TTC14 Antibody (OTI9E11)

Images

 
Western Blot: TTC14 Antibody (9E11) [NBP2-46239] - Analysis of HEK293T cells were transfected with the pCMV6-ENTRY control (Left lane) or pCMV6-ENTRY TTC14.
Immunohistochemistry: TTC14 Antibody (9E11) [NBP2-46239] - Analysis of Human pancreas tissue. (Heat-induced epitope retrieval by 1mM EDTA in 10mM Tris buffer (pH8.5) at 120C for 3 min)
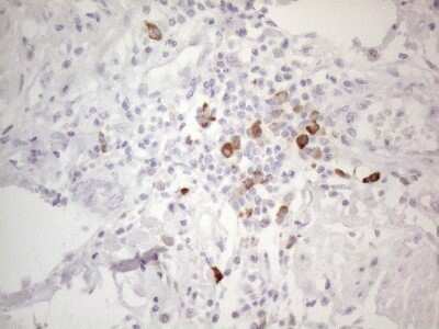
Immunohistochemistry: TTC14 Antibody (9E11) [NBP2-46239] - Analysis of Adenocarcinoma of Human colon tissue. (Heat-induced epitope retrieval by 1mM EDTA in 10mM Tris buffer (pH8.5) at 120C for 3 min)
Immunohistochemistry: TTC14 Antibody (9E11) [NBP2-46239] - Analysis of Carcinoma of Human liver tissue.(Heat-induced epitope retrieval by 1mM EDTA in 10mM Tris buffer (pH8.5) at 120C for 3 min)

Product Details

Summary
Reactivity Hu, Mu, RtSpecies Glossary
Applications WB, IHC
Clone
OTI9E11
Clonality
Monoclonal
Host
Mouse
Conjugate
Unconjugated
Concentration
1 mg/ml

Order Details

TTC14 Antibody (OTI9E11) Summary

Description
Novus Biologicals Mouse TTC14 Antibody (OTI9E11) (NBP2-46239) is a monoclonal antibody validated for use in IHC and WB. All Novus Biologicals antibodies are covered by our 100% guarantee.
Immunogen
Human recombinant protein fragment corresponding to amino acids 429-770 of human TTC14(NP_597719) produced in E.coli.
Isotype
IgG1
Clonality
Monoclonal
Host
Mouse
Gene
TTC14
Purity
Immunogen affinity purified
Innovator's Reward
Test in a species/application not listed above to receive a full credit towards a future purchase.

Applications/Dilutions

Dilutions
  • Immunohistochemistry 1:150
  • Immunohistochemistry-Paraffin
  • Western Blot 1:2000
Theoretical MW
88.1 kDa.
Disclaimer note: The observed molecular weight of the protein may vary from the listed predicted molecular weight due to post translational modifications, post translation cleavages, relative charges, and other experimental factors.

Reactivity Notes

Please note that this antibody is reactive to Mouse and derived from the same host, Mouse. Mouse-On-Mouse blocking reagent may be needed for IHC and ICC experiments to reduce high background signal. You can find these reagents under catalog numbers PK-2200-NB and MP-2400-NB. Please contact Technical Support if you have any questions.

Packaging, Storage & Formulations

Storage
Store at -20C. Avoid freeze-thaw cycles.
Buffer
PBS (pH 7.3), 1.0% BSA and 50% Glycerol
Preservative
0.02% Sodium Azide
Concentration
1 mg/ml
Purity
Immunogen affinity purified

Alternate Names for TTC14 Antibody (OTI9E11)

  • DKFZp313M1015
  • DRDL5813
  • KIAA1980FLJ00166
  • PRO19630
  • tetratricopeptide repeat domain 14
  • tetratricopeptide repeat protein 14
  • TPR repeat protein 14

Limitations

This product is for research use only and is not approved for use in humans or in clinical diagnosis. Primary Antibodies are guaranteed for 1 year from date of receipt.

Publications for TTC14 Antibody (NBP2-46239) (0)

There are no publications for TTC14 Antibody (NBP2-46239).
By submitting your publication information earn gift cards and discounts for future purchases.

Reviews for TTC14 Antibody (NBP2-46239) (0)

There are no reviews for TTC14 Antibody (NBP2-46239). By submitting a review you will receive an Amazon e-Gift Card or Novus Product Discount.
  • Review with no image -- $10/€7/£6/$10 CAD/¥70 Yuan/¥1110 Yen
  • Review with an image -- $25/€18/£15/$25 CAD/¥150 Yuan/¥2500 Yen

Product General Protocols

Find general support by application which include: protocols, troubleshooting, illustrated assays, videos and webinars.

Video Protocols

WB Video Protocol

FAQs for TTC14 Antibody (NBP2-46239) (0)

There are no specific FAQs related to this product. Read our general customer & technical service FAQs.

Customers Who Bought This Also Bought

Contact Information

Product PDFs

Calculators

Concentration Calculator

The concentration calculator allows you to quickly calculate the volume, mass or concentration of your vial. Simply enter your mass, volume, or concentration values for your reagent and the calculator will determine the rest.

=
÷

Review this Product

Be the first to review our TTC14 Antibody (OTI9E11) and receive a gift card or discount.

Bioinformatics

Gene Symbol TTC14