TTC32 Antibody (OTI1F7) - Azide and BSA Free

Images

 
Western Blot: TTC32 Antibody (OTI1F7) - Azide and BSA Free [NBP2-74656] - HEK293T cells were transfected with the pCMV6-ENTRY control (Left lane) or pCMV6-ENTRY TTC32 (Right lane) cDNA for 48 hrs and lysed. Equivalent ...read more
Immunocytochemistry/ Immunofluorescence: TTC32 Antibody (OTI1F7) - Azide and BSA Free [NBP2-74656] - Staining of COS7 cells transiently transfected by pCMV6-ENTRY TTC32.
Immunohistochemistry: TTC32 Antibody (OTI1F7) - Azide and BSA Free [NBP2-74656] - Staining of paraffin-embedded Human pancreas tissue using anti-TTC32 mouse monoclonal antibody.
Flow Cytometry: TTC32 Antibody (OTI1F7) - Azide and BSA Free [NBP2-74656] - HEK293T cells transfected with either overexpression plasmid (Red) or empty vector control plasmid (Blue) were immunostaining by anti-TTC32 ...read more
Immunohistochemistry: TTC32 Antibody (OTI1F7) - Azide and BSA Free [NBP2-74656] - Staining of paraffin-embedded Adenocarcinoma of Human colon tissue using anti-TTC32 mouse monoclonal antibody.
Immunohistochemistry: TTC32 Antibody (OTI1F7) - Azide and BSA Free [NBP2-74656] - Staining of paraffin-embedded Adenocarcinoma of Human ovary tissue using anti-TTC32 mouse monoclonal antibody.
Immunohistochemistry: TTC32 Antibody (OTI1F7) - Azide and BSA Free [NBP2-74656] - Staining of paraffin-embedded Human Kidney tissue using anti-TTC32 mouse monoclonal antibody.
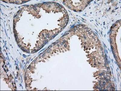
Immunohistochemistry: TTC32 Antibody (OTI1F7) - Azide and BSA Free [NBP2-74656] - Staining of paraffin-embedded Human prostate tissue using anti-TTC32 mouse monoclonal antibody.
Flow Cytometry: TTC32 Antibody (OTI1F7) - Azide and BSA Free [NBP2-74656] - Analysis of Jurkat cells, using anti-TTC32 antibody, (Red), compared to a nonspecific negative control antibody (Blue).

Product Details

Summary
Reactivity HuSpecies Glossary
Applications WB, Flow, ICC/IF, IHC, CyTOF-ready
Clone
OTI1F7
Clonality
Monoclonal
Host
Mouse
Conjugate
Unconjugated
Format
Azide and BSA Free
Concentration
LYOPH

Order Details

TTC32 Antibody (OTI1F7) - Azide and BSA Free Summary

Description
Novus Biologicals Mouse TTC32 Antibody (OTI1F7) - Azide and BSA Free (NBP2-02691) is a monoclonal antibody validated for use in IHC, WB, Flow and ICC/IF. All Novus Biologicals antibodies are covered by our 100% guarantee.
Immunogen
Full length human recombinant protein of human TTC32(NP_001008238) produced in HEK293T cell.
Isotype
IgG1
Clonality
Monoclonal
Host
Mouse
Gene
TTC32
Purity
Immunogen affinity purified
Innovator's Reward
Test in a species/application not listed above to receive a full credit towards a future purchase.

Applications/Dilutions

Dilutions
  • CyTOF-ready
  • Flow Cytometry 1:100
  • Immunocytochemistry/ Immunofluorescence 1:100
  • Immunohistochemistry 1:50
  • Immunohistochemistry-Paraffin
  • Western Blot 1:1000
Theoretical MW
17.1 kDa.
Disclaimer note: The observed molecular weight of the protein may vary from the listed predicted molecular weight due to post translational modifications, post translation cleavages, relative charges, and other experimental factors.

Packaging, Storage & Formulations

Storage
Store at -20C. Avoid freeze-thaw cycles.
Buffer
Lyophilized from PBS (pH 7.3) with 8% Trehalose
Preservative
No Preservative
Concentration
LYOPH
Purity
Immunogen affinity purified
Reconstitution Instructions
we recommend adding 100uL distilled water to a final antibody concentration of about 1 mg/mL. To use this carrier-free antibody for conjugation experiment, we strongly recommend performing another round of desalting process.

Alternate Names for TTC32 Antibody (OTI1F7) - Azide and BSA Free

  • tetratricopeptide repeat domain 32
  • tetratricopeptide repeat protein 32
  • TPR repeat protein 32

Limitations

This product is for research use only and is not approved for use in humans or in clinical diagnosis. Primary Antibodies are guaranteed for 1 year from date of receipt.

Publications for TTC32 Antibody (NBP2-74656) (0)

There are no publications for TTC32 Antibody (NBP2-74656).
By submitting your publication information earn gift cards and discounts for future purchases.

Reviews for TTC32 Antibody (NBP2-74656) (0)

There are no reviews for TTC32 Antibody (NBP2-74656). By submitting a review you will receive an Amazon e-Gift Card or Novus Product Discount.
  • Review with no image -- $10/€7/£6/$10 CAD/¥70 Yuan/¥1110 Yen
  • Review with an image -- $25/€18/£15/$25 CAD/¥150 Yuan/¥2500 Yen

Product General Protocols

Find general support by application which include: protocols, troubleshooting, illustrated assays, videos and webinars.

Video Protocols

WB Video Protocol
ICC/IF Video Protocol

FAQs for TTC32 Antibody (NBP2-74656) (0)

There are no specific FAQs related to this product. Read our general customer & technical service FAQs.

Secondary Antibodies

 

Isotype Controls

Additional TTC32 Products

Research Areas for TTC32 Antibody (NBP2-74656)

Find related products by research area.

Blogs on TTC32

There are no specific blogs for TTC32, but you can read our latest blog posts.

Customers Who Bought This Also Bought

Contact Information

Product PDFs

Calculators

Concentration Calculator

The concentration calculator allows you to quickly calculate the volume, mass or concentration of your vial. Simply enter your mass, volume, or concentration values for your reagent and the calculator will determine the rest.

=
÷

Review this Product

Be the first to review our TTC32 Antibody (OTI1F7) - Azide and BSA Free and receive a gift card or discount.

Bioinformatics

Gene Symbol TTC32