Pepsinogen I Products

Antibodies
Pepsinogen I Antibody (HL2137 ...
Pepsinogen I Antibody (HL2137) - A...
NBP3-25594
Species: Hu, Mu, Rt
Applications: WB, ELISA, ICC/IF, IHC
Host: Rabbit Monoclonal
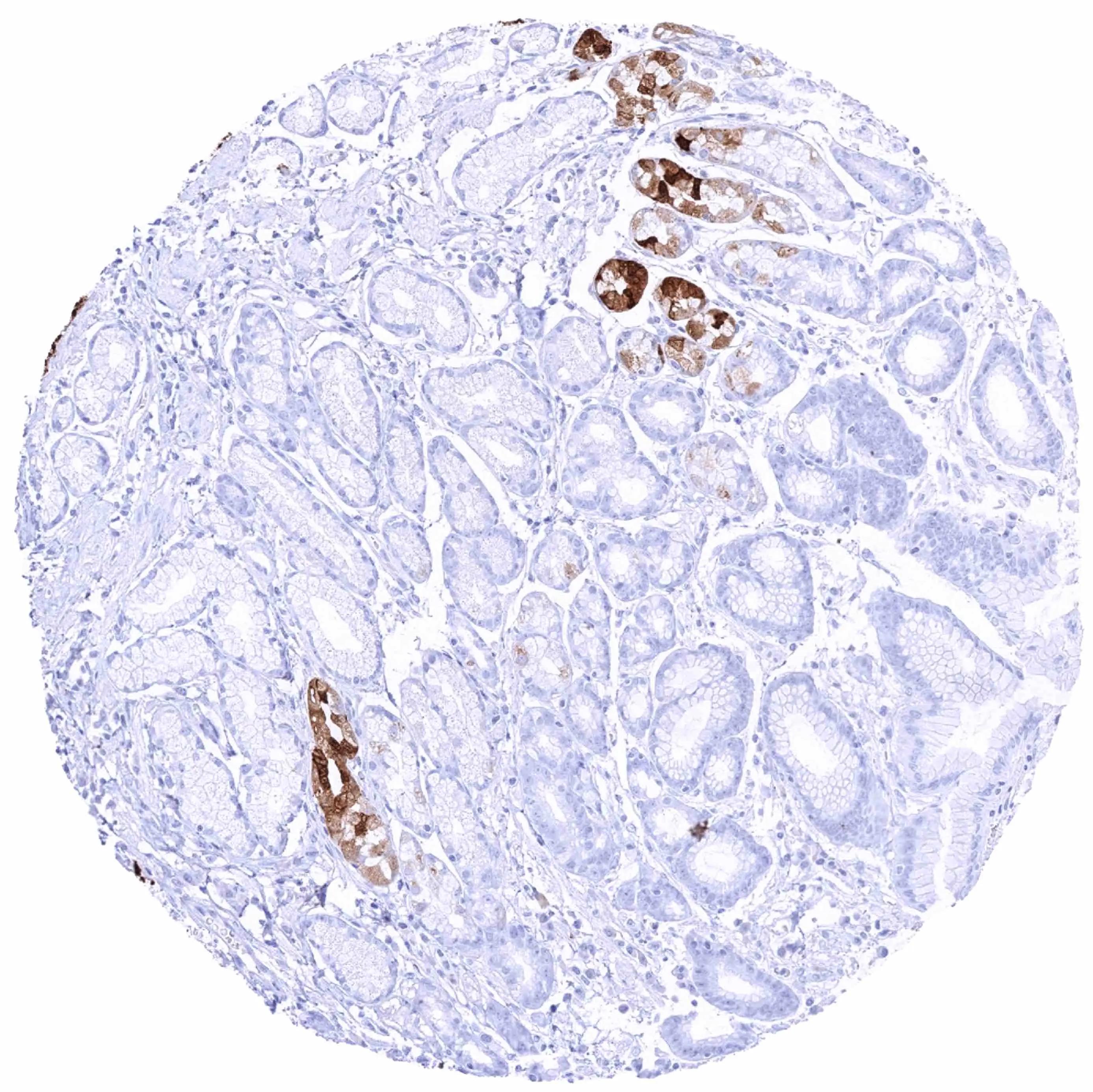
Pepsinogen I Antibody (HMV318 ...
Pepsinogen I Antibody (HMV318)
NBP3-48802
Species: Hu
Applications: IHC
Host: Rabbit Monoclonal
Proteins
Pepsinogen I Recombinant Prot ...
Pepsinogen I Recombinant Protein A...
NBP2-54730PEP
Species: Hu
Applications: AC

Description

Pepsinogen consists of a single polypeptide chain of 375 amino acids with an average molecular weight of 42 kDa. Pepsinogen I is synthesized by gastric chief cells and mucous neck cells.

Bioinformatics

Product By Gene ID 643834
Alternate Names
  • pepsinogen 3, group I (pepsinogen A)