Tumor Growth Antibody Pack

Images

 
Genetic Strategies: Knockout Validated: Tumor Growth Antibody Pack [NBP1-78956] - Western lane view shows lysates of HeLa human cervical epithelial carcinoma parental cell line and YAP1 knockout (KO) HeLa cell ...read more
Immunohistochemistry: Tumor Growth Antibody Pack [NBP1-78956] - Detection of AGR2 in mouse prostate using NBP1-05933.
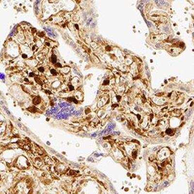
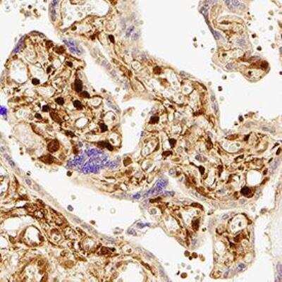
Immunohistochemistry: Tumor Growth Antibody Pack [NBP1-78956] - YAP1 was detected in immersion fixed paraffin-embedded sections of human placenta using Rabbit Anti-Human YAP1 polyclonal Antibody (Catalog # NB110-58358) ...read more

Product Details

Summary
Product Discontinued
View other related Tumor Growth Antibody Packs
Validated by:
     

Genetic Strategies

   

Order Details


    • Catalog Number
      NBP1-78956
    • Availability
      Product Discontinued

    Can't find what you are looking for? Use our Antibody Concierge Service & we will help you locate your antibody!

    Or feel free to contact us for alternative products.

Tumor Growth Antibody Pack Summary

Description
This pack contains 1 vial each of: NBP1-05933 (25 uL), NB110-58358 (25 uL).
Immunogen
See individual datasheets.
Specificity
This Tumor Growth Antibodies Sample Pack includes antibodies to YAP1 and AGR2.

Applications/Dilutions

Dilutions
  • Immunohistochemistry
  • Knockout Validated
Application Notes
Mainly immunohistochemistry, however additional applications may be possible for individual products. See individual datasheets for validated applications.

Reactivity Notes

Human, however additional species may be possible for individual products.

Packaging, Storage & Formulations

Storage
Aliquot and store at -20C or -80C. Avoid freeze-thaw cycles.
Buffer
See individual datasheets.

Kit Components

Background

Many adenocarcinomas require amphiregulin to promote tumor cell growth. When YAP1 activates AGR2, amphiregulin is induced. Thus, increased expression of these two proteins in adenocarcinoma models can be predictors of tumor growth patterns.

Limitations

This product is for research use only and is not approved for use in humans or in clinical diagnosis. Antibody Packs are guaranteed for 1 year from date of receipt.

Publications for Tumor Growth Antibody Pack (NBP1-78956) (0)

There are no publications for Tumor Growth Antibody Pack (NBP1-78956).
By submitting your publication information earn gift cards and discounts for future purchases.

Reviews for Tumor Growth Antibody Pack (NBP1-78956) (0)

There are no reviews for Tumor Growth Antibody Pack (NBP1-78956). By submitting a review you will receive an Amazon e-Gift Card or Novus Product Discount.
  • Review with no image -- $10/€7/£6/$10 CAD/¥70 Yuan/¥1110 Yen
  • Review with an image -- $25/€18/£15/$25 CAD/¥150 Yuan/¥2500 Yen

FAQs for Tumor Growth Antibody Pack (NBP1-78956) (0)

There are no specific FAQs related to this product. Read our general customer & technical service FAQs.

Research Areas for Tumor Growth Antibody Pack (NBP1-78956)

Find related products by research area.

Blogs on Tumor Growth

There are no specific blogs for Tumor Growth, but you can read our latest blog posts.

Contact Information

Product PDFs

Review this Product

Be the first to review our Tumor Growth Antibody Pack and receive a gift card or discount.