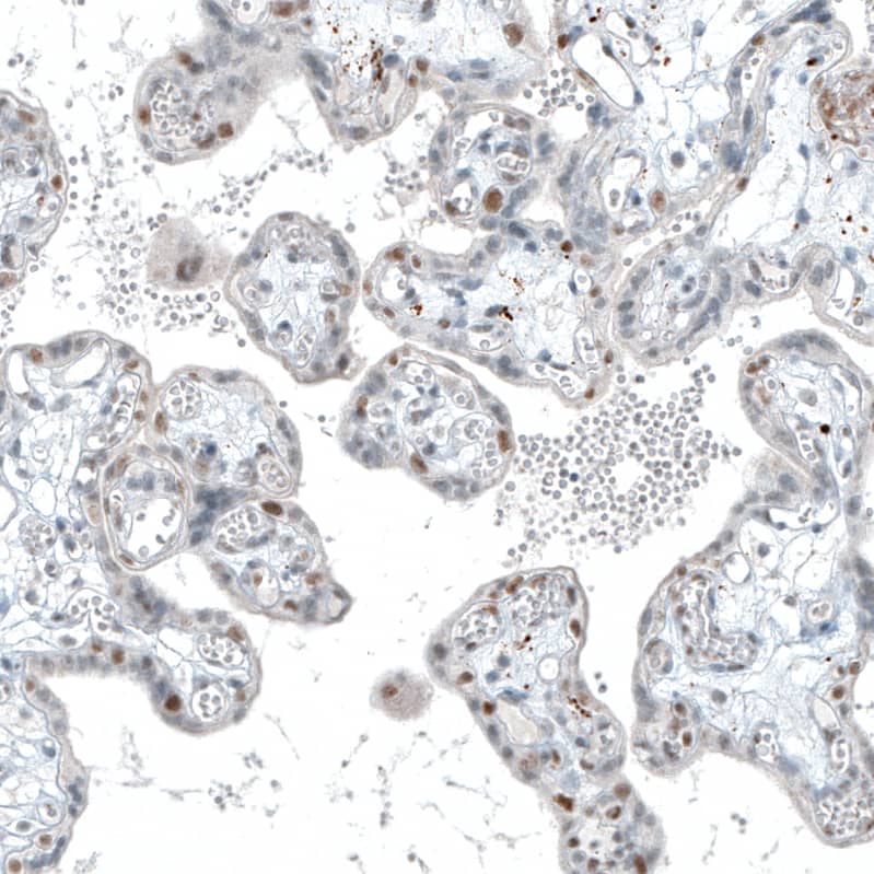
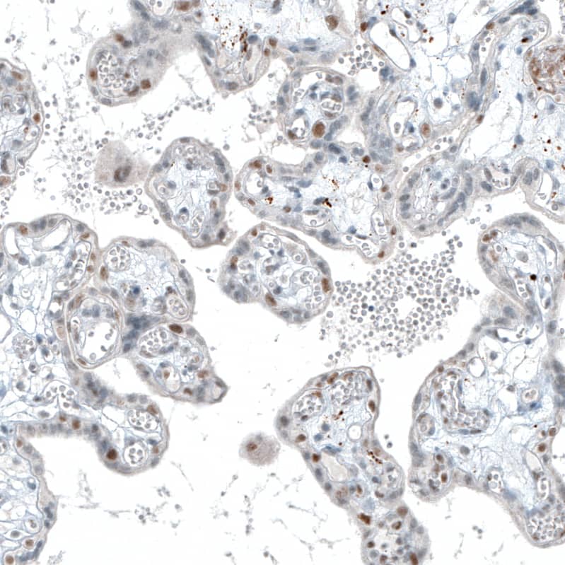
TET2 Antibody - BSA Free
TET2 Antibody - BSA Free
NBP2-32104
(1 Review)
(6 Publications)
Species:
Hu
Applications:
WB, IHC, IP
Host:
Rabbit Polyclonal
Conjugates
Conjugate
Catalog #
Availability
Size
Price
Alexa Fluor 350
NBP2-32104AF350
Alexa Fluor 405
NBP2-32104AF405
Alexa Fluor 488
NBP2-32104AF488
Alexa Fluor 532
NBP2-32104AF532
Alexa Fluor 594
NBP2-32104AF594
Alexa Fluor 647
NBP2-32104AF647
Alexa Fluor 700
NBP2-32104AF700
Alexa Fluor 750
NBP2-32104AF750
Alexa Fluor Plus 405
NBP2-32104AFP405
Alexa Fluor Plus 488
NBP2-32104AFP488
Alexa Fluor Plus 555
NBP2-32104AFP555
Alexa Fluor Plus 594
NBP2-32104AFP594
Alexa Fluor Plus 647
NBP2-32104AFP647
Alexa Fluor Plus 680
NBP2-32104AFP680
Allophycocyanin
NBP2-32104APC
Biotin
NBP2-32104B
CoraFluor 1
NBP2-32104CL1
DyLight 350
NBP2-32104UV
DyLight 405
NBP2-32104V
DyLight 488
NBP2-32104G
DyLight 550
NBP2-32104R
DyLight 594
NBP2-32104DL594
DyLight 650
NBP2-32104C
DyLight 680
NBP2-32104FR
DyLight 755
NBP2-32104IR
FITC
NBP2-32104F
HRP
NBP2-32104H
Janelia Fluor 525
NBP2-32104JF525
Janelia Fluor 549
NBP2-32104JF549
Janelia Fluor 646
NBP2-32104JF646
Janelia Fluor 669
NBP2-32104JF669
PE
NBP2-32104PE
PerCP
NBP2-32104PCP
mFluor Violet 450 SE
NBP2-32104MFV450
mFluor Violet 500 SE
NBP2-32104MFV500
mFluor Violet 610 SE
NBP2-32104MFV610
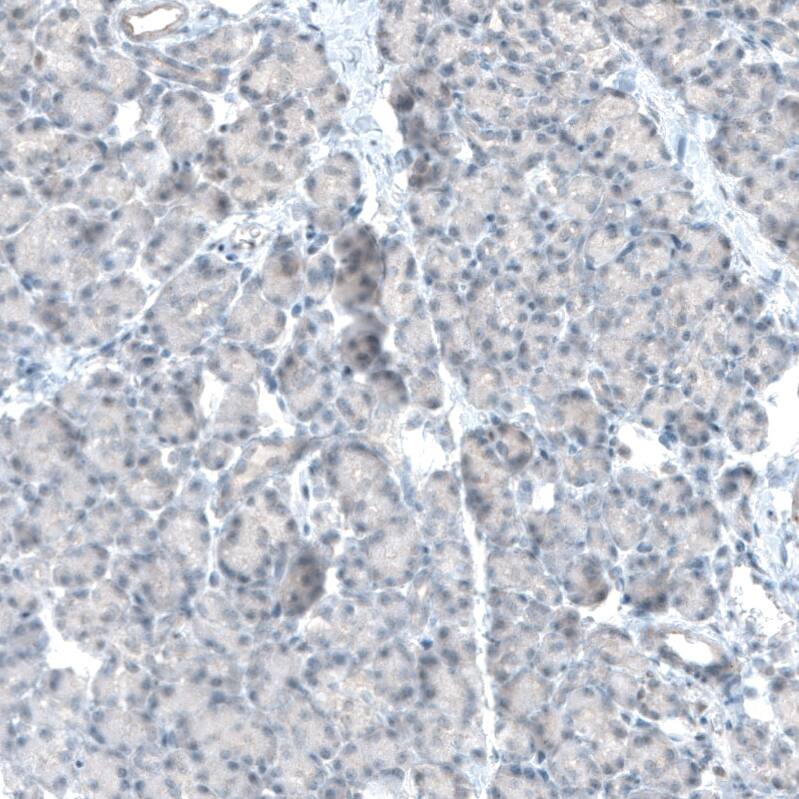
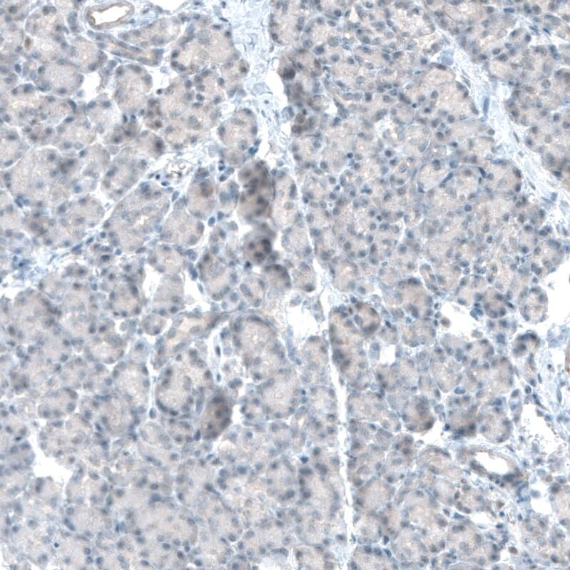
TET2 Antibody (CL6873)
TET2 Antibody (CL6873)
NBP3-52056
Species:
Hu
Applications:
WB, ICC/IF, IHC
Host:
Mouse Monoclonal
TET2 Antibody (CL6873) - BSA ...
TET2 Antibody (CL6873) - BSA Free
NBP2-76510
Species:
Hu
Applications:
WB, ICC/IF, IHC
Host:
Mouse Monoclonal
Conjugates
Conjugate
Catalog #
Availability
Size
Price
Alexa Fluor 350
NBP3-44224AF350
Alexa Fluor 405
NBP3-44224AF405
Alexa Fluor 488
NBP3-44224AF488
Alexa Fluor 532
NBP3-44224AF532
Alexa Fluor 594
NBP3-44224AF594
Alexa Fluor 647
NBP3-44224AF647
Alexa Fluor 700
NBP3-44224AF700
Alexa Fluor 750
NBP3-44224AF750
Alexa Fluor Plus 405
NBP3-44224AFP405
Alexa Fluor Plus 488
NBP3-44224AFP488
Alexa Fluor Plus 555
NBP3-44224AFP555
Alexa Fluor Plus 594
NBP3-44224AFP594
Alexa Fluor Plus 647
NBP3-44224AFP647
Alexa Fluor Plus 680
NBP3-44224AFP680
Allophycocyanin
NBP3-44224APC
Biotin
NBP3-44224B
CoraFluor 1
NBP3-44224CL1
DyLight 350
NBP3-44224UV
DyLight 405
NBP3-44224V
DyLight 488
NBP3-44224G
DyLight 550
NBP3-44224R
DyLight 594
NBP3-44224DL594
DyLight 650
NBP3-44224C
DyLight 680
NBP3-44224FR
DyLight 755
NBP3-44224IR
FITC
NBP3-44224F
HRP
NBP3-44224H
Janelia Fluor 525
NBP3-44224JF525
Janelia Fluor 549
NBP3-44224JF549
Janelia Fluor 646
NBP3-44224JF646
Janelia Fluor 669
NBP3-44224JF669
PE
NBP3-44224PE
PerCP
NBP3-44224PCP
mFluor Violet 450 SE
NBP3-44224MFV450
mFluor Violet 500 SE
NBP3-44224MFV500
mFluor Violet 610 SE
NBP3-44224MFV610
Formulations
Formulation
Catalog #
Availability
Price
Azide and BSA Free
NBP3-44224
BSA Free
NBP2-76510-25ul
Read More
Read More
Read More
We have 12 TET2 Antibodies
Proteins
TET2 Antibody Blocking Peptid ...
TET2 Antibody Blocking Peptide
NBP2-27465PEP
Species:
Hu
Applications:
AC
Read More
We have 1 TET2 Protein
Bioinformatics
Uniprot
Q6N021
Human
Product By Gene ID
54790
Alternate Names
FLJ20032
KIAA1546
MGC125715
Nbla00191
tet methylcytosine dioxygenase 2
TET2
Need help?
×
How can we help you?
Close
Start Chat