TMEM88 Antibody

Images

 
Western Blot: TMEM88 Antibody [NBP2-13457] - Analysis in control (vector only transfected HEK293T lysate) and TMEM88 over-expression lysate (Co-expressed with a C-terminal myc-DDK tag (3.1 kDa) in mammalian HEK293T ...read more
Immunohistochemistry-Paraffin: TMEM88 Antibody [NBP2-13457] - Staining of human testis shows moderate membranous positivity in cells in seminiferous ducts.
Immunohistochemistry-Paraffin: TMEM88 Antibody [NBP2-13457] - Staining of human lung cancer shows strong membranous positivity.
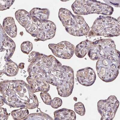
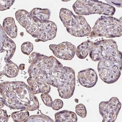
Immunohistochemistry-Paraffin: TMEM88 Antibody [NBP2-13457] - Staining of human placenta shows moderate positivity in trophoblastic cells.
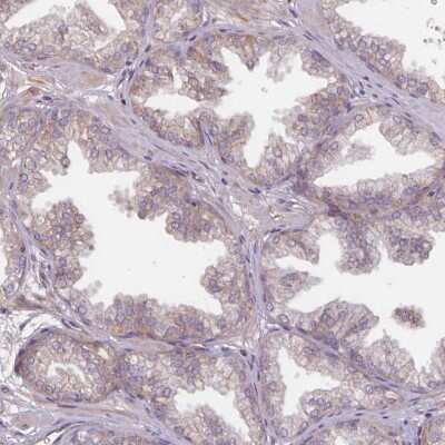
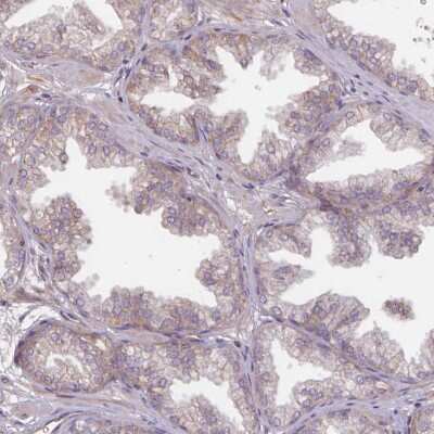
Immunohistochemistry-Paraffin: TMEM88 Antibody [NBP2-13457] - Staining of human prostate shows moderate membranous positivity in glandular cells.
Immunohistochemistry-Paraffin: TMEM88 Antibody [NBP2-13457] - Staining of human small intestine shows moderate positivity in glandular cells.

Product Details

Summary
Product Discontinued
View other related TMEM88 Primary Antibodies

Order Details


    • Catalog Number
      NBP2-13457
    • Availability
      Product Discontinued

    Can't find what you are looking for? Use our Antibody Concierge Service & we will help you locate your antibody!

    Or feel free to contact us for alternative products.

TMEM88 Antibody Summary

Immunogen
This antibody was developed against Recombinant Protein corresponding to amino acids: ADVPGAQRAVPGDGPEPRDPLDCWACAVLVTAQNLLVAA
Isotype
IgG
Clonality
Polyclonal
Host
Rabbit
Gene
TMEM88
Purity
Immunogen affinity purified
Innovator's Reward
Test in a species/application not listed above to receive a full credit towards a future purchase.

Applications/Dilutions

Dilutions
  • Immunohistochemistry 1:50 - 1:200
  • Immunohistochemistry-Frozen 1:50 - 1:200
  • Immunohistochemistry-Paraffin 1:50 - 1:200
  • Western Blot 0.04-0.4 ug/ml
Application Notes
For IHC-Paraffin, HIER pH 6 retrieval is recommended.

Reactivity Notes

Immunogen displays the following percentage of sequence identity for non-tested species: Mouse (85%)

Packaging, Storage & Formulations

Storage
Store at 4C short term. Aliquot and store at -20C long term. Avoid freeze-thaw cycles.
Buffer
PBS (pH 7.2) and 40% Glycerol
Preservative
0.02% Sodium Azide
Purity
Immunogen affinity purified

Alternate Names for TMEM88 Antibody

  • FLJ20025
  • MGC71744
  • TMEM88
  • TMEM88A
  • transmembrane protein 88

Limitations

This product is for research use only and is not approved for use in humans or in clinical diagnosis. Primary Antibodies are guaranteed for 1 year from date of receipt.

Customers Who Viewed This Item Also Viewed...

NBP1-90242
Species: Hu
Applications: ICC/IF, IHC,  IHC-P, KD, WB
NBP2-92847
Species: Hu, Mu, Rt
Applications: ICC/IF, IHC,  IHC-P, WB
NBP1-51575
Species: Hu, Mu
Applications: ELISA, Flow, ICC/IF, IHC,  IHC-P, WB
NBP1-51575
Species: Hu, Mu
Applications: ELISA, Flow, ICC/IF, IHC,  IHC-P, WB

Publications for TMEM88 Antibody (NBP2-13457) (0)

There are no publications for TMEM88 Antibody (NBP2-13457).
By submitting your publication information earn gift cards and discounts for future purchases.

Reviews for TMEM88 Antibody (NBP2-13457) (0)

There are no reviews for TMEM88 Antibody (NBP2-13457). By submitting a review you will receive an Amazon e-Gift Card or Novus Product Discount.
  • Review with no image -- $10/€7/£6/$10 CAD/¥70 Yuan/¥1110 Yen
  • Review with an image -- $25/€18/£15/$25 CAD/¥150 Yuan/¥2500 Yen

Product General Protocols

Find general support by application which include: protocols, troubleshooting, illustrated assays, videos and webinars.

Video Protocols

WB Video Protocol

FAQs for TMEM88 Antibody (NBP2-13457) (0)

There are no specific FAQs related to this product. Read our general customer & technical service FAQs.

Secondary Antibodies

 

Isotype Controls

Additional TMEM88 Products

Research Areas for TMEM88 Antibody (NBP2-13457)

Find related products by research area.

Blogs on TMEM88

There are no specific blogs for TMEM88, but you can read our latest blog posts.

Contact Information

Product PDFs

Calculators

Concentration Calculator

The concentration calculator allows you to quickly calculate the volume, mass or concentration of your vial. Simply enter your mass, volume, or concentration values for your reagent and the calculator will determine the rest.

=
÷

Review this Product

Be the first to review our TMEM88 Antibody and receive a gift card or discount.

Bioinformatics

Gene Symbol TMEM88