IGSF6/DORA Products

Antibodies
IGSF6/DORA Antibody (104A10.0 ...
IGSF6/DORA Antibody (104A10.01) - ...
DDX0220P-100
Species: Hu, Mu, Ca
Applications: WB, Flow, IP
Host: Mouse Monoclonal
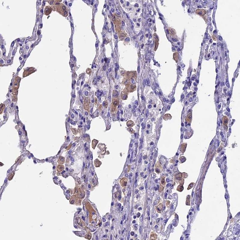
IGSF6/DORA Antibody - BSA Fre ...
IGSF6/DORA Antibody - BSA Free
NBP1-84061
Species: Hu
Applications: WB, IHC
Host: Rabbit Polyclonal
Formulation Catalog # Availability Price  
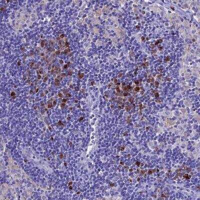
IGSF6/DORA Antibody
IGSF6/DORA Antibody
NBP1-84060
Species: Hu
Applications: WB, ICC/IF, IHC
Host: Rabbit Polyclonal
Lysates
IGSF6/DORA Overexpression Lys ...
IGSF6/DORA Overexpression Lysate
NBL1-11884
Species: Hu
Applications: WB
Proteins
Recombinant Human IGSF6/DORA ...
Recombinant Human IGSF6/DORA GST (...
H00010261-P01
Species: Hu
Applications: WB, ELISA, MA, AP
IGSF6/DORA Recombinant Protei ...
IGSF6/DORA Recombinant Protein Ant...
NBP1-84061PEP
Species: Hu
Applications: AC

Description

DORA stands for down-regulated by activation.The Immunoglobulin Superfamily (IgSF) is a group of proteins that are involved in the recognition, binding, or adhesion processes of cells. IgSF proteins got their name because they possess an immunoglobulin (Ig) domain. DORA is also known as protein Immunoglobulin superfamily member 6. Immunoglobulin Superfamily Member 6, IGSF6, has been localized to a locus linked with inflammatory bowel disease; however, studies have shown that it lacks an association to the condition.

Bioinformatics

Entrez Human
Uniprot Human
Human
Human
Product By Gene ID 10261
Alternate Names
  • DORAdown-regulated by activation (immunoglobulin superfamily)
  • IgSF6
  • immunoglobulin superfamily member 6
  • immunoglobulin superfamily, member 6
  • Protein DORA