GAD1/GAD67 Products

Antibodies
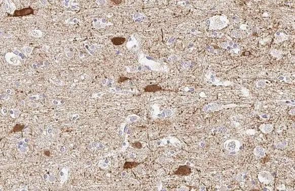
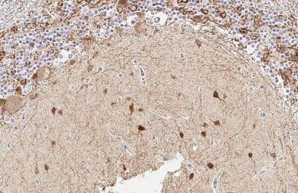
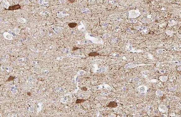
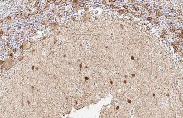
GAD1/GAD67 Antibody (HL1096) ...
GAD1/GAD67 Antibody (HL1096) - Azi...
Species: Hu, Mu, Rt, Ca, Fe, Ze
Applications: WB, IHC, IHC
Host: Rabbit Monoclonal
ELISA Kits
Human GAD1/GAD67 ELISA Kit (C ...
Human GAD1/GAD67 ELISA Kit (Colori...
NBP2-67965
Species: Hu
Applications: ELISA
Human GAD1/GAD67 ELISA Kit (C ...
Human GAD1/GAD67 ELISA Kit (Chemil...
NBP2-67964
Species: Hu
Applications: ELISA
Rat GAD1/GAD67 ELISA Kit (Col ...
Rat GAD1/GAD67 ELISA Kit (Colorime...
NBP3-42509
Species: Rt
Applications: ELISA
Lysates
GAD1/GAD67 Overexpression Lys ...
GAD1/GAD67 Overexpression Lysate
NBL1-10933
Species: Hu
Applications: WB
Proteins
Recombinant Human GAD1/GAD67 ...
Recombinant Human GAD1/GAD67 His P...
NBP2-51849
Species: Hu
Applications: PAGE
Recombinant Human GAD1/GAD67 ...
Recombinant Human GAD1/GAD67 His P...
NBP2-51655
Species: Hu
Applications: PAGE
GAD1/GAD67 Recombinant Protei ...
GAD1/GAD67 Recombinant Protein Ant...
NBP2-46638PEP
Species: Hu
Applications: AC

Description

Glutamic Acid Decarboxylase (GAD) catalyzes the conversion of glutamate to gamma-aminobutyric acid (GABA). There are two known forms of GAD; GAD65 (65 kDa) and GAD67 (67 kDa) that are encoded by two different genes and appear to have distinct intraneuronal distribution in the brain. This antibody reacts with GAD67 and is predicted to react with GAD65.

Bioinformatics

Entrez Mouse
Rat
Human
Uniprot Human
Human
Human
Human
Human
Human
Product By Gene ID 2571
Alternate Names
  • 67kD)
  • EC 4.1.1
  • FLJ45882
  • GAD25
  • glutamate decarboxylase 1 (brain, 67kDa)
  • Glutamate decarboxylase 67 kDa isoform

Research Areas for GAD1/GAD67

Find related products by research area and learn more about each of the different research areas below.

Diabetes Research