RFX1 Products

Antibodies
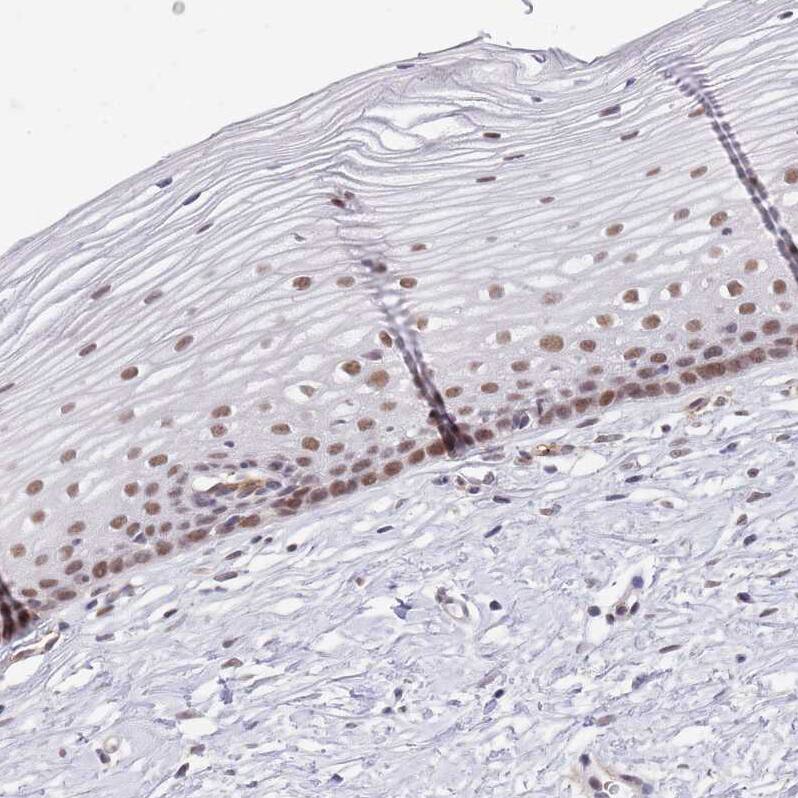
RFX1 Antibody
RFX1 Antibody
NBP1-52654
Species: Hu, Mu
Applications: WB, IHC, IP
Host: Rabbit Polyclonal
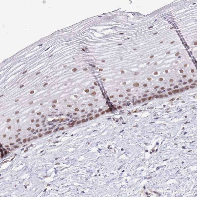
RFX1 Antibody - BSA Free
RFX1 Antibody - BSA Free
NBP2-13223
Species: Hu
Applications: ICC/IF, IHC
Host: Rabbit Polyclonal
Formulation Catalog # Availability Price  
Proteins
RFX1 Recombinant Protein Anti ...
RFX1 Recombinant Protein Antigen
NBP3-17759PEP
Species: Hu
Applications: AC
RFX1 Recombinant Protein Anti ...
RFX1 Recombinant Protein Antigen
NBP2-13223PEP
Species: Hu
Applications: AC

Description

RFX1, also known as MHC class II regulatory factor RFX1, is a 105 kDa 979 amino acid protein found in the nucleus. The gene plays a significant role in the gene expression of MHC class II. Current research on RFX1 is being conducted in relation to hepatitis, leukemia, neuroblastoma , sickle cell anemia and adenocarcinoma. RFX1 has been linked to the methlation, immune response, spermatogenesis and localization pathways where it interacts with TADA3, SMAD1, HDAC1, ADD1 and SMAD9.

Bioinformatics

Entrez Human
Uniprot Human
Human
Product By Gene ID 5989
Alternate Names
  • EFC
  • EF-C
  • Enhancer factor C
  • MHC class II regulatory factor RFX
  • MHC class II regulatory factor RFX1
  • Regulatory factor X 1
  • regulatory factor X, 1 (influences HLA class II expression)
  • RFX
  • trans-acting regulatory factor 1
  • Transcription factor RFX1